甲状腺機能低下症の動脈硬化と急性大動脈解離・大動脈瘤[日本甲状腺学会認定 甲状腺専門医 橋本病 バセドウ病 エコー 長崎甲状腺クリニック 大阪]
長崎甲状腺クリニック(大阪)は甲状腺専門クリニックです。急性大動脈解離、腹部大動脈瘤、甲状腺動脈瘤の治療を行っておりません。
甲状腺:専門の検査/治療/知見① 橋本病 バセドウ病 甲状腺エコー 長崎甲状腺クリニック大阪
甲状腺専門・動脈硬化の長崎甲状腺クリニック(大阪府大阪市東住吉区)院長が海外・国内論文に眼を通して得た知見、院長自身が大阪市立大学 代謝内分泌内科で得た知識・経験・行った研究、日本甲状腺学会で入手した知見です。
長崎甲状腺クリニック(大阪)以外の写真・図表はPubMed等において学術目的で使用可能なもの(Creative Commons License)、public health目的で官公庁・非営利団体等が公表したものを一部改変しています。引用元に感謝いたします。尚、本ページは長崎甲状腺クリニック(大阪)の経費で非営利的に運営されており、広告収入は一切得ておりません。
甲状腺・動脈硬化・内分泌代謝に御用の方は 甲状腺編 動脈硬化編 甲状腺以外のホルモンの病気(副甲状腺/副腎/下垂体/妊娠・不妊など) 糖尿病編 をクリックください。
Summary
甲状腺機能低下症/潜在性甲状腺機能低下症/橋本病で動脈硬化が進行、急性大動脈解離とDIC・心タンポナーデ、腹部大動脈瘤、甲状腺動脈瘤破裂おこる。急性大動脈解離は血中Dダイマー上昇。A型上行大動脈解離が大動脈基部に及ぶと心臓栄養する冠状動脈入口部を圧迫、急性心筋梗塞と同じ心電図所見に。B型解離(DeBakey III)で主要分枝を含まない領域に限局は降圧治療のみ。甲状腺動脈瘤は血栓塞栓症なく、高率に破裂し死亡率20%のため無症候性でもコイル塞栓術、外科的切除。動脈硬化進行してできる腹部大動脈瘤は破裂すると突然死。通常、無症状で破裂始まると腹痛・腰痛。
Keywords
甲状腺機能低下症,潜在性甲状腺機能低下症,橋本病,動脈硬化,急性大動脈解離,腹部大動脈瘤,甲状腺動脈瘤,破裂,コイル塞栓術,甲状腺
甲状腺機能低下症/潜在性甲状腺機能低下症/橋本病では動脈硬化が進行し、狭心症/心筋梗塞の発症率が上がります。甲状腺ホルモン剤[レボチロキシン(チラーヂンS)]で治療すれば、血管年齢など動脈硬化が改善することを、私、長崎俊樹が医学界で初めて証明しました(甲状腺と動脈硬化 )。
甲状腺機能低下症/潜在性甲状腺機能低下症/橋本病を放置すると[患者さん自身が特に症状ないからと放置する場合、以下のようなトンデモナイ事になります。
甲状腺機能低下症でも、右冠動脈の閉塞による下壁梗塞でも、低血圧や徐脈・洞停止・房室ブロックなどの徐脈性不整脈が起こります(甲状腺機能低下症の徐脈性不整脈と同じ)。甲状腺機能低下症と思っていても、念のため心電図を撮るべきでしょう。
動脈硬化が原因でおこる急性大動脈解離、腹部大動脈瘤、甲状腺動脈瘤を以下に解説します。
[下、Scand Cardiovasc J. 2020 Feb;54(1):1-13.ypり改変]
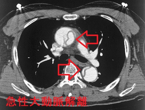
急性大動脈解離(acute aortic dissection: AAD)とは、大動脈壁の脆弱さ、動脈硬化、高血圧などが原因で生じます。血管内膜に亀裂が入り、中膜が裂け、内腔側が内膜フラップ(intimal flap)になって、その下に偽腔が生じる病態です。
イスラエルの報告では、急性大動脈解離(AAD)の22%で甲状腺機能低下症を認めたそうです(Isr J Med Sci. 1994 Jul;30(7):510-3.)。甲状腺機能低下症では動脈硬化が進行し、心血管障害の罹患率・死亡率が上昇するためと考えられます(甲状腺と動脈硬化)。
急性大動脈解離(AAD)の症状は、前胸部から裂けた箇所[喉(のど)、背中、腰部など]に広がる突然の激しい胸痛、背部痛(70~80%)。9~20%は無痛性。「喉(のど)の痛み」が主症状(主訴)で軽い胸痛、背部痛だと、耳鼻咽喉科・内科・甲状腺専門医を受診して急性大動脈解離の診断が遅れる可能性があります。当然、甲状腺にも喉(のど)にも痛みの原因は無く、逆流性食道炎・非びらん性胃食道逆流(NERD)、狭心症による放散痛の除外診断目的で消化器内科、循環器内科を受診することになりますが、循環器内科を速やかに受診すれば急性大動脈解離を見つけられる確率は高くなります。
急性大動脈解離(AAD)では、大動脈から分枝する動脈が巻き込まれて様々な症状を伴います。
- 手の血圧差、手の冷感、血圧が計測不能(ショック・バイタル)、皮膚の末梢循環障害による網状皮斑
- 腸骨動脈・大腿動脈に解離が及ぶと、下腿が虚血状態になって、大腿動脈触知不能に。下肢血圧差、冷感。皮膚の末梢循環障害による網状皮斑
- 心タンポナーデ(死因の一位)、心筋梗塞、大動脈弁閉鎖不全症(AR)(下記)
- 脳虚血;失神、気が付いたら倒れている事もあります。
解離によって一時的に腕頭動脈や左総頸動脈の起始部で血流が障害され、脳血流が減少。脳梗塞・脳出血のように、様々な脳神経症状が起こる。また、脳梗塞を合併することも多く、そうなれば手術適応外に。
- 脊髄虚血による半身麻痺など
- 腹部の動脈なら、腹痛、下血、肝障害
- 腎動脈なら急性腎不全
- Adamkiewicz 動脈(アダムキービッツ動脈)・前脊髄動脈なら対麻痺
急性大動脈解離(AAD)では肺血栓塞栓症(肺梗塞)同様、血中Dダイマーが上昇します。
Stanford B型急性大動脈解離(DeBakey III)で主要分枝を含まない領域に限局している場合は降圧治療のみ(降圧目標は収縮期血圧105~120mmHg、β遮断薬が第一選択)。
突然死の原因を究明する死後CT(オートプシー・イメージング)では、大動脈解離が10%を占めます、
教科書に書いている「急性大動脈解離では心電図異常が無い」は大間違いです。A型の上行大動脈解離が大動脈基部に及ぶと、
- 心臓を栄養する冠状動脈入口部を圧迫し、急性心筋梗塞と同じ心電図所見になります。
- 大動脈弁閉鎖不全症(AR)を発症し、高調の拡張期雑音が胸骨右縁で聴取されます。心電図では左室高電位に。
- 心タンポナーデ(死因の一位);頸静脈怒張、I音とII音の減弱を認めれば、胸部CTより先に心エコー検査(最優先)
循環器のお偉い先生方といえど、救急の現場を知らないのだな・・・と思いました(甲状腺専門医でも知ってるで)。(大動脈瘤・大動脈解離診療ガイドライン2011年改訂版)
大動脈瘤・大動脈解離では、播種性血管内凝固症候群(DIC)が慢性的におこります。手術適応ない場合、出血症状、脳梗塞などの血栓症にはヘパリンの在宅自己注射が必要。
マルファン症候群(marfan syndrome:MFS)は、常染色体優性遺伝性の結合組織異常。フィブリリン-1(fibrillin-1)をコードするFBN1遺伝子やTGF-β 受容体遺伝子の突然変異が原因で、過剰TGF-βの臓器沈着からコラーゲン形成障害が生じます。
マルファン症候群の身体的特徴として、高身長で四肢の指が長い、胸郭の変形、眼の水晶体亜脱臼などがあります。
マルファン症候群で特に問題となるのが大動脈壁の脆弱性で、
- 大動脈弁輪拡張による大動脈弁閉鎖不全症(AR)
- 大動脈瘤、急性大動脈解離がおきると命にかかわる
通常の急性大動脈解離は60歳以上の高齢者に多いが、マルファン症候群では20歳-30歳代に発症することが多い。激しい運動はマルファン症候群の脆弱な動脈壁を破綻させるため禁忌。
まれな組織亜型の甲状腺乳頭癌を発症したマルファン症候群の報告があります。甲状腺乳頭癌の特徴として広汎浸潤型で長い絨毛を持ち、BRAF(V600E)変異陽性、免疫組織染色でHBME-1・サイトケラチン19・ガレクチン-3・サイクリンD1陽性、p27喪失。この特異な甲状腺乳頭癌の発生には、TGF-βの異常による結合組織の脆弱性が関与している可能性があります。[Endocr Pathol. 2012 Dec;23(4):254-9.]
マルファン症候群に甲状腺機能亢進症/バセドウ病と第VII欠損症を合併した報告があります。甲状腺機能亢進症/バセドウ病により、重度の大動脈弁閉鎖不全症(AR)、僧帽弁閉鎖不全症(MR)、急性心房細動(Rapid Af)が増悪。[Int J Cardiol. 2005 Feb 15;98(2):345-8.]
マルファン症候群の急性大動脈解離 胸部造影CT 水平断像;矢印はflap
腹部大動脈瘤(AAA)からの動脈性出血では出血性ショックに至ります。鑑別を要する病気のほとんどが痛みのために血圧が上昇しますが、腹部大動脈瘤破裂は、逆に血圧が低下し、急激な貧血の進行を伴うショックバイタルになります(ここで気付けば上等)。
腹部大動脈瘤破裂が始まれば致死率は80-90%になります。
腹部大動脈瘤(AAA)があれば、周囲の動脈、特に腸骨動脈にも同じような動脈瘤が存在する可能性があります。これらはステントを留置するカテーテル手術の適応となります。
大動脈留だけではありません。動脈硬化による動脈瘤は、甲状腺を栄養する動脈にも起こります(日血外会誌 15:517-519,2006)。上甲状腺動脈瘤・下甲状腺動脈瘤は、これまでに40例未満の報告しかありません。大きさは0.8~6.2cmと様々で、大きさと破裂の有無とは関連しません。
甲状腺動脈瘤以外の末梢動脈瘤は、血栓塞栓症が多く、破裂は稀とされます。しかし、甲状腺動脈瘤で血栓塞栓症をおこした報告はありません。甲状腺動脈瘤の報告例で、破裂した割合は下甲状腺動脈瘤 58.3%、上甲状腺動脈瘤 25%で破裂瘤の20%は死亡しています。
甲状腺動脈瘤で破裂が多いメカニズムは不明です。 破裂前に見つけて無症候性(症状が無い)でもコイル塞栓術、あるいは外科的切除(甲状腺の同時部分切除も)を早急に行う必要があります(内分泌甲状腺外会誌 31(3):243-246,2014)。元々、甲状腺手術予定があるなら、同時切除もあり得ます。
甲状腺動脈瘤が破裂した場合、
- 痛みを伴う急速な頚部腫大(頸部血腫)
- 気管圧迫による著明な呼吸困難
- アッと言う間に失血性ショック
治療は、
- 気管内挿管、挿管できない程の気管圧排なら輪状甲状間膜切開
- ドレナージ
- コイル塞栓術、あるいは外科的切除(甲状腺の同時部分切除もあり)を早急に行う必要があります
甲状腺腫瘍を穿刺吸引細胞診する際、甲状腺動脈の外膜を傷付けて仮性動脈瘤を生じる事があります。動脈硬化した硬くて脆い所が動脈瘤に成り易いとされます。
破裂すると命にかかわるため、コイル塞栓術あるいは外科的切除(甲状腺の同時部分切除もあり)を早急に行う必要があります。[J Ultrasound Med. 2004 Dec;23(12):1675-8.]
外傷性頸部動脈瘤(頚部仮性動脈瘤)・甲状腺癌術後の頸横動脈仮性動脈瘤・急性化膿性甲状腺炎に伴う感染性仮性動脈瘤もあります。
甲状腺関連の上記以外の検査・治療 長崎甲状腺クリニック(大阪)
- 甲状腺編
- 甲状腺編 part2
- 内分泌代謝(副甲状腺/副腎/下垂体/妊娠・不妊等
も御覧ください
長崎甲状腺クリニック(大阪)とは
長崎甲状腺クリニック(大阪)は日本甲状腺学会認定 甲状腺専門医[橋本病,バセドウ病,甲状腺超音波(エコー)検査など]による甲状腺専門クリニック。大阪府大阪市東住吉区にあります。平野区,住吉区,阿倍野区,住之江区,松原市,堺市,羽曳野市,八尾市,東大阪市,生野区,天王寺区も近く。


















