検索

甲状腺癌の肺転移と鑑別を要する肺の病気②(感染症;アレルギー性気管支肺アスペルギルス症,ノカルジア症[橋本病 バセドウ病 長崎甲状腺クリニック 大阪]

このエントリーをはてなブックマークに追加

甲状腺:専門の検査/治療/知見② 橋本病 バセドウ病 甲状腺エコー 長崎甲状腺クリニック大阪

甲状腺専門長崎甲状腺クリニック(大阪府大阪市東住吉区)院長が海外(Pub Med)・国内論文に眼を通して得た知見、院長自身が大阪市立大学 代謝内分泌内科で得た知識・経験・行った研究、年に1回、日本のどこかで開催される日本甲状腺学会で入手した知見です。

長崎甲状腺クリニック(大阪)以外の写真・図表はPubMed等において学術目的で使用可能なもの(Creative Commons License)、public health目的で官公庁・非営利団体等が公表したものを一部改変しています。引用元に感謝いたします。尚、本ページは長崎甲状腺クリニック(大阪)の経費で非営利的に運営されており、広告収入は一切得ておりません。

アレルギー性気管支肺アスペルギルス症 CT画像

甲状腺・動脈硬化・内分泌代謝に御用の方は 甲状腺編    動脈硬化編   内分泌代謝(副甲状腺/副腎/下垂体/妊娠・不妊等   をクリックください

長崎甲状腺クリニック(大阪)は甲状腺専門クリニックです。肺の病気の診療を行っておりません

甲状腺癌の肺転移と鑑別を要する肺の病気

Summary

甲状腺癌の肺転移と鑑別を要する肺の病気①粟粒結核肺ノカルジア症/脳ノカルジア症糖尿病・悪性腫瘍などの免疫不全患者に日和見感染を引きおこす放線菌・抗酸菌で甲状腺癌肺転移脳転移と肺CT/脳MRIで鑑別可③侵襲性肺アスペルギルス症;免疫不全患者に発症。甲状腺にも血行性感染し急性化膿性甲状腺炎の一つアスペルギルス甲状腺炎を引き起こす④アレルギー性気管支肺アスペルギルス症⑤肺犬糸状虫(フィラリア)症;ペットから感染⑥肺吸虫症(ウエステルマン肺吸虫症と宮崎肺吸虫)。

Keywords

甲状腺癌,肺転移,アスペルギルス,乳頭癌,濾胞癌,鑑別,アレルギー性気管支肺アスペルギルス症,ノカルジア症,肺犬糸状虫,肺吸虫症

肺ノカルジア症/脳ノカルジア症

肺ノカルジア症/脳ノカルジア症

ノカルジアは放線菌の一種で、結核菌・非定型抗酸菌と同じく酸に抵抗性があり、Ziehl-Neelsen 染色などの抗酸性染色に染まります。

糖尿病・悪性腫瘍などの免疫不全に日和見感染をおこします。肺癌・肺結核に似た症状で数ヶ月に及ぶ咳や発熱、肺炎や肺膿瘍に至ります。結核アスペルギルス、他の放線菌と同じく肺に空洞を形成。

脳に播種して脳膿瘍を形成し、肺癌の脳転移と鑑別を要します。

一般的な放線菌はペニシリン大量療法だが、ノカルジアは通常の抗生剤は効きが悪く、ニューモシスチス肺炎と同じST合剤(トリメトプリム-スルファメトキサゾール)の長期投与が必要で、ST合剤にアミカシン、カルバペネムなど多剤を併用します。

甲状腺癌肺転移脳転移と肺CT/脳MRIで鑑別可

造血幹細胞移植後に播種性ノカルジア症を発症し、肺膿瘍・脳膿瘍に加え甲状腺膿瘍甲状腺ノカルジア症)を形成した報告があります。全身状態から考えて甲状腺切除は困難で、6カ月間抗菌剤投与された後、回復したそうです。報告例をまとめると、播種性ノカルジア症における甲状腺ノカルジア症の60%は無症候性で、70%は甲状腺穿刺培養で確定。[Transpl Infect Dis. 2021 Aug;23(4):e13594.]

侵襲性肺アスペルギルス症

アスペルギルスは様々な肺疾患の原因になります。胸X-pでは甲状腺癌肺転移と鑑別できなくても肺CTで鑑別できます。

侵襲性肺アスペルギルス症

アスペルギルスは糸状真菌で、糖尿病や悪性腫瘍など免疫不全患者に侵襲性肺アスペルギルス症をおこします。

真菌感染特有の血清ガラクトマンナン抗原(アスペルギルスの細胞壁を構成する蛋白の一つ)やβ(ベータ)‐Dグルカンが上昇、出血性梗塞と周囲の肺胞内出血が特徴です。

甲状腺にも血行性感染し、急性化膿性甲状腺炎の一つアスペルギルス甲状腺炎を起こします。

空洞内菌球(アスペルギローマ)

免疫低下していない状態では、結核など既存の空洞に感染して、菌球(アスペルギローマ)を複数形成します。

アスペルギルスにはフルコナゾール以外の抗真菌薬が有効。

アスペルギルスは蝶形骨内に肉芽腫を形成し、眼窩先端症候群をおこすことがあります。

アレルギー性気管支肺アスペルギルス症(アレルギー性気管支肺真菌症)

アレルギー性気管支肺真菌症(allergic bronchopulmonary mycosis:ABPM)の最も一般的な原因菌は、アスペルギルス・フミガタス(Aspergillus fumigatus)で、アレルギー性気管支肺アスペルギルス症(allergic bronchopulmonary aspergillosis:ABPA)とも呼ばれます。カンジダ属、ペニシリウム属、スエヒロタケというキノコが原因の事もあります。

気管支喘息患者では、損傷して気道粘膜上皮障害にアスペルギルス・フミガタス(Aspergillus fumigatus)が生育しやすい。腐生したアスペルギルスに対する抗アスペルギルスIgG抗体が陽性化、免疫複合体となりⅠ型、Ⅲ型、Ⅳ型アレルギー反応を引き起こします。結果、粘液栓が形成され、喀痰中にアスペルギルス・フミガタス(Aspergillus fumigatus)を検出できます。

アレルギー性気管支肺アスペルギルス症

アレルギー性気管支肺アスペルギルス症は気管支喘息と間違えられる場合があります。症状および好酸球・IgE抗体増加が気管支喘息と同じためです。しかし、

  1. 茶褐色の細長い粘稠な痰(粘液栓)が出る、喀痰培養でアスペルギルス・フミガタス(Aspergillus fumigatus) が検出
  2. 抗アスペルギルス沈降抗体(旧)→アスペルギルスIgG抗体(ELISA法)(新)陽性、β-D-グルカン高値
  3. 肺線維症・肺性心に進展する

点が気管支喘息と異なります。

アレルギー性気管支肺アスペルギルス症

胸部X線/CTで

  1. 好酸球性肺炎による移動性浸潤影、すりガラス影
  2. (※急性好酸球性肺炎とは異なる)
  3. 気管支内のアスペルギルス粘液栓;高吸収の棍棒状陰影、手袋様陰影(finger-in-glove sign)
  4. 末梢細気管支の粘液栓は小葉中心性粒状影
  5. 中枢性気管支拡張

治療はステロイド投与。抗真菌剤併用しステロイド減量する治療も試みられていますが、耐性化と副作用から投与期間は慎重に決めねばなりません。

重症のアレルギー性気管支肺アスペルギルス症

重症のアレルギー性気管支肺アスペルギルス症。こうなると何がなんやら分からなくなります。

アレルギー性気管支肺アスペルギルス症の治療は副腎皮質ステロイド投与。

難治性アレルギー性気管支肺アスペルギルス症には抗真菌イトリコナゾールを併用投与。アレルゲン免疫療法(減感作療法)は行わない。

肺犬糸状虫(フィラリア)症

犬糸状虫(フィラリア)は犬・猫・フェレットの右心室と肺血管に寄生する体長15~25cmの巨大な寄生虫です。犬の30-60%が感染していて、フィラリアが成虫になると栄養障害、右心不全、肺血栓塞栓症(肺梗塞)を引き起こします。老犬の衰弱死の原因の1つです。

感染した犬の血を吸った蚊 (イエカ・ヤブカ・シマカ)が人を刺すと、人の体内にフィラリア幼虫が入り込みます。人間は犬糸状虫(フィラリア)に適した宿主(終宿主)ではないため、侵入したフィラリア幼虫のほとんどは死にますが、まれに肺に流れ着いた死骸が肉芽腫を形成します。約70%は無症状で、胸部単純X線・CT検査の際に偶然、肺腫瘤として見つかり、肺癌を疑われます。肺動脈を閉塞して肺血栓塞栓症(肺梗塞)を来すと、発熱、せき、呼吸困難の症状になります。

犬糸状虫(フィラリア)感染経路

犬糸状虫(フィラリア)感染経路(CDC Websiteより)

犬糸状虫(フィラリア)

犬糸状虫(フィラリア)(Parasit Vectors. 2018 Dec 19;11(1):663.)

甲状腺がんの方で、ペットに犬を飼っていると、紛らわしい事になります。せき、筋肉痛、微熱などの感冒様症状があり、胸部単純X線・CT撮影すると腫瘤影を認め、甲状腺がんの肺転移ではないかと驚きます。

気管支鏡検査・CT下肺生検を行なうも、肉芽組織のみで甲状腺がんの肺転移は否定されますが、確定診断できません。もしペットに犬を飼っていて、犬も体調悪く、獣医で犬糸状虫(フィラリア)症が判れば(なんとインフルエンザキットと同じようなフィラリアキットが存在する)、自然と人間の方も診断が付きます。

肺犬糸状虫(フィラリア)症 CT画像

肺犬糸状虫(フィラリア)症 CT画像。甲状腺がんの肺転移、肺癌との鑑別要。(J Thorac Dis 2018;10(6):3879-3882.)

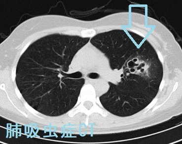
肺吸虫症

肺吸虫症は食品由来の寄生虫病で、ウエステルマン肺吸虫症と宮崎肺吸虫がほとんど。肺吸虫の第2中間宿主、淡水産のカニ(サワガニ、モクズガニ、上海ガニ、アメリカザリガニ)の生食もしくは十分火が取っていない半生食、カニを食べるイノシシの生肉を食べて感染。韓国では、淡水産カニを生で食べるらしいが、日本で刺身にするのは海にいるズワイガニだけのはず。

肺吸虫の幼虫は小腸壁から腹腔内→横隔膜→胸腔内(気胸、胸水、胸膜)→肺に移動(咳、痰、喀血)。

肺吸虫症

胸部CTでは

  1. 気胸、胸水、胸膜肥厚など
  2. 虫の移動による虫道が索状陰影(虫道)、周囲にすりガラス影を伴う結節、小葉間隔壁肥厚
  3. 虫嚢が不整形の結節・浸潤影になり、甲状腺がんの肺転移、肺癌との鑑別要。空洞を伴うことも(J Korean Med Sci. 2012 Nov;27(11):1428-32.)

抗ウエステルマン肺吸虫抗体陽性。治療は吸虫駆除剤のプラジカンテル

肺吸虫症 CT

肺CT検査

甲状腺関連の上記以外の検査・治療  長崎甲状腺クリニック(大阪)

長崎甲状腺クリニック(大阪)とは

長崎甲状腺クリニック(大阪)は日本甲状腺学会認定 甲状腺専門医[橋本病,バセドウ病,甲状腺超音波(エコー)検査など]による甲状腺専門クリニック。大阪府大阪市東住吉区にあります。平野区,住吉区,阿倍野区,住之江区,松原市,堺市,羽曳野市,八尾市,生野区,天王寺区,東大阪市,浪速区も近く。

長崎甲状腺クリニック(大阪)


長崎甲状腺クリニック(大阪)は日本甲状腺学会認定 甲状腺専門医[橋本病,バセドウ病,甲状腺超音波(エコー)検査等]施設で、大阪府大阪市東住吉区にある甲状腺専門クリニック。平野区,住吉区,阿倍野区,住之江区,松原市,堺市,羽曳野市,八尾市,東大阪市近く

住所

〒546-0014
大阪府大阪市東住吉区鷹合2-1-16

アクセス

  • 近鉄「針中野駅」 徒歩2分
  • 大阪メトロ(地下鉄)谷町線「駒川中野駅」
    徒歩10分
  • 阪神高速14号松原線 「駒川IC」から720m

診療時間電話番号や地図はこちら