サルコイドーシスと高カルシウム血症,甲状腺サルコイドーシス,甲状腺,橋本病,バセドウ病,甲状腺乳頭癌[甲状腺超音波エコー 長崎甲状腺クリニック 大阪]
内分泌代謝(副甲状腺・副腎・下垂体)専門の検査/治療/知見 長崎甲状腺クリニック(大阪)
甲状腺専門・内分泌代謝の長崎甲状腺クリニック(大阪府大阪市東住吉区)院長が海外(Pub Med)・国内論文に眼を通して得た知見、院長自身が大阪市立大学(現、大阪公立大学) 代謝内分泌病態内科学で得た知識・経験・行った研究、日本甲状腺学会で入手した知見です。
長崎甲状腺クリニック(大阪)以外の写真・図表はPubMed等において学術目的で使用可能なもの(Creative Commons License)、public health目的で官公庁・非営利団体等が公表したものを一部改変しています。引用元に感謝いたします。尚、本ページは長崎甲状腺クリニック(大阪)の経費で非営利的に運営されており、広告収入は一切得ておりません。
甲状腺サルコイドーシス 超音波(エコー)画像(Radiopaediaより)
甲状腺・動脈硬化・内分泌代謝に御用の方は 甲状腺編 動脈硬化編 甲状腺以外のホルモンの病気(副甲状腺/副腎/下垂体/妊娠・不妊など) 糖尿病編 をクリックください
長崎甲状腺クリニック(大阪)は甲状腺専門クリニックです。甲状腺以外のサルコイドーシスの診療を行っておりません。
Summary
サルコイドーシスは活性型ビタミンD3への変換促進で高カルシウム血症に。sIL2-Rも高値(甲状腺機能亢進症、悪性リンパ腫でも高値)。サルコイドーシスは細胞性免疫異常で橋本病・バセドウ病、甲状腺乳頭癌合併多い。ステロイド投与で橋本病・バセドウ病も改善。甲状腺サルコイドーシスの超音波エコー画像は甲状腺悪性リンパ腫に類似。穿刺細胞診で甲状腺乳頭癌と診断される場合も。頚部サルコイドーシスは甲状腺乳頭癌リンパ節転移との鑑別要。甲状腺癌の肺転移と肺サルコイドーシスの鑑別が必要な場合ある。眼サルコイドーシスは甲状腺眼症/バセドウ病眼症類似症状。
Keywords
サルコイドーシス,ビタミンD3,高カルシウム血症,甲状腺サルコイドーシス,橋本病,バセドウ病,眼サルコイドーシス,肺サルコイドーシス,甲状腺乳頭癌,悪性リンパ腫
サルコイドーシスでも高カルシウム血症をおこします。原発性副甲状腺機能亢進症と異なり血中リン(P)が低下しません。サルコイド肉芽腫内の単核細胞に発現する1-α-水酸化酵素により、25(OH)D3から活性型の1,25(OH)2D3 (ビタミンD3)への変換が促進されるのが原因とみられます[血中1,25(OH)2D3高値]。
皮膚石灰沈着症も起こります。
結核・珪肺症・一部の悪性リンパ腫でも同様の原因で高カルシウム血症になります。
サルコイドーシスができる場所は様々で肺、眼、心臓などで、甲状腺内にもできます。
サルコイドーシスは自然寛解が一般的ですが、30%は慢性化します。
肺サルコイドーシスは、胸部X線で偶然に両側肺門リンパ節腫脹(BHL:bilateral hilar lymphadenopathy)で見つかるのが最も一般的(悪性リンパ腫でも同様に見えます)。両側肺門リンパ節腫脹(BHL)のみの場合は2年以内で80%が自然寛解。自然軽快しなければ間質性肺炎・肺線維症に進行。
胸部CTでは他に、胸膜側のリンパ路に沿った多発粒状影や、ギャラクシーサイン(粒状影が集簇して結節を形成)を認めます。肺結核やMALTリンパ腫などでも見られます。(Sarcoidosis Vasc Diffuse Lung Dis. 2016 Oct 7;33(3):247-252.)
サルコイドーシスでは血清ACE(アンギオテンシン変換酵素)値・血清リゾチーム値・sIL2-R(可溶性インターロイキン2受容体)値が上昇しますが、悪性リンパ腫でも上昇します。
気管支肺胞洗浄(BAL):CD4/CD8比の増加
気管支腔内視鏡超音波断層法ガイド下経気管支吸引針生検(EBU-TBNA):肺サルコイドーシスの確定診断と肺癌縦隔リンパ節転移・悪性リンパ腫との鑑別に有効。
甲状腺内にサルコイドーシスがある場合、甲状腺以外の多臓器にもサルコイドーシス病変が存在します。全ての臓器を生検できないため、どれか1つを生検するなら、皮膚病変か甲状腺内病変の経皮的針生検が簡便です。気管支腔内視鏡超音波断層法ガイド下経気管支吸引針生検(EBU-TBNA)は、手技も複雑で、患者に非常な苦しみを与えます。
甲状腺癌の肺転移と肺サルコイドーシスの鑑別が必要な場合があります[BMC Cancer. 2021 Feb 7;21(1):139.]。
皮膚サルコイドーシスは多種で、主に両側性下腿伸側に落屑を伴う境界明瞭な浸潤性紅斑(結節性紅斑)です。潰瘍や壊死は伴わず、痛み、かゆみの自覚症状はありません。皮膚以外の病変があると疑いが強くなります。皮膚生検し、病理標本で類上皮細胞肉芽腫を認めれば確定診断します。1~2ヵ月で色素沈着を残さず治癒します。
シェーグレン症候群 のように環状紅斑になる場合もあります。更に、サルコイド肉芽腫が骨に浸潤し、関節の腫れ・変形を起こし関節リウマチのようになる場合もあります。
サルコイドーシスの原因は不明ですが、細胞性免疫(T細胞性免疫、特にTh1 免疫)の異常により、自己抗体が出現し易いとされます[Sarcoidosis Vasc Diffuse Lung Dis. 1999 Sep;16(2):149-73.][Rheumatol Int. 2011 Dec;31(12):1539-44.]。
サルコイドーシスは20〜50歳の女性に多く、家族歴が強いなど橋本病・バセドウ病(自己免疫性甲状腺疾患)と共通点は多い。
サルコイドーシス患者の橋本病・バセドウ病(自己免疫性甲状腺疾患)合併率は1.3~17%とされます(Eur J Endocrinol. 1996 Mar;134(3):331-6.)[Chest. 2006 Aug;130(2):526-32.]。
また、サルコイドーシス患者27.4%で抗甲状腺ペルオキシダーゼ抗体(TPO抗体)あるいは抗サイログロブリン抗体(Tg抗体)が陽性との報告があります(Eur J Endocrinol. 1996 Mar;134(3):331-6.)。
サルコイドーシスに対してステロイド投与すれば、橋本病・バセドウ病も改善します。
甲状腺乳頭癌の合併率は1.8%[Chest. 2006 Aug;130(2):526-32.]。頚部サルコイドーシスがある場合、リンパ節転移との鑑別が必要になります[BMJ Case Rep. 2018 Jun 8;2018:bcr2017222194.]
脳サルコイドーシスで2次性下垂体前葉機能低下症・中枢性甲状腺機能低下症)をおこすケースがあります[Pituitary. 2016 Feb;19(1):19-29.]。
甲状腺サルコイドーシスは非常に稀で全サルコイドーシス患者の1%未満、 甲状腺以外のサルコイドーシスに伴うことが多いとされます (QJ Med 2003;96:533―561.)[Semin Respir Crit Care Med. 2002 Dec;23(6):579-88.]。
甲状腺内にサルコイドーシスがある場合、甲状腺以外の他臓器にもサルコイドーシス病変が存在する確率が高い。全ての臓器を生検できないため、どれか1つを生検するなら、皮膚病変か甲状腺内病変の経皮的針生検が簡便です。
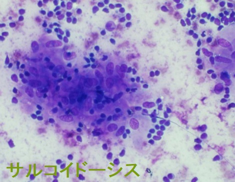
穿刺細胞診を施行しても診断が付かないことが多く、組織生検が必要。甲状腺サルコイドーシスは甲状腺癌との鑑別が難しく、穿刺細胞診で甲状腺乳頭癌と診断される場合もあります。[Endocrinol Diabetes Metab Case Rep. 2021 Sep 1;2021:21-0095.]
肺サルコイドーシスに対する気管支腔内視鏡超音波断層法ガイド下経気管支吸引針生検(EBU-TBNA)は、手技も複雑で、患者に非常な苦しみを与えます。病理所見にて非乾酪類上皮細胞性肉芽腫を認めれば、サルコイドーシスの診断に至ります。
甲状腺機能亢進症を伴う甲状腺サルコイドーシスの報告があります[J Endocrinol Invest. 2006 Oct;29(9):834-9.]。
甲状腺サルコイドーシスのエコー所見は、不整形の低エコー領域で、甲状腺悪性リンパ腫に類似しています。(写真は日呼吸会誌 2008; 46(8): 667-672.より)
眼にできるサルコイドーシスは、甲状腺眼症/バセドウ病眼症に似た症状になります。眼サルコイドーシスは3大ぶどう膜炎の1つで、片眼性の霧視と飛蚊症、眼底検査で雪玉状の硝子体混濁おこし、ベーチェット(Behçet)病、原田病(フォークト―小柳―原田病)と鑑別要。
肉芽腫性ぶどう膜炎である眼サルコイドーシスは、眼底検査で豚脂様角膜後面沈着物(原田病(フォークト―小柳―原田病)でもおこる)を認めます。
非肉芽腫性ぶどう膜炎のベーチェット(Behçet)病の角膜後面沈着物は、非常に小さく、前房には白血球がたまる前房蓄膿になります。
心臓MRI,Ga シンチ・Tl シンチ・FDG-PETで診断。PET-FDG は最も診断能が高く、感度89%、特異度78%。甲状腺の病変が同時に見つかる場合もあります。[ FDG-PET/CTと甲状腺腫瘍・橋本病(慢性甲状腺炎)][Am J Cardiol. 2015 Nov 15;116(10):1581-5.]
心筋生検で確定。
心機能低下する前にステロイドを開始すれば生命予後改善を見込める、迅速に正しく診断するのが重要。
心室頻拍(VT)を起こしていれば、ステロイドに併用して植え込み型除細動器(ICD)
サルコイドーシスの検査所見は、
- 血清ACE(アンギオテンシン変換酵素)値:甲状腺機能亢進症、慢性肝炎、肝硬変、悪性リンパ腫浸潤による肝内胆汁うっ滞性肝障害でも上昇(ACEの分解が低下するためと考えられています)。
- 血清リゾチーム値:疾患特異性に乏しい。単球性白血病・悪性リンパ腫など血液疾患をはじめ、種々の炎症性疾患でも上昇します。
- ツベルクリン反応陰性
- 高ガンマグロブリン血症: 甲状腺機能亢進症/バセドウ病、橋本病(慢性甲状腺炎)でも認められます。
- sIL2-R (可溶性インターロイキン2受容体)高値: 甲状腺機能亢進症、悪性リンパ腫でも上昇
- サルコイドーシスでも高カルシウム血症;甲状腺機能亢進症/バセドウ病、悪性リンパ腫による腫瘍随伴体液性高カルシウム(Ca)血症(humoral hypercalcemia of malignancy: HHM)でも上昇
甲状腺関連の上記以外の検査・治療 長崎甲状腺クリニック(大阪)
- 甲状腺編
- 甲状腺編 part2
- 内分泌代謝(副甲状腺/副腎/下垂体/妊娠・不妊等
も御覧ください
長崎甲状腺クリニック(大阪)とは
長崎甲状腺クリニック(大阪)は日本甲状腺学会認定 甲状腺専門医[橋本病,バセドウ病,甲状腺超音波(エコー)検査など]による甲状腺専門クリニック。大阪府大阪市東住吉区にあります。平野区,住吉区,阿倍野区,住之江区,松原市,堺市,羽曳野市,八尾市,浪速区,天王寺区,東大阪市,生野区も近く。


















