甲状腺以外のIgG4関連疾患(IgG4-RD)(眼症,ミクリッツ病,下垂体炎,リンパ節腫脹,後腹膜線維症,肺疾患,炎症性大動脈瘤,腎臓病,肥厚性硬膜炎)
甲状腺:専門の検査/治療/知見② 橋本病 バセドウ病 甲状腺エコー 長崎甲状腺クリニック大阪
甲状腺専門の長崎甲状腺クリニック(大阪府大阪市東住吉区)院長が海外(Pub Med)・国内論文に眼を通して得た知見、院長自身が大阪市立大学(現、大阪公立大学) 代謝内分泌内科で得た知識・経験・行った研究、日本甲状腺学会で入手した知見です
長崎甲状腺クリニック(大阪)以外の写真・図表はPubMed等において学術目的で使用可能なもの(Creative Commons License)、public health目的で官公庁・非営利団体等が公表したものを一部改変しています。引用元に感謝いたします。尚、本ページは長崎甲状腺クリニック(大阪)の経費で非営利的に運営されており、広告収入は一切得ておりません。
甲状腺・動脈硬化・内分泌代謝・糖尿病に御用の方は 甲状腺編 動脈硬化編 甲状腺以外のホルモンの病気(副甲状腺/副腎/下垂体/妊娠・不妊など) 糖尿病編 をクリックください。
長崎甲状腺クリニック(大阪)は甲状腺専門クリニックです。甲状腺以外のIgG4関連疾患の診療を行っておりません。
Summary
IgG4関連疾患、診断基準は①血清IgG4≧135 mg/dL②組織のIgG4陽性細胞高倍率視野で10個以上、IgG4/IgG比≧40%。IgG4関連眼症はMRI T2強調画像で涙腺、視神経周囲の低信号。炎症部位が全て同じなのでIgG4関連眼症は診断できても甲状腺眼症・バセドウ病眼症合併は診断難。ミクリッツ病(Mikulicz病)はシェーグレン症候群に類似するが抗SS-A・SS-B抗体陰性。IgG4関連下垂体炎は下垂体・下垂体茎腫大、下垂体腫瘍と鑑別難。IgG4関連肺疾患、IgG4関連リンパ節腫脹、炎症性大動脈瘤、後腹膜線維症、IgG4関連腎臓病もある。
Keywords
甲状腺,IgG4関連疾患,IgG4関連眼症,ミクリッツ病,IgG4関連下垂体炎,IgG4関連肺疾患,IgG4関連リンパ節腫脹,炎症性大動脈瘤,後腹膜線維症,IgG4関連腎臓病
免疫グロブリンの一つIgGの3%がIgG4です。甲状腺領域、甲状腺外の領域でも、IgG4は最もホットな話題の一つです。IgG4関連疾患(IgG4-RD)は、どの臓器にも発生する可能性があります。血清IgG4高値とIgG4陽性形質細胞の組織浸潤/腫瘤形成が特徴で、自己免疫性膵炎、ミクリッツ病などをおこします。IgG4関連疾患(IgG4-RD)は中高年が好発年齢で、男性にやや多いです。
詳細は、IgG4関連疾患(IgG4-RD)とは。
厚生労働省班研究グループの包括的診断基準として、1)血清IgG4が135 mg/dL 以上、2)組織におけるIgG4陽性細胞が高倍率視野で10個以上、IgG4/IgG比40%以上、が提唱されています
甲状腺眼症・バセドウ病眼症と鑑別
IgG4関連眼症は、甲状腺眼症・バセドウ病眼症と同じく、上眼瞼炎、外眼筋炎、眼窩内脂肪織炎、涙腺腫大を認めます(炎症部位がほぼ同じ)。(第55回 日本甲状腺学会 P2-07-04 橋本病と木村病に外眼筋腫大と眼瞼腫脹を合併し高IgG4 血症を呈した一例)[J Endocrinol Invest. 2014 Dec;37(12):1233-5.][BMC Ophthalmol. 2018 Jan 12;18(1):5.]
単純CTで、それら病変を評価するのは難しく、MRIがはるかに優れています。ただ、単純CTではミクリッツ病(Mikulicz病)の涙腺腫大が明瞭に写ります。
甲状腺眼症・バセドウ病眼症と思っていても、涙腺腫大・涙腺炎・涙嚢炎が見つかればIgG4関連眼症の鑑別を考える必要があります。[BMC Ophthalmol. 2018 Jan 12;18(1):5.]
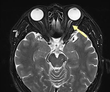
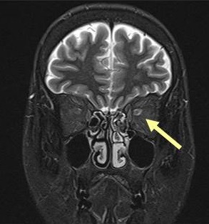
IgG4関連眼症のMRI所見は、T2強調画像で涙腺炎に加え、
- 視神経周囲組織の炎症(IgG4 眼症は視神経炎を伴う場合がある)
- 様々な眼組織に腫瘤(眼球裏面に索状の腫瘤など)
- 三叉神経(眼窩上神経と眼窩下神経)の腫大[Ophthalmic Plast Reconstr Surg. 2019 Mar/Apr;35(2):170-176.]
を認める点が、甲状腺眼症・バセドウ病眼症と異なります。造影MRIでは、いずれも増強されます。
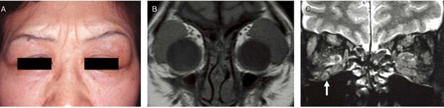
写真A:両側涙腺の対称的な腫大 B:MRI T1 強調画像(冠状断)で両側涙腺の対称性腫大 C:MRI T2 強調画像(冠状断)で両側涙腺の腫大・外眼筋腫大・眼窩下神経(三叉神経)の腫大(Jpn J Ophthalmol 59:1-7, 2015)
組織生検をしない限り、IgG4 眼症か否か分かりません。確定診断は
- 涙腺生検;涙腺腺房内のリンパ球/形質細胞浸潤・リンパ濾胞形成、免疫染色でIgG4陽性形質細胞主体
- 外眼筋筋膜生検で、血管周囲にIgG4 陽性細胞を伴う炎症像を認めれば、IgG4関連眼症と診断できます。しかし、現実に、外眼筋筋膜生検まで行うのは困難です。
但し、IgG4関連眼症かどうかは診断できても、特異的な組織像がない甲状腺眼症・バセドウ病眼症合併の有無は、以下の通り診断不可能です。
組織生検をして、IgG4 眼症が否定されれば、自動的に甲状腺眼症になります。
甲状腺眼症が疑われた自己免疫性甲状腺疾患(バセドウ病・橋本病)とIgG4関連眼症の合併
オリンピア眼科病院の報告によると、甲状腺眼症疑いで受診した甲状腺自己抗体陽性患者のうち、血清IgG4 が高値(≧ 109 mg/dL)を示した11 例[男性 2例 女性 9例、平均年齢 53.4 歳、血清 IgG4 平均値 231.4 mg/dL(121-666)]の詳細は、
- 涙腺腫大が10 例;4 例がIgG4 眼症による涙腺腫大を疑われた
- 外眼筋肥大は8 例;3 例がIgG4 眼症による外眼筋肥大を疑われた
- バセドウ病が6 例;2 例は抗サイログロブリン抗体(Tg抗体)・抗甲状腺ペルオキシダーゼ抗体(TPO抗体) も陽性
橋本病は3 例;1 例はTRAb(TSHレセプター抗体) とTSAb(甲状腺刺激抗体) も陽性
TSAb(甲状腺刺激抗体)陽性の甲状腺機能正常バセドウ病(euthyroid Graves' disease) 疑いが2 例
との事です(第59回 日本甲状腺学会 P3-4-1 血清IgG4 高値を示した甲状腺眼症疑い症例の検討)。
唯一、言えるのは「血清IgG4 が正常ならIgG4 眼症は否定される」ことだけです。
血清IgG4 が甲状腺眼症の進行・重症化に関与している疑い
血清IgG4 が甲状腺眼症の進行・重症化に関与している疑いが報告されています(Thyroid. 2017 Sep;27(9):1185-1193.)。
血清IgG4 値は、甲状腺眼症の活動性(CAS)、TRAb値と正の相関。血清IgG4 値の高い甲状腺眼症患者群は、自己免疫性甲状腺疾患の家族歴を持つ確率、甲状腺ホルモンFT4、TRAbが高く、甲状腺超音波(エコー)検査で広範な低エコーになります。
もはやこれでは、
- 前述のIgG4関連眼症特異なMRI所見を見つける
- 以下の外眼筋筋膜生検をする
以外、IgG4 眼症を診断する事は不可能です。但し、IgG4 眼症を診断できても、甲状腺眼症・バセドウ病眼症の合併の有無は診断不可能です。
ミクリッツ病(Mikulicz病、IgG4唾液腺炎、IgG4関連硬化性唾液腺炎)はシェーグレン症候群と非常に類似しているが、シェーグレン症候群に特異的な抗SS-A抗体/抗SS-B抗体はほとんど陰性です。
ミクリッツ病にIgG4関連甲状腺炎を合併した報告があります。[Eye Sci. 2014 Mar;29(1):47-52.]
珍しい顎下腺のカットナー腫瘍(慢性硬化性唾液腺炎:Küttner tumour:kuttner tumor)は、ミクリッツ病(IgG4関連硬化性唾液腺炎)と同じIgG4関連疾患で、限局型IgG4関連硬化性唾液腺炎。
IgG4関連下垂体炎の症状
IgG4関連下垂体炎は、リンパ球性下垂体炎(自己免疫性下垂体炎)の一種です。症状は、
- 下垂体周囲組織の障害で、視力視野障害、脳硬膜髄膜炎(肥厚性硬膜炎)、海綿静脈洞炎(海綿静脈洞腫瘤)、副鼻腔炎、Tolosa-Hunt 症候群
- 下垂体前葉機能低下症、下垂体後葉機能低下症(尿崩症)
- 自己免疫性甲状腺疾患である橋本病(慢性甲状腺炎)の合併も多い
IgG4関連下垂体炎の診断
IgG4関連下垂体炎の検査所見・診断は
- 血中IgG4 濃度が高値を示さない場合もある
- 下垂体・下垂体茎が腫大するため、MRIにて下垂体腫瘍と鑑別しにくいことがある
- IgG4関連下垂体炎の確定診断には生検や手術による下垂体または下垂体茎の組織所見が必要だが、侵襲性が高く大掛かりになるので実際行わないことが多い(Endocr J 2009; 56(9): 1033–1041.)
- 下垂体生検・手術を出来ない場合(と言うか、そこまでしなくてもよい場合)、治療的診断としてステロイド投与して下垂体腫瘤が縮小・消失するか確認
IgG4関連下垂体炎の治療
副腎皮質ステロイド投与で、劇的に画像上の下垂体腫大も改善します。
また、IgG4関連下垂体炎と診断されておらず、単なる下垂体前葉機能低下症として、補充目的で甲状腺ホルモン剤と副腎皮質ステロイド剤を内服した場合、副腎皮質ホルモン剤(ステロイド剤)の影響でIgG4関連下垂体炎が治まり甲状腺ホルモン剤が必要なくなることがあります。[副腎皮質ホルモン剤(ステロイド剤)は中止するとIgG4関連下垂体炎が再発するため、慎重に減量]
(第55回 日本甲状腺学会 P2-05-06 IgG4 関連疾患による下垂体性甲状腺機能低下症―ステロイド投与による回復についての考察―)
IgG4関連リンパ節腫脹は、IgG4関連疾患患者の約80%に認められます。リンパ節腫脹自体で症状が起こるわけではありません。臨床上の問題になるのは、癌の転移リンパ節との鑑別です。頚部IgG4関連リンパ節腫脹は、甲状腺癌の頸部転移リンパ節と鑑別を要する場合があります。[J Med Ultrasound. 2019 Jan-Mar;27(1):43-46.]
IgG4関連リンパ節腫脹の超音波(エコー)画像は、
- リンパ節内に虫食い状の低エコー領域が現れ、パワードプラーモードで血流を確認できるため、嚢胞変性と鑑別できる。低エコー領域にはリンパ濾胞が存在する
- リンパ節内の高エコー部(*)は、線維化した部分と考えられ、IgG4陽性形質細胞が多いとされる[Am J Surg Pathol. 2021 Feb 1;45(2):178-192.]。
下は、鼠径部に偶然見つかったIgG4関連リンパ節腫脹[Diagnostics (Basel). 2021 Nov 27;11(12):2213.]
肥厚性硬膜炎は,脳脊髄硬膜が線維性に肥厚し,頭痛,多発脳神経麻痺をきたす疾患でIgG4関連疾患の可能性が報告されています。
後腹膜線維症では、内臓を包む腹膜の背中側がガチガチに線維化します。腎臓から出て膀胱へ至る尿管を巻き込むため、尿の通過障害が起こります。結果、尿が腎臓へ逆流して、水腎症や急性腎盂腎炎を発症します。[Nephrol Dial Transplant. 2021 Sep 27;36(10):1773-1781.]
CT・MRIでは大動脈周囲に軟部影を認め、炎症性動脈瘤のような所見です。
IgG4 関連疾患との合併から、特発性後腹膜線維症の相当数がIgG4 関連後腹膜線維症とされます。(Intern Emerg Med. 2017 Apr;12(3):287-299.)
後腹膜線維症は
- 橋本病(慢性甲状腺炎)との合併率が高い(Autoimmun Rev. 2015 Jan;14(1):16-22.)
- リーデル甲状腺炎との合併も報告されている(Clin Nucl Med. 2002 Jun;27(6):413-5.)(Pathol Res Pract. 1997;193(8):573-7; discussion 578.)
IgG4 関連後腹膜線維症なら当然と言えます。
IgG4関連腎臓病は、中高年の男性に多く、60 歳代がピークです。
IgG4関連腎臓病は、
- ほぼ全例に尿細管間質病変;尿細管間質に著明なリンパ球と形質細胞浸潤[gG4/IgG 陽性細胞比≧40 %、あるいは10/hpf(高倍率視野)]の間質性腎炎
- 40%に糸球体病変(膜性腎症、稀に半月体形成性糸球体腎炎)
を認めます。尿タンパク・血尿から腎機能低下まで多様な病態です。
IgG4関連腎臓病は、造影CTで腎実質の多発性造影不領域、びまん性腎腫大、単発性腎腫瘤(hypovascular)を認め、腎臓癌(腎細胞癌)との鑑別が必要になります。
IgG4関連腎臓病の治療はステロイドが第一選択薬で、早期にステロイド治療を行えば腎機能が回復する可能性が高い。ただし、ステロイド治療が遅れると萎縮が進行し、回復が見込めなくなる。
- IgG4:IgG4関連疾患以外の反復感染、悪性腫瘍、自己免疫疾患、血管炎、間質性肺炎などでも上昇
- 抗ラクトフェリン抗体、抗carbonic anhydlase Ⅱ抗体陽性のことがある。
- IgG4甲状腺炎同様、抗核抗体陽性のことがあります。
甲状腺関連の上記以外の検査・治療 長崎甲状腺クリニック(大阪)
- 甲状腺編
- 甲状腺編 part2
- 内分泌代謝(副甲状腺/副腎/下垂体/妊娠・不妊等
も御覧ください
長崎甲状腺クリニック(大阪)とは
長崎甲状腺クリニック(大阪)は日本甲状腺学会認定 甲状腺専門医[橋本病,バセドウ病,甲状腺超音波(エコー)検査など]による甲状腺専門クリニック。大阪府大阪市東住吉区にあります。平野区,住吉区,阿倍野区,住之江区,松原市,堺市,羽曳野市,八尾市,東大阪市,天王寺区,生野区,浪速区も近く。




















