甲状腺良性濾胞腺腫の特殊型,膨大細胞腺腫,硝子化索状腺腫,WDT-UMP,濾胞腺腫良悪鑑別困難例[橋本病 バセドウ病 長崎甲状腺クリニック 大阪]
甲状腺の基礎知識を初心者でもわかるように、長崎甲状腺クリニック(大阪府大阪市東住吉区)院長が解説します。
高度で専門的な知見は甲状腺編 甲状腺編 part2 を御覧ください。
長崎甲状腺クリニック(大阪)以外の写真・図表はPubMed等において学術目的で使用可能なもの(Creative Commons License)、public health目的で官公庁・非営利団体等が公表したものを一部改変しています。引用元に感謝いたします。尚、本ページは長崎甲状腺クリニック(大阪)の経費で非営利的に運営されており、広告収入は一切得ておりません。
Summary
良性濾胞腺腫の特殊型①良性濾胞腺腫(好酸性細胞型、Hurthle細胞腺腫、ハーテル細胞腺腫、ヒュルトレ細胞腺腫、膨大細胞腺腫)②甲状腺硝子化索状腺腫;硝子様の間質で区分され索状(trabecular)配列と索状方向に垂直な核の組織像。超音波(エコー)画像は索状の高エコーが無数に走る特徴的な見え方。細胞診では乳頭状の細胞集塊、核内封入体、核溝、硝子様物質の周囲に腫瘍細胞が放射状に配列。濾胞腺腫良悪鑑別困難例(WDT-UMP)の50%は甲状腺濾胞癌。超音波(エコー)画像は良性濾胞腺腫よりも腺腫様結節や甲状腺乳頭癌に近い。
Keywords
良性濾胞腺腫,好酸性細胞型,甲状腺,硝子化索状腺腫,超音波,エコー,細胞診,濾胞腺腫良悪鑑別困難,WDT-UMP,膨大細胞腺腫
良性濾胞腺腫(好酸性細胞型、Hurthle細胞腺腫、ハーテル細胞腺腫、ヒュルトレ細胞腺腫)は超音波(エコー)上、通常の良性濾胞腺腫と変わりませんが、好酸性細胞が腫瘍の75%以上を占めます。
第9版甲状腺癌取扱い規約では、膨大細胞腺腫という表現に変わりました。
甲状腺硝子化索状腺腫とは
甲状腺硝子化索状腺腫(hyalinizing trabecular adenoma)または甲状腺硝子化索状腫瘍(hyalinizing trabecular tumor: HTT)は稀な甲状腺腫瘍で、良性濾胞腺腫の特殊型とされます。しかし、転移例の報告もあるため、必ずしも良性ではありません(悪性の可能性もある境界型腫瘍と考えられています)。[2017 World Health Organization Classification of Tumors of Endocrine Organs. Fourth edition. 2017; 73–74, 81–91.]
※2023年10月に刊行された第9版甲状腺癌取扱い規約では、(必ずしも良性でない)低リスク腫瘍に分類されます。
甲状腺硝子化索状腺腫(甲状腺硝子化索状腫瘍)の組織像は、硝子(ガラス)様の間質で区分された特徴的な索状(trabecular)配列と、索状方向に垂直な核が特徴です。(J.Jpn.Soc.Clin. Cyto1.34(1): 54~57,Jan., 1995)[J Clin Pathol. 2017 Aug;70(8):641-647.]
甲状腺硝子化索状腺腫(甲状腺硝子化索状腫瘍)の特徴
野口病院の報告によると、
- 初回手術された甲状腺腫瘍28,658症例の内、甲状腺硝子化索状腺腫(甲状腺硝子化索状腫瘍)は34例(0.001%)
- 平均年齢は50.9±14.7歳(25歳~ 74歳)
- 男女比は1:16
- 27例で術前に穿刺細胞診が施行され
甲状腺硝子化索状腺腫(甲状腺硝子化索状腫瘍)疑い4例
乳頭癌疑い13例、乳頭癌または髄様癌疑い1例
乳頭癌または甲状腺硝子化索状腺腫(甲状腺硝子化索状腫瘍)疑い1例
良性7例、不適正1例 - 18例で他の甲状腺腫瘍(乳頭癌9例,悪性リンパ腫1例,良性15例,重複あり)が併存
甲状腺硝子化索状腺腫(甲状腺硝子化索状腫瘍)では、甲状腺乳頭癌に特異的なRET/PTC 遺伝子の活性化(主に小児甲状腺乳頭癌に多い再配列)を約20%で認めます[Am J Surg Pathol. 2000 Dec;24(12):1615-21.]。
甲状腺硝子化索状腺腫(甲状腺硝子化索状腫瘍)の超音波(エコー)画像
甲状腺硝子化索状腺腫(甲状腺硝子化索状腫瘍)の超音波(エコー)画像は、良性濾胞腺腫と言いつつ、
- 腺腫様結節に近い見え方
- 索状の高エコーが無数に走る特徴的な見え方(parallel shape;100.0%に認める)(Ultrasonography. 2016 Apr;35(2):131-9.)
長崎甲状腺クリニック(大阪)では、細胞診で硝子様物質が認められ、超音波(エコー)画像でも甲状腺硝子化索状腺腫(甲状腺硝子化索状腫瘍)を疑われたが、篩(ふるい)型[モルラ(渦巻き)型]甲状腺乳頭癌(cribriform-morular variant)だったケースがありました。
甲状腺硝子化索状腺腫(甲状腺硝子化索状腫瘍)の細胞診
特徴的な組織像に関わらず、甲状腺硝子化索状腺腫(甲状腺硝子化索状腫瘍)における細胞診での診断率はわずか8%です。
甲状腺硝子化索状腺腫(甲状腺硝子化索状腫瘍)の細胞診所見は
- 乳頭状の細胞集塊、甲状腺乳頭癌に特徴的な核内封入体・核溝が認められ、甲状腺乳頭癌との鑑別は困難です[ORL J Otorhinolaryngol Relat Spec. 2013;75(6):309-13.]
長崎甲状腺クリニック(大阪)では、細胞診で硝子様物質が認められ、超音波(エコー)画像でも甲状腺硝子化索状腺腫(甲状腺硝子化索状腫瘍)を疑われたが、篩(ふるい)型[モルラ(渦巻き)型]甲状腺乳頭癌(cribriform-morular variant)だったケースがありました。 - しかし、硝子(ガラス)様物質の周囲に腫瘍細胞が放射状に配列するため、甲状腺硝子化索状腺腫(甲状腺硝子化索状腫瘍)の見当がつきます。
(J.Jpn.Soc.Clin. Cyto1.34(1): 54~57,Jan., 1995)[J Clin Pathol. 2017 Aug;70(8):641-647.]
甲状腺硝子化索状腺腫(甲状腺硝子化索状腫瘍)のほとんどは甲状腺乳頭癌として手術され、手術標本から甲状腺硝子化索状腺腫(甲状腺硝子化索状腫瘍)のと分かります[ORL J Otorhinolaryngol Relat Spec. 2013;75(6):309-13.]。
甲状腺硝子化索状腺腫(甲状腺硝子化索状腫瘍)の経過
甲状腺硝子化索状腺腫(甲状腺硝子化索状腫瘍)の報告症例では、3か月後の超音波(エコー)検査にて増大傾向を認め、サイログロブリン2000 ng/mL と異常高値になったため、外科手術されています。切除標本は、
- 索状/胞巣状の腫瘍細胞
- 硝子様物質の沈着
- 腫瘍細胞核はやや腫大・切れ込み/くびれ/捻れなど不整形・核内封入体を有するが核分裂像は乏しい
などの術後病理所見にて甲状腺硝子化索状腺腫(甲状腺硝子化索状腫瘍)と確定診断されました。(第56回 日本甲状腺学会 P1-111 甲状腺硝子化索状腫瘍(hyalinizing trabecular tumour)の一例)
甲状腺硝子化索状腺腫(甲状腺硝子化索状腫瘍)の予後は99%以上が良好ですが、約0.8%において甲状腺乳頭癌と似た浸潤・転移・再発をするため注意が必要[Am J Surg Pathol. 2008 Dec;32(12):1877-89.]。
野口病院の報告では34例中、18例で他の甲状腺腫瘍(乳頭癌9例,悪性リンパ腫1例,良性15例,重複あり)が併存しており、手術切除した方が良いと思います。(第67回 日本甲状腺学会 P5-2 硝子化索状腫瘍34例の臨床的特徴と予後)
印環細胞型甲状腺腫瘍は非常にまれで、腺腫、癌、過形成がそれぞれ約70%、20%、10%とされます。[Am J Surg Pathol. 1985 Oct;9(10):705-22.][Am J Clin Pathol. 2017 Sep 1;148(3):251-258.]
印環細胞型濾胞腺腫は穿刺細胞診で印環細胞を確認できず、組織診にて確定します。[Reumatologia. 2017;55(4):155-156.]
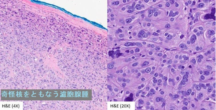
かなり稀な亜型ですが、細胞診で甲状腺未分化癌 と鑑別の難しい「奇怪核をともなう濾胞腺腫(follicular adenoma with bizarre nuclei)」が存在します。超音波(エコー)画像では濾胞性腫瘍そのものですが、細胞診では甲状腺未分化癌 のような大型で不整形な核(奇怪核)を認めます。ただし、甲状腺未分化癌 と異なり、核分裂像(細胞が分裂している像)や腫瘍壊死認めません。また、細胞増殖指数であるKi-67は低いとされます[Rare Tumors. 2023 Oct 28:15:20363613231212383.]。
甲状腺専門医および病理診断医を最も悩ませる問題の1つが濾胞腺腫良悪性鑑別困難例です。
上條甲状腺クリニックのデータによると、4cm以上の濾胞腺腫良悪性鑑別困難例は、50%が甲状腺濾胞癌とされます。(「上條甲状腺クリニックの甲状腺疾患Q&A」より)
(以下の細胞診の所見は、医療関係者以外の方は無視してください。写真のみご覧になり、「こんなものか」と思っていただければ十分です。)
濾胞腺腫細胞像良悪性鑑別困難症例は、
- 腫瘍細胞が多く採取され、不整な配列(構造異型)
- 重積や細胞間結合性低下(構造異型)
- 核径不整、N/C比増大(核径増大)、核の大小不同(核異型)
- クロマチン顆粒の肥大(核異型)
構造の異型(配列等がおかしい)と核異型(核がおかしい)の程度により
favor benign(良性寄り)、borderline(境界)、favor malignant(悪性寄り)に分けられます。(写真;バーチャル臨床甲状腺カレッジより)
長崎甲状腺クリニック(大阪)では、濾胞腺腫細胞像良悪性鑑別困難症において、3cm以上など濾胞癌を疑う条件(甲状腺濾胞性腫瘍の手術適応)があれば手術をお勧めしています。
好酸性腫瘍細胞が主体のときは鑑別困難の扱いになります。
濾胞腺腫良悪性鑑別困難例の具体例です。(Endocr J. 2012;59(6)483-7.)
これら濾胞腺腫良悪性鑑別困難例の細胞像は筆者の眼には癌細胞としか見えないのですが、良性と言い切れないなら中途半端な病名は考えずに、「濾胞癌の可能性否定できない濾胞腺腫」に改めた方が良いと思います。
UMP(uncertain malignant potential)とは被膜浸潤や血管浸潤が疑わしい(疑わしいだけで、確定していない)病態です。
浸潤が疑わしく、
- 乳頭癌に類似した核所見を有するものは、悪性度不明な高分化腫瘍(WDT-UMP:Well-differentiated tumor of uncertain malignant potential)
- 乳頭癌に類似する核所見を欠いたものは、悪性度不明な濾胞型腫瘍(FT-UMP:follicular tumor of uncertain malignant potential)
と定義されます(Int J Surg Pathol 2000; 8:181-183)。濾胞腺腫良悪性鑑別困難例とほぼ同じ意味です。
そもそも、手術しなけりゃ境界悪性病変か悪性病変か鑑別できないものに、名前を付ける意味があるのだろうか?手術標本でしか分からないなら、濾胞腺腫良悪性鑑別困難例の方がまだましです。
[Endocr J. 2022 Jul 28;69(7):757-761.]
※2023年10月に刊行された「第9版甲状腺癌取扱い規約」では、(必ずしも良性でない)低リスク腫瘍に分類されます。9回改訂され、今後も改訂され続ける「甲状腺癌取扱い規約」は、回を追うごとに細分化複雑化し、もはや病理医間の診断もばらつきが大きくなり、実臨床上の治療方針に大きな違いが生じています(実害が出ている)。
悪性度不明な高分化腫瘍(WDT-UMP);超音波(エコー)画像から判るように、良性濾胞腺腫よりも、腺腫様結節や濾胞型甲状腺乳頭癌に近い見え方です。
濾胞腺腫良性悪鑑別困難例・WDT-UMP・FT-UMPを手術すべきか、意見の分かれる所ですが、筆者自身は「疑わしきはオペする」が良いと思います。経過観察の末、遠隔転移した後に「やっぱり甲状腺癌だったのか・・」では遅いからです。(Int J Thyroidol. 2019 May;12(1)15-18.)
そもそも、WDT-UMPと濾胞型甲状腺乳頭癌・Non-invasive follicular thyroid neoplasm with papillary-like nuclear features (NIFTP) を正確に鑑別できる病理専門医が、日本で一体何人いるのかも不明です(おそらく数えるくらい)。
とにかく、日本の病理診断には病理専門医の主観が色濃く入り、病理専門医によって診断は変わるため、(筆者も含めて)甲状腺専門医が振り回されるのは日常茶飯事です。「アメリカと同じく、AI(人工知能)による統一された病理診断へ切り替えるべきだ」との声は多い。
甲状腺関連の上記以外の検査・治療 長崎甲状腺クリニック(大阪)
- 甲状腺編
- 甲状腺編 part2
- 内分泌代謝(副甲状腺/副腎/下垂体/妊娠・不妊等
も御覧ください
長崎甲状腺クリニック(大阪)とは
長崎甲状腺クリニック(大阪)は日本甲状腺学会認定 甲状腺専門医[橋本病,バセドウ病,甲状腺超音波(エコー)検査など]による甲状腺専門クリニック。大阪府大阪市東住吉区にあります。平野区,住吉区,阿倍野区,住之江区,松原市,堺市,羽曳野市,八尾市,天王寺区,東大阪市,生野区,浪速区も近く。


























