亜急性甲状腺炎の検査・診断・鑑別診断[橋本病 バセドウ病 甲状腺超音波 エコー 検査 長崎甲状腺クリニック 大阪]
亜急性甲状腺炎の診療停止について
日本での新型コロナウイルス感染が完全に終息するまで亜急性甲状腺炎の診療は停止(ステロイド投与中のコロナ感染は重症化するため)。
亜急性甲状腺炎のステロイド治療は、新型コロナウイルス感染にすぐ対処できるよう、コロナ病床のある病院で行った方が良いと思います。
甲状腺の基礎知識を初心者でもわかるように、長崎甲状腺クリニック(大阪府大阪市東住吉区)院長が解説します。
その他、甲状腺の基本的な事は甲状腺の基本(初心者用) 橋本病の基本(初心者用)を、高度で専門的な知見は甲状腺編 甲状腺編 part2 を御覧ください。
長崎甲状腺クリニック(大阪)以外の写真・図表はPubMed等で学術目的にて使用可能なもの、public health目的で官公庁・非営利団体等が公表したものを一部改変しています。引用元に感謝いたします。尚、本ページは長崎甲状腺クリニック(大阪)の経費で非営利的に運営されており、広告収入は一切得ておりません。
Summary
亜急性甲状腺炎の検査・診断は①炎症反応:白血球(WBC)・CRP上昇②甲状腺超音波(エコー)検査で痛み・圧痛がある所と炎症の強い部分(エコー輝度が低く黒色、癌より癌らしい硬さでエラストグラフィーは青色)が一致③診断が付かない場合、炎症の強い部分に甲状腺穿刺細胞診を行い、多核巨細胞/類上皮細胞/好中球浸潤を確認(検出できない事が多い)④最終手段は組織生検(コア生検)。甲状腺未分化癌、甲状腺悪性リンパ腫、甲状腺乳頭癌、のう胞内出血(嚢胞内出血)、急性化膿性甲状腺炎、橋本病急性増悪、IgG4関連甲状腺炎・リーデル甲状腺炎などと鑑別診断が必要。
Keywords
亜急性甲状腺炎,検査,診断,超音波,エコー,エラストグラフィー,穿刺細胞診,多核巨細胞,組織生検,鑑別診断
亜急性甲状腺炎の検査・診断は
- 炎症反応;白血球(WBC)・CRPの上昇。軽度な場合が多いが、例外もある[Indian J Endocrinol Metab. 2022 Jul-Aug;26(4):328-333.]
高度の炎症;(例)WBC11800μL (好中球81.1%), CRP 12.0 mg/dL (急性化膿性甲状腺炎と甲状腺膿瘍のよう)(第54回 日本甲状腺学会 P097 核の左方移動を伴う白血球増加がみられた亜急性甲状腺炎の1例)
- 甲状腺超音波(エコー)検査で亜急性甲状腺炎に特徴的な所見;痛みがある・あるいはあった炎症の強い部分に一致して、エコー輝度が低く、黒色に見えます。同部は
①急性期には血流が乏しく、ドプラーモードで無血流になります(回復期には血流増加)
②硬く(癌より癌らしい硬さ)、エラストグラフィーで青く見えます。)
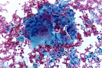
- どうしても診断が付かない場合、炎症の強い部分に甲状腺穿刺細胞診を行い、免疫細胞の多核巨細胞(中等度出現)/類上皮細胞(多数出現)と、好中球(急性炎症の白血球)の浸潤を証明。次項の組織生検(コア生検)で分かるように、多核巨細胞/類上皮細胞は、それ程、数が多くないので、(筆者の経験では)穿刺細胞診をしても検出できない事が多いです。
また、多核巨細胞は結節性橋本病(橋本病結節)や甲状腺乳頭癌でも見つかります。
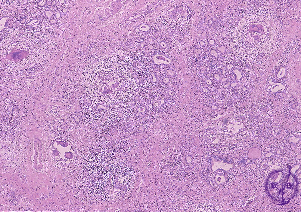
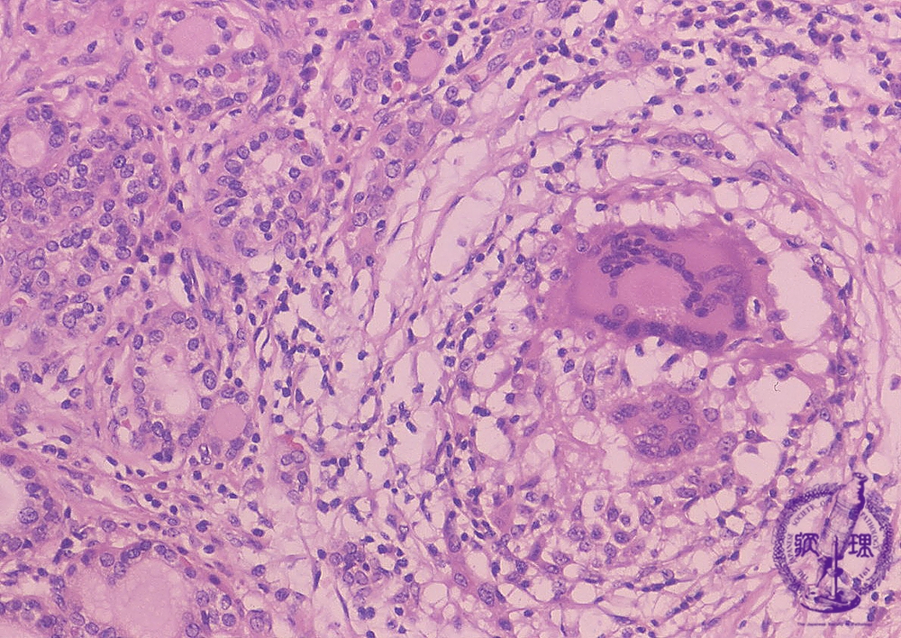
- 最終手段は組織生検(コア生検)。
甲状腺穿刺細胞診でも亜急性甲状腺炎の診断が付かない場合、あるいは癌性リンパ管炎を否定できない場合、組織生検(コア生検)になります。写真は、病理コア画像[日本病理学会(Japanese Society of Pathology) 教育委員会編集]より引用したものです。
- 甲状腺未分化癌
- 甲状腺悪性リンパ腫[Int J Surg Case Rep. 2023 May;106:108147.]
- 甲状腺乳頭癌;被膜浸潤・腫瘍内出血・急速な増大で痛みが生じる。CRPなど炎症反応陽性になる。甲状腺乳頭癌周囲の炎症巣を穿刺細胞診しても癌細胞は出ない。甲状腺乳頭癌本体の穿刺細胞診で多核巨細胞を認めることがある。
- のう胞内出血(嚢胞内出血);甲状腺エコーで一目瞭然
- 急性化膿性甲状腺炎:亜急性甲状腺炎と同じような症状甲状腺エコー/CTで判別、穿刺細胞診で膿を証明。
皮膚に発赤がある点、甲状腺周囲に膿を認める点が異なります。亜急性甲状腺炎よりも炎症所見(WBC, 好中球, CRP)が高度のことが多い。(炎症の強い亜急性甲状腺炎もある)
甲状腺エコーを行わず、亜急性甲状腺炎と高をくくり、ステロイド剤を投与してしまうと、急性化膿性甲状腺炎が悪化します。(第58回 日本甲状腺学会 P1-8-3 亜急性甲状腺炎の診断でステロイド投与がなされた急性化膿性甲状腺炎の一例)
- 癌性リンパ管炎
- 甲状腺結核
- 橋本病急性増悪:亜急性甲状腺炎と同じような症状。甲状腺エコーで簡単に判別
- リーデル甲状腺炎
- 頸静脈血栓性静脈炎(内頸静脈血栓症):甲状腺エコーで簡単に判別
亜急性甲状腺炎のリンパ節腫大を悪性リンパ腫と間違えない
亜急性甲状腺炎の頚部リンパ節腫大が悪性リンパ腫の様に見える場合があります。甲状腺内の低エコー領域も甲状腺悪性リンパ腫との鑑別が必要なので、益々紛らわしくなります。
甲状腺関連の上記以外の検査・治療 長崎甲状腺クリニック(大阪)
長崎甲状腺クリニック(大阪)とは
長崎甲状腺クリニック(大阪)は日本甲状腺学会認定 甲状腺専門医[橋本病,バセドウ病,甲状腺超音波(エコー)検査など]による甲状腺専門クリニック。大阪府大阪市東住吉区にあります。平野区,住吉区,阿倍野区,住之江区,松原市,堺市,羽曳野市,八尾市,天王寺区,東大阪市,天王寺区,浪速区,生野区も近く。

















