検索

甲状腺・内分泌代謝の病気と白内障、白内障手術と甲状腺眼症/バセドウ病眼症[橋本病 バセドウ病 甲状腺機能低下症 長崎甲状腺クリニック 大阪]

このエントリーをはてなブックマークに追加

甲状腺:専門の検査/治療/知見① 橋本病 バセドウ病 甲状腺エコー 長崎甲状腺クリニック大阪

長崎甲状腺クリニック(大阪)は甲状腺専門クリニックです。白内障の診療を行っておりません。これは眼科で行うものです。

甲状腺専門長崎甲状腺クリニック(大阪府大阪市東住吉区)院長が海外・国内論文に眼を通して得た知見、院長自身が大阪市立大学 代謝内分泌内科で得た知識・経験・行った研究、甲状腺学会で入手した知見です。

長崎甲状腺クリニック(大阪)以外の写真・図表はPubMed等で学術目的にて使用可能なもの(Creative Commons license)、public health目的で官公庁・非営利団体等が公表したものを一部改変しています。引用元に感謝いたします。尚、本ページは長崎甲状腺クリニック(大阪)の経費で非営利的に運営されており、広告収入は一切得ておりません。

甲状腺・動脈硬化・内分泌代謝に御用の方は 甲状腺編    動脈硬化編  甲状腺以外のホルモンの病気(副甲状腺/副腎/下垂体/妊娠・不妊など)  糖尿病編 をクリックください。

Summary

白内障手術により沈静化している甲状腺眼症/バセドウ病眼症が再活性化される事がある。眼科医が高齢者の活動性バセドウ病眼症(甲状腺眼症)に気付かず、安易に白内障手術の段取りをするケースがある。ようやく、抗甲状腺薬(メルカゾール、プロパジール、チウラジール)を減らし始めた時に、眼科から白内障手術を前提とした診療情報提供書を求められると驚く。副甲状腺機能低下症クッシング症候群・副腎皮質ステロイド剤長期投与、亜鉛欠乏症糖尿病でも白内障に。白内障の症状は霧視、羞明、視力低下。

Keywords

白内障,甲状腺眼症,バセドウ病眼症,甲状腺機能亢進症,バセドウ病,ステロイド,手術,眼科,甲状腺機能低下症,甲状腺

内分泌代謝と白内障

白内障とは、眼のレンズである水晶体が濁る病気です。

「白内障は加齢によって起こるもの」と信じて疑わない人が大勢います。確かに、加齢は白内障最大の原因で、紫外線(UV)や近視、アトピー性皮膚炎によるものもあります。

あまり知られていませんが、内分泌代謝の病気によって起こる白内障は、かなりの数存在します。代表的なのは

  1. 副甲状腺機能低下症
  2. クッシング症候群ACTH産生下垂体腺腫(クッシング病)、副腎皮質ステロイド剤の長期投与(ステロイド白内障)
  3. 亜鉛欠乏症
  4. 糖尿病

です。

白内障は外見で分かりません。これらの病気で水晶体の白濁による白内障の症状、

  1. 視界が暗く見える
  2. 霞(かす)んで見える、それこそ霧の中にいるような感じ(霧視)、すりガラス越しのようにぼやけて見える
  3. (明るい場所では水晶体を通る光が散乱するため)光を眩(まぶ)しく感じる(羞明)
  4. 視力が低下する

があるなら眼科で精査が必要。

白内障

白内障の進行を抑える方法として、紫外線をカットする眼鏡レンズ、コンタクトレンズなどがあります。

白内障手術と甲状腺眼症/バセドウ病眼症

白内障手術は、濁った水晶体を取り除き、人工の眼内レンズを挿入する術式です。眼内レンズは、単焦点、多焦点、乱視矯正用と複数あります。角膜屈折力と眼軸長を測定し、眼内レンズ度数を近視・正視・遠視のいずれかに調節する。

白内障手術により沈静化している甲状腺眼症/バセドウ病眼症が再活性化される可能性があります(Jpn J Ophthalmol. 2009 Jan;53(1):44-46.)。

15年前、眼内レンズの寿命は10年くらいで、交換手術が必要とされていました。しかし、技術の進歩により、眼内レンズの寿命は人間の寿命より長くなったようです。甲状腺眼症/バセドウ病眼症の人も安心です。

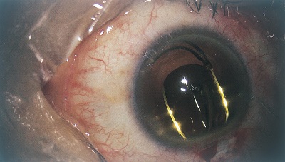
(写真 白内障 眼内レンズ挿入)

白内障 眼内レンズ挿入

白内障手術を受けるのは、高齢者がほとんどです。眼科医が高齢者の活動性バセドウ病眼症(甲状腺眼症)に気付かず、安易に白内障手術の段取りをするケースがあります。ようやく、抗甲状腺薬(メルカゾール、プロパジール、チウラジール)を減らし始めた時に、他院、眼科から白内障手術を前提とした診療情報提供書を求められると驚きます(当然、延期を指示しました)。

危うく眼科で白内障手術をされるところだった活動性甲状腺眼症・バセドウ病眼症(74歳女性)1

危うく眼科で白内障手術をされるところだった活動性甲状腺眼症・バセドウ病眼症(74歳女性) MRI T2強調画像;両側の外直筋、下直筋に炎症を認める。

危うく眼科で白内障手術をされるところだった甲状腺眼症・バセドウ病眼症(74歳女性)2

危うく眼科で白内障手術をされるところだった活動性甲状腺眼症・バセドウ病眼症(74歳女性) MRI T2強調画像;両側の下直筋に炎症を認める。

白内障手術後の細菌性眼内炎

白内障手術後の0.1%未満(1000人に1人未満)で細菌性眼内炎が発症。術後数日で霧視、眼痛、視力低下がおこり、角膜混濁や前房蓄膿を認める。治療は抗菌薬点滴静注・硝子体内投与と硝子体切除手術。

糖尿病や免疫不全患者は要注意。

白内障手術後の細菌性眼内炎

白内障を放置すると緑内障を合併

白内障を放置すると、白内障が進行するだけでなく、緑内障を合併する事があります。この様な緑内障は、白内障手術により、硬く厚く変性した水晶体を薄い人工レンズに取り換えると、房水排出が良くなり、眼圧低下して改善します。

甲状腺関連の上記以外の検査・治療 長崎甲状腺クリニック(大阪)

長崎甲状腺クリニック(大阪)とは

長崎甲状腺クリニック(大阪)は日本甲状腺学会認定 甲状腺専門医[橋本病,バセドウ病,甲状腺超音波(エコー)検査など]による甲状腺専門クリニック。大阪府大阪市東住吉区にあります。平野区,住吉区,阿倍野区,住之江区,松原市,堺市,羽曳野市,八尾市,天王寺区,東大阪市,浪速区,生野区も近く。

長崎甲状腺クリニック(大阪)


長崎甲状腺クリニック(大阪)は日本甲状腺学会認定 甲状腺専門医[橋本病,バセドウ病,甲状腺超音波(エコー)検査等]施設で、大阪府大阪市東住吉区にある甲状腺専門クリニック。平野区,住吉区,阿倍野区,住之江区,松原市,堺市,羽曳野市,八尾市,東大阪市近く

住所

〒546-0014
大阪府大阪市東住吉区鷹合2-1-16

アクセス

  • 近鉄「針中野駅」 徒歩2分
  • 大阪メトロ(地下鉄)谷町線「駒川中野駅」
    徒歩10分
  • 阪神高速14号松原線 「駒川IC」から720m

診療時間電話番号や地図はこちら