甲状腺,甲状腺機能低下症と卵巣嚢腫(卵巣嚢胞),チョコレートのう胞(卵巣子宮内膜症)[橋本病 バセドウ病 長崎甲状腺クリニック 大阪]
甲状腺:専門の検査/治療/知見① 橋本病 バセドウ病 甲状腺エコー 長崎甲状腺クリニック大阪
甲状腺専門の長崎甲状腺クリニック(大阪府大阪市東住吉区)院長が海外・国内論文に眼を通して得た知見、院長自身が大阪市立大学 大学院医学研究科 代謝内分泌内科で得た知識・経験・行った研究、日本甲状腺学会 学術集会で入手した知見です。
長崎甲状腺クリニック(大阪)以外の写真・図表はPubMed等において学術目的で使用可能なもの(Creative Commons License)、public health目的で官公庁・非営利団体等が公表したものを一部改変しています。引用元に感謝いたします。尚、本ページは長崎甲状腺クリニック(大阪)の経費で非営利的に運営されており、広告収入は一切得ておりません。
甲状腺・内分泌代謝等の長崎甲状腺クリニック(大阪市東住吉区)院長が海外論文に眼を通して得たもの、甲状腺学会で入手した知見を元にしています。
甲状腺・動脈硬化・内分泌代謝に御用の方は 甲状腺編 動脈硬化編 甲状腺以外のホルモンの病気(副甲状腺/副腎/下垂体/妊娠・不妊など) 糖尿病編 をクリックください
長崎甲状腺クリニック(大阪)は甲状腺専門クリニックです。卵巣の診療を行っておりません。
Summary
長年に渡る重度の甲状腺機能低下症により、粘液多糖類(ヒアルロン酸、コンドロイチン硫酸塩)沈着と卵胞発育異常が生じ、卵巣容積増加・卵巣嚢胞(卵巣嚢腫)形成促進。卵巣茎捻転の危険。甲状腺ホルモン補充療法により甲状腺機能正常化すると、遅れて卵巣容積・卵巣嚢胞減少。チョコレートのう胞(卵巣子宮内膜症)は生理周期に合わせて子宮内膜剥離出血し、生理痛・不妊症・破裂して急性腹症。甲状腺乳頭癌術後のDWIBSで偶然発見される。過剰なエストロゲン刺激に関連する甲状腺疾患などが危険因子となり、約1%が子宮内膜症関連卵巣癌(EAOC)に悪性転換。
Keywords
甲状腺機能低下症,卵巣嚢胞,卵巣嚢腫,チョコレートのう胞,卵巣子宮内膜症,甲状腺,子宮内膜症関連卵巣癌,卵巣茎捻転,EAOC
長年に渡る重度の甲状腺機能低下症により、卵巣容積は増加し、卵巣嚢胞形成が促進されます。
その原因として、
- 粘液多糖類(ヒアルロン酸、コンドロイチン硫酸塩)の沈着
- それによる卵胞発育の異常
などが考えられます。
甲状腺ホルモン補充療法により甲状腺機能が正常化すると、遅れて卵巣容積・卵巣嚢胞の減少が起こります。(Ann Saudi Med. 2011 Mar-Apr;31(2):145-51.)
※多嚢胞性卵巣症候群(PCOS)は別の病態です。
プロラクチン産生下垂体腺腫(高プロラクチン血性下垂体腺腫、プロラクチノーマ)でも、未熟な卵胞による卵巣嚢腫が多発[多嚢胞性卵巣(PCO)、多嚢胞性卵巣症候群(PCOS)とは異なる]します。頻繁に卵巣嚢腫が再発する場合、プロラクチン産生下垂体腺腫(高プロラクチン血性下垂体腺腫、プロラクチノーマ)を疑わねばなりません。
プロラクチン産生下垂体腺腫(高プロラクチン血性下垂体腺腫、プロラクチノーマ)でなくても、下垂体過形成に至る重度の原発性甲状腺機能低下症では、TSH(甲状腺刺激ホルモン)のゴナドトロピン様作用で卵巣嚢腫を来します[Cureus. 2021 Feb 26;13(2):e13573.]。(下垂体過形成の症状)
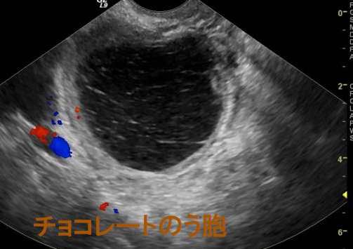
チョコレートのう胞(卵巣子宮内膜症、ovarian chocolate cyst)は、子宮内膜が本来存在しないはずの卵巣に発生する子宮内膜症の一種です。 20~30代前半に好発し、生理周期に合わせて子宮内膜が剥離し出血をおこします。それが卵巣内にチョコレートの様な状態で蓄積し、チョコレートのう胞(チョコレート嚢胞)を形成します。
チョコレートのう胞(卵巣子宮内膜症)の症状は、
- 月経(生理)時の下腹部痛・腰痛(生理痛)
周囲に癒着を起こし、月経(生理)時以外にも下腹部痛 - 不妊症の原因に
- 破裂して急性腹症
- 卵巣周囲に癒着するため、卵巣茎捻転は起こりにくい
診察では、下腹部に圧痛のある腫瘤を、Douglas 窩(ダグラス窩)に有痛性の硬結を触れます。
骨盤部単純MRI 画像では、背側が低信号になる(shading)。
甲状腺乳頭癌の術後にDWIBS:ドゥイブス を行った際、偶然発見されたチョコレートのう胞(卵巣子宮内膜症)、
チョコレートのう胞(卵巣子宮内膜症)は、0.7-1.6%が子宮内膜症関連卵巣癌(EAOC)に悪性転換します(Reproduction. 2004 Mar; 127(3):293-304.)。組織型は明細胞癌、類内膜癌など。チョコレートのう胞(卵巣子宮内膜症)の既往がある女性において、衣服がきつくなるなど腹部膨満感・下腹部膨隆の自覚症状がおこり、下腹部に可動性のない腫瘤を触れた場合、子宮内膜症関連卵巣癌(EAOC)が疑われます。
子宮内膜症関連卵巣癌(EAOC)の危険因子は、過剰なエストロゲン刺激に関連する
- 頻回の妊娠
- 肥満
- 不規則な膣出血
- 甲状腺疾患
- 子宮筋腫
などです。(Prz Menopauzalny. 2018 Mar;17(1):43-48.)
CA19-9、CA125 高値(腹膜炎、甲状腺機能低下症の粘液水腫性腹水でも上昇)。
月経痛(生理痛)の強さ、今後の妊娠希望を考慮して、治療法を選択。腹腔鏡下手術が第一選択だが、
- 腹腔鏡下嚢胞摘出術;チョコレートのう胞(チョコレート嚢胞)のみ摘出。術後の妊娠は可能だが、5年で40~50%が再発。子宮内膜症関連卵巣癌(EAOC)の危険は残る。
- 腹腔鏡下子宮付属器(卵巣・卵管)摘出術;卵巣・卵管ごと摘出。妊娠できなくなるが、子宮内膜症関連卵巣癌(EAOC)に転化する危険性は消失。
チョコレートのう胞(卵巣子宮内膜症)穿刺吸引では、内膜症組織をそのまま残すので、何の解決にもならない(通常行わない)。
甲状腺関連の上記以外の検査・治療 長崎甲状腺クリニック(大阪)
- 甲状腺編
- 甲状腺編 part2
- 内分泌代謝(副甲状腺/副腎/下垂体/妊娠・不妊等
も御覧ください
長崎甲状腺クリニック(大阪)とは
長崎甲状腺クリニック(大阪)は日本甲状腺学会認定 甲状腺専門医[橋本病,バセドウ病,甲状腺超音波(エコー)検査など]による甲状腺専門クリニック。大阪府大阪市東住吉区にあります。平野区,住吉区,阿倍野区,住之江区,松原市,堺市,羽曳野市,八尾市,天王寺区,東大阪市,生野区,浪速区も近く。







