ラトケ嚢胞(ラトケのう胞)で下垂体機能低下症・中枢性甲状腺機能低下症・下垂体卒中,下垂体膿瘍[橋本病 バセドウ病 長崎甲状腺クリニック 大阪]
内分泌代謝(副甲状腺・副腎・下垂体)専門の検査/治療/知見 長崎甲状腺クリニック(大阪))
甲状腺専門・内分泌代謝の長崎甲状腺クリニック(大阪府大阪市東住吉区)院長が海外(Pub Med)・国内論文に眼を通して得た知見、院長自身が大阪市立大学(現、大阪公立大学) 代謝内分泌病態内科(内分泌骨リ科、第2内科)で得た知識・経験・行った研究、日本甲状腺学会で入手した知見です。尚、本ページは長崎甲状腺クリニック(大阪)の経費で非営利的に運営されており、広告収入は一切得ておりません。
長崎甲状腺クリニック(大阪)以外の写真・図表はPubMed等において学術目的で使用可能なもの(Creative Commons License)、public health目的で官公庁・非営利団体等が公表したものを一部改変しています。引用元に感謝いたします。尚、本ページは長崎甲状腺クリニック(大阪)の経費で非営利的に運営されており、広告収入は一切得ておりません。
甲状腺・動脈硬化・内分泌代謝・糖尿病に御用の方は 甲状腺編 動脈硬化編 甲状腺以外のホルモンの病気(副甲状腺/副腎/下垂体/妊娠・不妊など) 糖尿病編 をクリックください。
長崎甲状腺クリニック(大阪)は甲状腺専門クリニックです。下垂体の診療を行っておりません。
Summary
ラトケ嚢胞(ラトケのう胞)は胎児期の袋。続発性(中枢性)副腎皮質機能低下症がなく、中枢性甲状腺機能低下症のみなら甲状腺ホルモン補充。ラトケ嚢胞(ラトケのう胞)内で①粘液が増え、下垂体や視神経を圧迫して下垂体機能低下症・頭痛・視力障害に②出血すると下垂体卒中をおこし[内分泌エマージェンシー]準緊急手術③細菌が増殖し下垂体膿瘍を形成。MRI検査で診断。ラトケ嚢胞(ラトケのう胞)は①自然退縮②下垂体機能低下症・視力障害がある場合、経鼻的手術で粘液を抜く。手術後再発は約16%で再手術により視力障害回復するが、下垂体機能低下症は回復し難い。再発繰り返すと開頭手術。
Keywords
ラトケ嚢胞,ラトケのう胞,中枢性甲状腺機能低下症,下垂体機能低下症,下垂体卒中,下垂体膿瘍,MRI検査,診断,経鼻的手術,再発
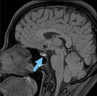
ラトケ嚢胞(ラトケのう胞)とは胎児期の袋が消えずに残ったものです。
- 中枢性甲状腺機能低下症の原因;続発性(中枢性)副腎皮質機能低下症などが無く、中枢性甲状腺機能低下症単独の場合、甲状腺ホルモンを補充するだけで良いため、手術になりません。
- ラトケ嚢胞(ラトケのう胞)内の粘液が増えると、大きくなったラトケ嚢胞(ラトケのう胞)が下垂体や視神経を圧迫して、下垂体機能低下症・頭痛・視力障害をおこします。
- ラトケ嚢胞(ラトケのう胞)内で出血すると下垂体卒中をおこし[内分泌エマージェンシー下垂体卒中]、準緊急手術になる事があります。(Oper Neurosurg (Hagerstown). 2020 May 1;18(5):470-479.)(第54回 日本甲状腺学会 P052 ラトケ嚢胞卒中による汎下垂体機能低下症にバセドウ病を合併し,周術期管理を行った1例)
下垂体腺腫(下垂体神経内分泌腫瘍)による下垂体卒中よりも軽度とされます[Surg Neurol Int. 2021 Oct 6;12:504.]
- ラトケ嚢胞(ラトケのう胞)内で細菌が増殖し、下垂体膿瘍を形成[Surg Infect (Larchmt). 2014 Jun;15(3):358-60.]。
MRI検査では
- T1強調;50% 高信号(蛋白成分が多い)、50% 低信号
- T2強調;70% 高信号、30% 等-低信号
- T1+ Gd造影剤;造影効果なし、周囲辺縁のみ造影される
頭蓋咽頭腫と鑑別難のラトケ嚢胞(ラトケのう胞) (Int J Surg Case Rep. 2020;68:104-106.)
ラトケ嚢胞内出血(ラトケのう胞内出血)による下垂体卒中[Surg Neurol Int. 2021 Oct 6;12:504.]
ラトケ嚢胞(ラトケのう胞)の経過と治療
ラトケ嚢胞(ラトケのう胞)は自然退縮し、消えることもあります。下垂体機能低下症・視力障害がある場合、ラトケ嚢胞(ラトケのう胞)の治療は経鼻的手術(鼻からの手術)になり、嚢胞(のう胞)中の粘液を抜きます。これでラトケ嚢胞(ラトケのう胞)がつぶれて治ることが多いが、再度粘液がたまることもあります(World Neurosurg. 2012 Nov;78(5):527-34.)。
手術後の再発は約16%あって、再手術で視力障害は回復しますが、下垂体機能低下症は回復し難いとされます[Oper Neurosurg (Hagerstown). 2019 Jun 1;16(6):675-684.]。
何度抜いても再発するときは開頭手術が必要になります。(Oper Neurosurg (Hagerstown). 2019 Jun 1;16(6):675-684.)
小児ラトケ嚢胞(ラトケのう胞)
小児ラトケ嚢胞(ラトケのう胞)診断時の平均年齢は13歳8ヶ月、男女比はほぼ同じ。症状は
- 頭痛(50%)
- 中枢性甲状腺機能低下症(50%)
- 低身長・成長障害(47%)
- 2次性徴障害(37%)
- 尿崩症(26%)
- 中枢性(続発性)副腎皮質機能低下症(26%)
- 眠気および全身衰弱(13%)
- 視覚障害(11%)
[J Pediatr Endocrinol Metab. 2018 Aug 28;31(8):903-910.]
甲状腺関連の上記以外の検査・治療 長崎甲状腺クリニック(大阪)
- 甲状腺編
- 甲状腺編 part2
- 内分泌代謝(副甲状腺/副腎/下垂体/妊娠・不妊等
も御覧ください
長崎甲状腺クリニック(大阪)
長崎甲状腺クリニック(大阪)は日本甲状腺学会認定 甲状腺専門医[橋本病,バセドウ病,甲状腺超音波(エコー)検査など]による甲状腺専門クリニック。大阪府大阪市東住吉区にあります。平野区,住吉区,阿倍野区,住之江区,松原市,堺市,羽曳野市,八尾市,天王寺区,東大阪市も近く。












