卵巣過剰刺激症候群(OHSS)、黄体化過剰反応と甲状腺[橋本病 バセドウ病 甲状腺機能低下症 長崎甲状腺クリニック 大阪]
甲状腺:専門の検査/治療/知見① 橋本病 バセドウ病 甲状腺エコー 長崎甲状腺クリニック大阪
甲状腺専門の長崎甲状腺クリニック(大阪府大阪市東住吉区)院長が海外・国内論文に眼を通して得た知見、院長自身が大阪市立大学 大学院医学研究科 代謝内分泌内科で得た知識・経験・行った研究、日本甲状腺学会 学術集会で入手した知見です。
長崎甲状腺クリニック(大阪)以外の写真・図表はPubMed等において学術目的で使用可能なもの(Creative Commons License)、public health目的で官公庁・非営利団体等が公表したものを一部改変しています。引用元に感謝いたします。尚、本ページは長崎甲状腺クリニック(大阪)の経費で非営利的に運営されており、広告収入は一切得ておりません。
甲状腺・内分泌代謝等の長崎甲状腺クリニック(大阪市東住吉区)院長が海外論文に眼を通して得たもの、甲状腺学会で入手した知見を元にしています。
甲状腺・動脈硬化・内分泌代謝に御用の方は 甲状腺編 動脈硬化編 甲状腺以外のホルモンの病気(副甲状腺/副腎/下垂体/妊娠・不妊など) 糖尿病編 をクリックください
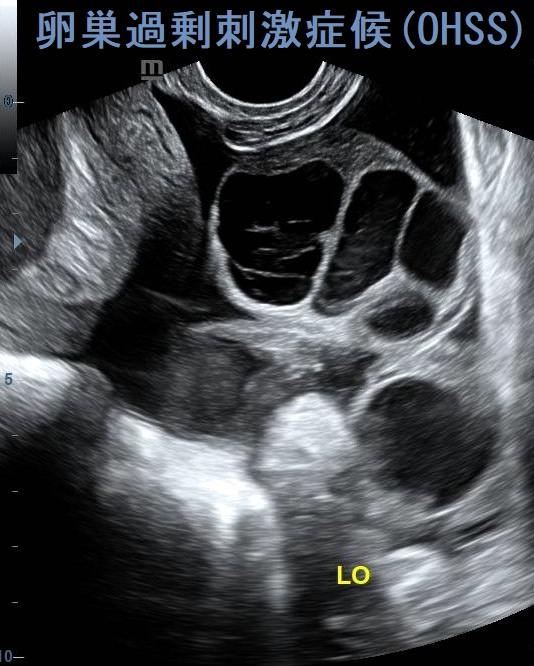
卵巣過剰刺激症候群(OHSS) 経腟超音波(エコー)画像 [Radiopaediaより改変]
長崎甲状腺クリニック(大阪)は甲状腺専門クリニックです。卵巣の診療を行っておりません。
Summary
不妊治療で卵胞成熟ホルモン(FSH)製剤・ヒト閉経後ゴナドトロピン(hMG)製剤、ヒト絨毛性性腺刺激ホルモン(hCG)製剤を投与して卵巣を刺激し過ぎると、卵巣腫大・卵巣茎捻転、血管内皮増殖因子(VEGF)過剰産生による腹水・胸水貯留等を引き起こす(卵巣過剰刺激症候群:OHSS)。黄体化過剰反応は妊娠・絨毛性疾患(全胞状奇胎・絨毛性腫瘍)による高hCG状態で生じる両側卵巣腫大。甲状腺機能低下症で甲状腺ホルモン剤を服薬中の女性で胚移植の際、卵巣過剰刺激症候群(OHSS)と急激な甲状腺機能低下症増悪を同時に来した報告がある。
Keywords
hMG,卵巣腫大,卵巣茎捻転,卵巣過剰刺激症候群,OHSS,黄体化過剰反応,甲状腺機能低下症,甲状腺
卵巣過剰刺激症候群(OHSS)の検査所見は、
- 血清アルブミン低値、低ナトリウム(Na)血症
- 尿素窒素/クレアチニン比上昇(脱水)
- 赤血球数・Hb・Ht 上昇(血液濃縮)、白血球増加(エストロゲンの影響)
- 血漿フィブリノゲン・D ダイマー高値
- 画像;両側卵巣腫大と多量の腹水貯留
卵巣過剰刺激症候群(OHSS)を起こした状態で妊娠すると、血栓症・急性腎不全・急性循環不全によるショックで死亡する危険があります。卵巣過剰刺激症候群(OHSS) のリスクが高い場合、受精卵はすべて凍結保存し、落ち着いてから胚移植します。
また、頻回の卵胞成熟ホルモン(FSH)製剤・ヒト閉経後ゴナドトロピン(hMG)製剤、続く排卵誘発のヒト絨毛性性腺刺激ホルモン(hCG)製剤注射は、急激な甲状腺機能低下(TSH上昇・ FT4低下)も引き起こします。[体外受精(IVF)・顕微授精(ICSI)[採卵・胚移植]と甲状腺]
黄体化過剰反応は、妊娠・絨毛性疾患(全胞状奇胎による甲状腺機能亢進症 絨毛性腫瘍による甲状腺機能亢進症)による高hCG状態で生じる両側卵巣腫大です。のう胞内出血→腹痛を引き起こします。
特に甲状腺疾患のない女性では、不妊治療の胚移植に際し、卵巣過剰刺激症候群(OHSS)を起こしても、起こさなくても同程度に血清TSHが上昇します。(Fertil Steril. 2011 Jul;96(1):241-5.)
甲状腺機能低下症で甲状腺ホルモン剤を服薬中の女性が、胚移植の際に、卵巣過剰刺激症候群(OHSS)と急激な甲状腺機能低下症悪化を同時に起こした報告があります(Ginekol Pol. 2014 Jun;85(6):472-5.)
甲状腺関連の上記以外の検査・治療 長崎甲状腺クリニック(大阪)
- 甲状腺編
- 甲状腺編 part2
- 内分泌代謝(副甲状腺/副腎/下垂体/妊娠・不妊等
も御覧ください
長崎甲状腺クリニック(大阪)とは
長崎甲状腺クリニック(大阪)は日本甲状腺学会認定 甲状腺専門医[橋本病,バセドウ病,甲状腺超音波(エコー)検査など]による甲状腺専門クリニック。大阪府大阪市東住吉区にあります。平野区,住吉区,阿倍野区,住之江区,松原市,堺市,羽曳野市,八尾市,天王寺区,東大阪市,生野区,浪速区も近く。





