大動脈炎症候群(高安動脈炎、脈なし病)、G-CSF(顆粒球コロニー形成刺激因子)製剤による薬剤誘発性大動脈炎と甲状腺[長崎甲状腺クリニック 大阪]
甲状腺:専門の検査/治療/知見① 橋本病 バセドウ病 甲状腺エコー 長崎甲状腺クリニック大阪
甲状腺専門の長崎甲状腺クリニック(大阪府大阪市東住吉区)院長が海外(Pub Med)・国内論文に眼を通して得た知見、院長自身が大阪市立大学(現、大阪公立大学) 代謝内分泌内科で得た知識・経験・行った研究、日本甲状腺学会で入手した知見です。
長崎甲状腺クリニック(大阪)以外の写真・図表はPubMed等において学術目的で使用可能なもの(Creative Commons License)、public health目的で官公庁・非営利団体等が公表したものを一部改変しています。引用元に感謝いたします。尚、本ページは長崎甲状腺クリニック(大阪)の経費で非営利的に運営されており、広告収入は一切得ておりません。
甲状腺・動脈硬化・内分泌代謝に御用の方は 甲状腺編 動脈硬化編 甲状腺以外のホルモンの病気(副甲状腺/副腎/下垂体/妊娠・不妊など) 糖尿病編 をクリックください。
長崎甲状腺クリニック(大阪)は甲状腺専門クリニックです。大動脈炎症候群(高安動脈炎、脈なし病)の診療を行っておりません。
Summary
大動脈炎症候群(高安動脈炎、脈なし病)は若年女性に多くHLA-B52と相関し、不明熱は亜急性甲状腺炎、急性化膿性甲状腺と鑑別要。頚動脈の炎症は亜急性甲状腺炎と鑑別。大動脈炎症候群患者にFDG PET/CTを行うと17.8%で甲状腺にも集積(7.7%甲状腺乳頭癌、23.1%甲状腺機能異常)。橋本病(慢性甲状腺炎)の合併報告複数あり。亜急性甲状腺炎の合併にHLA-A24とB52が関与する可能性。甲状腺超音波エコー検査の際、偶然、大動脈炎症候群が見つかる事も。抗甲状腺薬による無顆粒球症時のG-CSF(顆粒球コロニー形成刺激因子)製剤で薬剤誘発性大動脈炎。
Keywords
大動脈炎症候群,高安動脈炎,脈なし病,甲状腺,HLA-B52,薬剤誘発性大動脈炎,G-CSF
大動脈炎症候群(高安動脈炎、脈なし病)には特異的な自己抗体がなく、自然寛解を繰り返すため、診断が遅れることがあります。
大動脈炎症候群(高安動脈炎、脈なし病)の症状は、
- 不明熱・全身倦怠感(体がだるい)・食欲不振(亜急性甲状腺炎 急性化膿性甲状腺炎と甲状腺膿瘍 と鑑別)
- 胸痛;
①炎症自体による場合
②冠動脈の炎症による場合→心筋梗塞;大動脈炎症候群(高安動脈炎)の10%に冠動脈病変[Cardiovasc Pathol. 2014 Sep-Oct;23(5):313-6.]
甲状腺機能低下症/橋本病(慢性甲状腺炎)患者で、首へ放散する胸痛が2ヶ月間に渡り徐々に悪化してみつかった大動脈炎症候群の報告(Clin Nucl Med. 2008 May;33(5):377-9.)
- 炎症部位の痛み
- 腕頭動脈・鎖骨下動脈狭窄、閉塞による
①脈なし病、手の冷感、しびれ
②鎖骨下動脈盗血症候群、脳虚血によるめまい・失神
③脳血栓塞栓
- 頚動脈・椎骨動脈に炎症があると、
①脳血流不全によるめまい、失神
②脳血栓塞栓
③頚部痛;亜急性甲状腺炎 との鑑別必要
- 腎血管性高血圧
- 心臓弁膜症;大動脈弁閉鎖不全症(AR)によるうっ血性心不全
- 急性大動脈解離・大動脈瘤、動脈瘤破裂[Cardiovasc Pathol. 2014 Sep-Oct;23(5):313-6.]
- 陰部潰瘍
大動脈炎症候群(高安動脈炎、脈なし病)の画像所見は、
- 非造影CT;肥厚した動脈壁が高吸収
- 造影CT;
肥厚した血管壁では、中心に比べて辺縁部(内膜、外側)が強く造影される(double ring enhancement)
罹病期間が長いと動脈壁の石灰化、内腔の狭窄・拡張、動脈瘤を認める
- FDG-PET;炎症部に集積。
大動脈炎症候群 単純CT (東京レントゲンカンファレンス)
大動脈炎症候群(高安動脈炎、脈なし病)と甲状腺の病気の合併 FDG PET/CT [Eur J Hybrid Imaging. 2019 Jul 26;3(1):12.]
大動脈炎症候群(高安動脈炎)と甲状腺の病気を合併した報告は意外と少ない。
しかしながら、大動脈炎症候群(高安動脈炎)患者にFDG PET/CTを行うと、全体の17.8%で甲状腺に集積を認めた報告があります。甲状腺に集積を認めた内の7.7%が甲状腺乳頭癌、23.1%が甲状腺機能異常。それ以外は、甲状腺良性結節か甲状腺機能正常橋本病と考えられます。 [Eur J Hybrid Imaging. 2019 Jul 26;3(1):12.]
甲状腺疾患との合併報告は、
- 大動脈炎症候群(高安動脈炎)と橋本病(慢性甲状腺炎)の合併[Cardiovasc Pathol. 2014 Sep-Oct;23(5):313-6.]
大動脈炎症候群(高安動脈炎)と橋本病(慢性甲状腺炎)・潰瘍性大腸炎(UC)・シェーグレン症候群の合併[Intest Res. 2017 Apr;15(2):255-259.]
大動脈炎症候群(高安動脈炎)と橋本病(慢性甲状腺炎)・1型糖尿病の合併[Clin Rheumatol. 2005 Apr;24(2):169-71.]
- 大動脈炎症候群(高安動脈炎)と甲状腺機能性結節による甲状腺機能亢進症・クローン病(Crohn 病)の合併[Scand J Gastroenterol. 2003 Aug;38(8):901-3.]
- 大動脈炎症候群(高安動脈炎)と亜急性甲状腺炎の合併にHLA A24 と B52が関与する可能性があります。 [Intern Med. 2011;50(2):151-4.]
- 甲状腺刺激ブロック抗体(TSBAb)高値の萎縮性甲状腺炎と大動脈炎症候群の合併例に、プレドニゾロン35mgを開始。徐々に投与量を減少させたところ、TSBAbも徐々に減少し3ヶ月後に正常になった報告があります。(J Endocrinol Invest. 1990 May;13(5):415-8.)
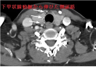
- 甲状腺超音波エコー検査の際に、①下甲状腺動脈から伸びた側副路、②壁肥厚と管腔内血流欠損を伴う狭小化した総頸動脈を認め、偶然、大動脈炎症候群(高安動脈炎)が見つかった。[Ultrasonography. 2014 Jul;33(3):222-5.]
甲状腺機能亢進症/バセドウ病治療薬、抗甲状腺薬(メルカゾール、プロパジール、チウラジール)の最も恐ろしい副作用である無顆粒球症(好中球という白血球が激減し免疫不全におちいる状態)には、G-CSF(顆粒球コロニー形成刺激因子)製剤を投与します。G-CSF製剤の重大副作用に薬剤誘発性大動脈炎(薬剤誘発性大型血管炎)があり、大動脈炎症候群(高安病)と画像上似ているため鑑別を要します。[G-CSF(顆粒球コロニー形成刺激因子)製剤と甲状腺](Mod Rheumatol Case Rep. 2020 Jan;4(1):74-78.)
(薬剤誘発性大型血管炎 造影CT画像 Sci Rep. 2020 Oct 29;10(1):18647.)
甲状腺関連の上記以外の検査・治療 長崎甲状腺クリニック(大阪)
- 甲状腺編
- 甲状腺編 part2
- 内分泌代謝(副甲状腺/副腎/下垂体/妊娠・不妊等
も御覧ください
長崎甲状腺クリニック(大阪)とは
長崎甲状腺クリニック(大阪)は日本甲状腺学会認定 甲状腺専門医[橋本病,バセドウ病,甲状腺超音波(エコー)検査など]による甲状腺専門クリニック。大阪府大阪市東住吉区にあります。平野区,住吉区,阿倍野区,住之江区,松原市,堺市,羽曳野市,八尾市,生野区,東大阪市,天王寺区,浪速区も近く。














