甲状腺乳頭癌の予後 [日本甲状腺学会認定 甲状腺専門医 橋本病 バセドウ病 甲状腺超音波エコー検査 甲状腺機能低下症 長崎甲状腺クリニック 大阪]
甲状腺の基礎知識を、初心者でもわかるように、長崎甲状腺クリニック(大阪市東住吉区)院長が解説します。
その他、甲状腺の基本的な事は甲状腺の基本(初心者用)、橋本病の基本(初心者用)を、高度で専門的な知見は甲状腺編 甲状腺編 part2 を御覧ください。
長崎甲状腺クリニック(大阪)以外の写真・図表はPubMed等において学術目的で使用可能なもの(Creative Commons License)、public health目的で官公庁・非営利団体等が公表したものを一部改変しています。引用元に感謝いたします。尚、本ページは長崎甲状腺クリニック(大阪)の経費で非営利的に運営されており、広告収入は一切得ておりません。
長崎甲状腺クリニック(大阪)は内科系甲状腺専門医なので甲状腺乳頭癌の治療を行っておりません。
- 甲状腺乳頭癌
- 甲状腺乳頭癌の予後(本ページ)
Summary
甲状腺乳頭癌の10年生存率は95~96%だが肺転移のみで70%、骨転移もあると40%。甲状腺乳頭癌は他臓器癌と異なり、高齢者より若年者が進行遅く予後良い。周囲の線維組織・脂肪組織・甲状胸筋・顕微鏡的な反回神経への浸潤は生存率に無関係。甲状腺外(気管・食道、反回神経)浸潤は予後悪い。甲状腺乳頭癌の予後不良因子は腫瘍が>4cm、被膜外に広く浸潤(Ex2)、リンパ節転移も大きく・広範囲、遠隔転移(M1)、高齢、男性、家族性(V600E遺伝子変異)、病理的には、低分化型、高細胞型、高Ki67-U(MIB-1ラベリング)型。
Keywords
甲状腺乳頭癌,10年生存率,肺転移,骨転移,予後,浸潤,甲状腺,予後不良,遠隔転移,死亡率
甲状腺乳頭癌の10年生存率は95~96%です。 しかし、肺転移・骨転移すれば、その限りではありません。甲状腺乳頭癌にI-131 内用療法(アイソトープ治療)を行った場合の10年生存率は、肺転移のみで70%、骨転移もあると40%。予後が良いと言いつつも遠隔転移があると悪くなります。
東京女子医科大学 内分泌外科の報告では、根治切除手術後、平均観察期間8年の再発率は
- 低リスク(T1N0M0)(限局性で転移も浸潤も無し)5.3%(約5%)
※T1;甲状腺に限局し最大径≦ 2cm
- 高リスク(T>5cm、触知するリンパ節、Ex2、M1)39.5%(約40%)
※T>4cmを基準にしている施設の方が多いと思います
※他施設では転移リンパ節>3cm・広範囲(LN-Ex2)
※Ex2;甲状腺腫瘍の腺外浸潤が胸骨甲状筋・脂肪組織以外の組織あるいは臓器に及んでいる
※M1;遠隔転移を伴う
(第56回 日本甲状腺学会 O2-2 甲状腺腫瘍診療ガイドラインの危険度分類からみた乳頭癌の長期予後)
同じく、東京女子医科大学による追跡期間(中央値18.4年)を延ばした報告では、
根治的初期手術を受けた甲状腺乳頭癌患者の10年、20年、30年再発率はそれぞれ11.3%、21.8%、29.4%。再発した人の内分けは、手術後0~5、0~10、10~20、20~30年、30年以上でそれぞれ36.9%、54.8%、34.5%、8.3%、2.4%。
再発の独立した予後因子は、年齢≥55歳、男性、腫瘍の大きさ>4cm、節外伸展、病理学的リンパ節転移陽性でした。
甲状腺乳頭癌自体で死亡する(原病死)死亡率(原因特異的死亡率:CSM)は、手術後10年、20年、30年でそれぞれ2.7%、6.2%、8.6%。死亡した人の内分けは、手術後10年以内、10~20年、20~30年でそれぞれ44.0%、40.0%、16.0%。
(Thyroid. 2019 Jun;29(6):802-808.)
甲状腺乳頭癌の予後不良因子をまとめた隈病院の甲状腺研究会の資料です。[World J Surg. 2012 Jun;36(6):1274-8.の簡易版と思われます]
- 腫瘍が大きい(>4cm)
- 甲状腺の被膜外に広く浸潤(腫瘍を削り取ることができる大規模な浸潤:Ex2)
- リンパ節転移も大きく(>3cm)・広範囲(LN-Ex2)
- 遠隔転移(M1)している
などの条件で予後が悪くなるのは、初心者の方でも納得の行くものです。
実は、高齢(≧55歳)、男性である事も甲状腺乳頭癌の予後不良因子です。
家族性である事(甲状腺腫瘍/甲状腺癌と遺伝性)も甲状腺乳頭癌の予後不良因子の可能性があります。
東京女子医科大学 内分泌外科の統計でも、年齢≧55歳、男性、腫瘍サイズ>4cm、リンパ節転移は再発の危険因子です(Thyroid. 2019 Jun;29(6):802-808.)。
病理的には、低分化型、高細胞型、高Ki67-U(MIB-1ラベリング)型が予後不良の甲状腺乳頭癌です。
炎症マーカーが甲状腺乳頭癌の予後予測因子になる?
甲状腺を除く多くの癌において、C反応性蛋白(C-reactive protein、CRP)値[正常値<0.3 mg/dL] や好中球・リンパ球比(Neutrophil-to-Lymphocyte Ratio;NLR)は、予後に関連する全身性炎症性マーカーとされます。
福島県立医科大学の報告によると、CRP値、好中球・リンパ球比(NLR)は甲状腺乳頭癌の予後予測因子になります。
- CRP 0.155 mg/dL をカットオフ値とした場合、無再発生存期間に統計的な差が出る。CRP 0.155 mg/dL 以上では無再発生存期間が短い(J Surg Res. 2018 Nov;231:338-345.)
- 甲状腺乳頭癌の
Stage1(甲状腺内にとどまっていて、2cm以下);CRP(0.08 ± 0.08 mg/dL)、NLR(1.88±0.81)
Stage3(甲状腺周囲のリンパ節転移);CRP(0.15 ±0.15)、NLR(2.23±1.09 mg/dL)
Stage4(Stage3以上);CRP(0.15 ± 0.18 mg/dL)、NLR(2.33±0.83)
Stage3、4ではCRP、好中球・リンパ球比(NLR)が高い傾向(統計的有意差には届かなかった様です)
(第62回 日本甲状腺学会 O5-5 甲状腺癌におけるCRP、好中球・リンパ球比の検討)
好中球・リンパ球比(NLR)と血小板-リンパ球比(PLR)は甲状腺分化癌(甲状腺乳頭癌・甲状腺濾胞癌)の予後予測因子になる。NLRとPLRが高いほど、生存率が低い。[Endocr Regul. 2017 Jul 1;51(3):131-136.]
赤血球沈降速度(ESR)/C反応性タンパク質(CRP)は、甲状腺乳頭癌の進行に影響を与えず、病期分類や予後予測において役に立たない。[Clin Lab. 2015;61(7):793-9.]
甲状腺乳頭癌の年齢による予後の違いは他臓器癌とは逆で、高齢者よりも若い人の予後が良くなります(他臓器癌では、年寄りほど、ゆっくり進行するとされますが・・・)。
- 若年者(45歳未満);一般的に予後良好。リンパ節転移は多いものの、切除可能。肺転移巣も放射線感受性が良い
- 高齢者(45歳以上);一般的に予後は良くない。遠隔転移、局所浸潤多い。甲状腺低分化癌が混じっている
論文によって、若年・高齢を区分する年齢に多少のばらつきはありますが、
「甲状腺乳頭癌の予後は高齢になるほど悪い」
のは共通です。[Endocr J. 2014;61(3):205-13.][Arch Iran Med. 2020 Mar 1;23(3):169-174.][J Korean Surg Soc. 2012 Nov;83(5):259-66.]
ただし、10mm未満の甲状腺微小乳頭癌は逆で、他臓器癌と同じく、若年者の方が進行が早く予後が悪いのです。(甲状腺微小乳頭癌と通常型甲状腺乳頭癌の違い)[Endocr J. 2014;61(3):205-13.]
周囲の線維組織・脂肪組織・甲状胸筋・顕微鏡的な反回神経への浸潤(最小限の浸潤:EX1)は生存率に無関係とされます。
甲状腺の被膜外への広い浸潤(腫瘍を削り取ることができる大規模な浸潤:Ex2)は、甲状腺乳頭癌の予後不良因子。
[World J Surg. 2012 Jun;36(6):1274-8.]
肉眼的に甲状腺の外(気管・食道、反回神経)まで浸潤した場合(EX3)、10年生存率は75%程とされます。
Ex3の甲状腺乳頭癌患者は、Ex2の患者よりも有意に
- 無病生存期間・疾患特異的生存期間が短い
- 局所再発までの期間が短い
- 遠隔転移による死亡までの時間が短い
Ex3で気管・食道へ浸潤した場合、反回神経だけの浸潤より疾患特異的生存期間が短い。
[World J Surg. 2012 Jun;36(6):1231-40.](第56回 日本甲状腺学会 P2-098 甲状腺外浸潤よりみた甲状腺乳頭癌の予後予測)
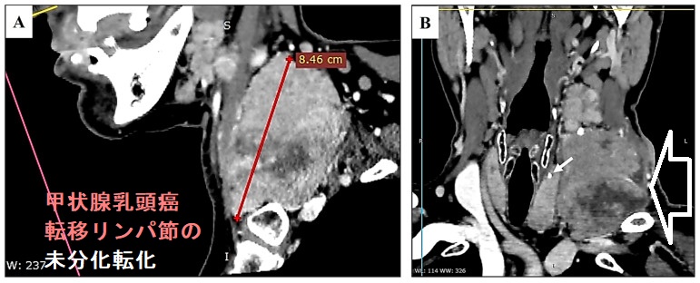
甲状腺乳頭癌の未分化転化は、0.8–2% の頻度で起こりえます。甲状腺乳頭癌の肺転移巣・遠隔転移巣や転移リンパ節が未分化転化する報告は多くあります[Ann Diagn Pathol. 2010 Feb;14(1):41-3.][J Surg Oncol. 1999 Jan;70(1):45-8. ]。
甲状腺関連の上記以外の検査・治療 長崎甲状腺クリニック(大阪)
- 甲状腺編
- 甲状腺編 part2
- 内分泌代謝(副甲状腺/副腎/下垂体/妊娠・不妊等
も御覧ください
長崎甲状腺クリニック(大阪)とは
長崎甲状腺クリニック(大阪)は日本甲状腺学会認定 甲状腺専門医[橋本病,バセドウ病,甲状腺超音波(エコー)検査など]による甲状腺専門クリニック。大阪府大阪市東住吉区にあります。平野区,住吉区,阿倍野区,住之江区,松原市,堺市,羽曳野市,八尾市,天王寺区,東大阪市,生野区,浪速区も近く。



