副腎偶発腫瘍(インシデンタローマ)/非機能性副腎腺腫,骨髄脂肪腫[甲状腺超音波エコー検査 橋本病 バセドウ病 長崎甲状腺クリニック 大阪]
内分泌代謝(副甲状腺・副腎・下垂体)専門の検査/治療/知見 長崎甲状腺クリニック(大阪)
甲状腺専門・内分泌代謝の長崎甲状腺クリニック(大阪府大阪市東住吉区)院長が海外(Pub Med)・国内論文に眼を通して得た知見、院長自身が大阪市立大学 代謝内分泌病態内科で得た知識・経験・行った研究、日本甲状腺学会で入手した知見です。
長崎甲状腺クリニック(大阪)以外の写真・図表はPubMed等において学術目的で使用可能なもの(Creative Commons License)、public health目的で官公庁・非営利団体等が公表したものを一部改変しています。引用元に感謝いたします。尚、本ページは長崎甲状腺クリニック(大阪)の経費で非営利的に運営されており、広告収入は一切得ておりません。
甲状腺・動脈硬化・内分泌代謝に御用の方は 甲状腺編 動脈硬化編 甲状腺以外のホルモンの病気(副甲状腺/副腎/下垂体/妊娠・不妊など) 糖尿病編 をクリックください。
長崎甲状腺クリニック(大阪)は甲状腺専門クリニックです。副腎の診療を一切、行っておりません。
Summary
副腎は左右腎臓の上にあるのホルモン分泌臓器。副腎腫瘍はホルモンを作る機能性副腎腫瘍と作らない非ホルモン産生性腫瘍がある。腹部超音波検査やCTで偶然(1-5%、高齢者は10%)副腎腫瘍が発見される(副腎偶発腫瘍:インシデンタローマ)。約75%は副腎腺腫、約50%は非機能性副腎腺腫だが3cm以上なら副腎癌(副腎原発1%/転移性5%)の事がある。骨髄脂肪腫3%。機能性副腎腫瘍はクッシング症候群10%・褐色細胞腫10%・原発性アルドステロン症5%。単純CTでCT値が10HU未満の低吸収値になる副腎腫瘍は脂質を多く含む副腎腺腫。
Keywords
副腎,副腎腫瘍,副腎偶発腫瘍,インシデンタローマ,副腎腺腫,副腎癌,骨髄脂肪腫,単純CT,ホルモン,非機能性副腎腺腫
腹部超音波検査やCTで偶然(1-5%、高齢者では10%)副腎腫瘍を発見される事があり、副腎偶発腫瘍(インシデンタローマ)と呼ばれます。
大阪大学の報告では、副腎偶発腫瘍(インシデンタローマ)の大半(77.0%)はCTで発見され、残りは腹部超音波検査(14.6%)、MRI(4.2%)、PET検査(4.2%)で同定。右側よりも左側に多く、腫瘍の平均直径は21±11mm。73.3%はホルモンを作らない非機能性副腎腫瘍。機能している腫瘍を有する患者は、機能していない腫瘍を有する患者よりも有意に若く、腫瘍の直径が大きかった。
ホルモンを作る機能性副腎腫瘍は、
- クッシング症候群 4.7%
- サブクリニカル クッシング症候群・プレクリニカル クッシング症候群 6.7%
- 褐色細胞腫 4.7%
- 原発性アルドステロン症59.3%
- 原発性アルドステロン症とサブクリニカル クッシング症候群・プレクリニカル クッシング症候群 合併 1.3%
機能性副腎腫瘍を有する患者は、非機能性副腎腫瘍患者よりも有意に若く、腫瘍の直径が大きかった。高血圧を除いて、機能性副腎腫瘍と非機能性副腎腫瘍の患者間で、耐糖能異常・心血管疾患・脂質異常症の頻度は同等。[Endocr J. 2016;63(1):29-35.]
一方、日本における全国的な多施設共同研究の結果、副腎偶発腫瘍(インシデンタローマ)の平均直径は3.0 ± 2.0 cm、50.8% が非機能性腺腫。非機能性腺腫と比較して、副腎皮質癌、褐色細胞腫、コルチゾール産生腺腫、骨髄脂肪腫、転移性副腎腫瘍、副腎嚢胞、および神経節神経腫では腫瘍直径が有意に大きい。
ホルモンを作る機能性副腎腫瘍は、
- コルチゾール産生腺腫 6.9%
- サブクリニカル クッシング症候群・プレクリニカル クッシング症候群(腺腫) 3.6%
- 褐色細胞腫 8.5%
- 原発性アルドステロン症55.1%
副腎皮質癌は1.4%、骨髄脂肪腫 3.6%。[Endocr J. 2020 Feb 28;67(2):141-152.]
非機能性副腎皮質腺腫が3cm以上の場合、副腎癌(副腎原発1%/転移性5%)の事があります。
(右)非機能性副腎皮質腺腫:内部は不均一・粗で、当初、副腎癌か褐色細胞腫が疑われました。摘出標本で非機能性副腎皮質腺腫が確定。
クッシング症候群は、 高血圧・糖尿病・メタボ、実は副腎の病気/副腎腫瘍(クッシング症候群)、 アレルギー性鼻炎薬で副腎の病気に? を御覧ください。
褐色細胞腫は、高血圧・糖尿病、実は副腎の病気/副腎腫瘍(褐色細胞腫) を御覧ください。
原発性アルドステロン症は 高血圧、実は副腎の病気/副腎腫瘍(原発性アルドステロン症) を御覧ください。
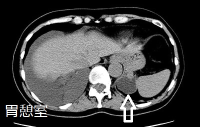
左副腎偶発腫瘍(インシデンタローマ)に見えても、実は胃憩室(gastric diverticulum)の事があります。胃憩室は、胃壁の一部が袋状に拡張し、突出したものです。他の消化管憩室に比べて頻度が低く、甲状腺専門医が遭遇する機会は、ほとんどありません。(表;Qlifeより)
胃憩室は胃穹窿部に好発し、CTにおいて
- 左副腎近傍に位置する
- 内部は胃液なので低吸収(CT値が10HU未満)→左副腎腺腫と鑑別
- 内部にガスを含んでいるか、胃との連続性を確認できれば診断は容易
確定診断として、胃内視鏡もしくは上部消化管造影における憩室(バリウムの貯留)の確認
全身拡散強調MRI検査(DWIBS:ドゥイブス )で副腎偶発腫瘍(インシデンタローマ)を見つける場合があります。
写真は、甲状腺濾胞癌手術後の遠隔転移検索で行った全身拡散強調MRI検査(DWIBS:ドゥイブス )の際、偶然見つかった副腎腺腫(原発性アルドステロン症)。
副腎骨髄脂肪腫(adrenal myelolipoma)は胎児期の間葉系組織の遺残で、脂肪と造血組織で構成される。内部は高輝度(高エコー)な脂肪組織とやや低輝度(低エコー)な造血組織が混在し、不均一。
多発性内分泌腺腫症1型(MEN1)、2型(MEN2)とは言えないものの、副腎骨髄脂肪腫と内分泌腺腫瘍の合併が複数あります。
ACTH産生下垂体腺腫(クッシング病)における過剰な副腎皮質刺激ホルモン(ACTH)は、副腎過形成だけでなく、副腎骨髄脂肪腫の発生にも関与する可能性あり。ACTH産生下垂体腺腫(クッシング病)、副腎骨髄脂肪腫、副腎石灰化および甲状腺乳頭癌の合併報告があります。[Endocr J. 1994 Aug;41(4):461-6.]告。[Am J Clin Pathol. 1985 Jun;83(6):744-7.]
網膜芽細胞腫(RB)遺伝子のヘテロ接合性患者におけるアルドステロン産生腺腫(原発性アルドステロン症)、副腎骨髄脂肪腫、下垂体微小腺腫、機能性甲状腺腫の合併報告があります。[J Renin Angiotensin Aldosterone Syst. 2004 Mar;5(1):45-8.]
びまん性消化管神経節腫症-脂肪腫症、副腎骨髄脂肪腫、膵臓毛細血管拡張症、および多結節性甲状腺腫の合併報告。[Am J Clin Pathol. 1985 Jun;83(6):744-7.]
副腎嚢胞(副腎のう胞)は稀で、腹部超音波(エコー)検査の際に偶然見つかります。ほとんどが良性、無症状で、穿刺排液した後は経過観察になることが多い。
巨大な副腎嚢胞(副腎のう胞)は破裂の危険があるため手術適応になります[J Pak Med Assoc. 2023 Jun;73(6):1317-1319.]。
ペンシルベニア大学病院の報告によると、新たに発生した偶発嚢胞性副腎病変は、
- 偽嚢胞(7/18)
- 内皮嚢胞(5/18)
- 中皮嚢胞(2/18)
- 成熟奇形腫(1/18)
- 嚢胞性副腎皮質腺腫(1/18)
- 嚢胞性褐色細胞腫(1/18)
- 嚢胞性転移(1/18);明細胞腎細胞癌
[Am J Clin Pathol. 2022 Apr 1;157(4):531-539.]
甲状腺関連の上記以外の検査・治療 長崎甲状腺クリニック(大阪)
- 甲状腺編
- 甲状腺編 part2
- 内分泌代謝(副甲状腺/副腎/下垂体/妊娠・不妊等
も御覧ください
長崎甲状腺クリニック(大阪)とは
長崎甲状腺クリニック(大阪)は日本甲状腺学会認定 甲状腺専門医[橋本病,バセドウ病,甲状腺超音波(エコー)検査など]による甲状腺専門クリニック。大阪府大阪市東住吉区にあります。平野区,住吉区,阿倍野区,住之江区,松原市,堺市,羽曳野市,八尾市,東大阪市,浪速区,生野区,天王寺区も近く。



















