甲状腺機能低下症、甲状腺機能亢進症・バセドウ病と脳梗塞[日本甲状腺学会認定 甲状腺専門医 橋本病 バセドウ病 長崎甲状腺クリニック 大阪]
動脈硬化:専門の検査/治療/知見[橋本病 バセドウ病 エコー 長崎甲状腺クリニック大阪]
甲状腺専門・動脈硬化の長崎甲状腺クリニック(大阪府大阪市東住吉区)院長が海外・国内論文に眼を通して得た知見、院長自身が大阪市立大学附属病院(現、大阪公立大学附属病院) 代謝内分泌内科(内骨リ科)で得た知識・経験・行った研究、日本甲状腺学会で入手した知見です。
長崎甲状腺クリニック(大阪)以外の写真・図表はPubMed等において学術目的で使用可能なもの(Creative Commons License)、public health目的で官公庁・非営利団体等が公表したものを一部改変しています。引用元に感謝いたします。尚、本ページは長崎甲状腺クリニック(大阪)の経費で非営利的に運営されており、広告収入は一切得ておりません。
甲状腺・動脈硬化・内分泌代謝・糖尿病に御用の方は 甲状腺編 動脈硬化編 甲状腺以外のホルモンの病気(副甲状腺/副腎/下垂体/妊娠・不妊など) 糖尿病編 をクリックください。
本ページは、甲状腺機能低下症、甲状腺機能亢進症/バセドウ病と脳梗塞です。甲状腺で心原性脳塞栓は別ページです。
長崎甲状腺クリニック(大阪)は甲状腺専門クリニックです。脳梗塞の診療を行っておりません。
厚生労働省の「人口100人でみた日本」(令和4年度版)によると、脳血管疾患の人は0.9人(0.9%)です。
Summary
甲状腺機能低下症/橋本病は動脈硬化が進行するが、低代謝状態は脳梗塞による神経細胞のダメージを低減する方向に作用する。潜在性甲状腺機能低下症が大脳白質病変、大脳微小出血など微小血管障害に関与するとの報告あり。甲状腺機能亢進症/バセドウ病は血管内皮障害(VWF)、心房細動(Af)、類もやもや病(ウィリス動脈輪閉塞症)、大動脈炎症候群・抗リン脂質抗体症候群・中枢神経ループス合併、可逆的頸部内頸動脈狭窄で一過性脳虚血発作(TIA)、内頚動脈閉塞・狭窄、総頚動脈狭窄、脳梗塞・脳塞栓に。一方、もやもや病では甲状腺自己免疫抗体の陽性率が高い。
Keywords
甲状腺機能低下症,甲状腺,橋本病,動脈硬化,ウィリス動脈輪閉塞症,脳梗塞,血管内皮障害,バセドウ病,類もやもや病,甲状腺機能亢進症
甲状腺機能低下症/潜在性甲状腺機能低下症/橋本病では動脈硬化が進行し、狭心症/心筋梗塞の発症率が上がります。甲状腺ホルモン剤[レボチロキシン(チラーヂンS)]で治療すれば、血管年齢など動脈硬化が改善することを、私、長崎俊樹が医学界で初めて証明しました(甲状腺と動脈硬化 )。
しかし、甲状腺機能低下症における動脈硬化の進行が、脳梗塞の発症に直接関与する証拠はありません。むしろ、低代謝状態のため、脳虚血後の再灌流時に発生する活性酸素が抑えられるとされます(Exp Neurol. 2006 Aug;200(2):290-300.)。即ち、甲状腺機能低下症は、脳梗塞による神経細胞のダメージを低減する方向に作用します。
一方、「動脈硬化性疾患予防ガイドライン2022」において、アテローム血栓性脳梗塞およびアテローム硬化を合併する脳梗塞は、冠動脈疾患と同じく二次予防目的で、LDL-コレステロール 100 mg/dL 未満にするよう推奨されています。
潜在性甲状腺機能低下症が脳血管障害の危険因子なのか不明です。
潜在性甲状腺機能低下症が大脳白質病変、大脳微小出血など微小血管障害に関与するとの報告があります(Clin Endocrinol (Oxf). 2017 Nov;87(5):581-586.)。一方で、潜在性甲状腺機能低下症は、交感神経の活性を低下させ、細胞の代謝を下げるため、脳梗塞の重症度を下げ、死亡率を減らすとの報告もあります(Neurology. 2011 Jul 26;77(4):349-54.)。
甲状腺機能亢進症/バセドウ病では、若くても脳梗塞を発症する事があります。その原因として、
- 血管内皮障害;循環血液量増大、高拍出量、収縮期血圧上昇、脈圧増大→血管内皮障害因子(VWF)が上昇
- 心房細動(Af);最も有名な不整脈、甲状腺機能亢進症/バセドウ病の約4%で起きるとされます。左房血栓が形成され、脳へ飛びます。
- は甲状腺機能亢進症/バセドウ病と深い関連
- 抗リン脂質抗体症候群
- 類もやもや病(ウィリス動脈輪閉塞症)
- 可逆的頸部内頸動脈狭窄
- 大動脈炎症候群
- 中枢神経ループス
などが考えられます。
若い方で、甲状腺機能亢進症/バセドウ病を甘く考え、抗甲状腺薬(メルカゾール、プロパジール、チウラジール)の自己中断を繰り返す方がおられますが、脳梗塞になってからでは遅いよ。
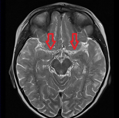
内頚動脈閉塞・狭窄、総頚動脈狭窄
甲状腺機能亢進症/バセドウ病で、内頚動脈閉塞・狭窄、総頚動脈狭窄を来す事があります。
下記の類もやもや病の異常血管網が発達する前の初期段階であろうと筆者は考えています。
写真は、長崎甲状腺クリニック(大阪)の自験例で、内頚動脈閉塞・狭窄、総頚動脈狭窄を認めます。
他の報告では、一過性脳虚血発作(TIA)を起こしています(BMC Neurol. 2019 Mar 2;19(1):34.)が、長崎甲状腺クリニック(大阪)の自験例では、脳神経症状は皆無でした(こんな不思議なことがあるんですね)。
特に原因のはっきりしない「もやもや病(ウィリス動脈輪閉塞症)」は、内頸動脈末端と前中大脳動脈部が狭窄・ 閉塞し、基底角部の異常血管網(もやもや血管)が発達する謎の病気です。
- 10万人あたり3人程度とまれ
- 男女比1:1.8で女性に多い(甲状腺の病気と同じ)
- 小児・若年者にも生じる(甲状腺機能亢進症/バセドウ病と共通)
- 東アジアに多い
- 10〜12%で遺伝性があり、家族内発症
もやもや病の症状は、
- 小児期においては側副路が未発達のため虚血型;脳の酸素欠乏による一過性脳虚血発作(TIA)。啼泣・過換気症候群などの過呼吸、吹奏楽部でホルンやフルートを吹いた・音楽の授業で笛やハーモニカを吹いた場合、大声で歌った時、熱い麺に息を掛けて冷ます時などに発作が誘発されます。。血中の二酸化炭素濃度が下がり、呼吸性アルカローシスから血中遊離カルシウムが低下して脳動脈が収縮・攣縮するため。
- 成人では増殖した もやもや血管の破綻による出血型が多い。
具体的には、
- 頭痛
- 意識障害・失神
- 脱力発作・手足の麻痺
- 言語障害(言葉が話せなくなる、ろれつが回らなくなる)
- 感覚異常
- 不随意運動
- 全身間代性痙攣(けいれん)
- 脳梗塞
- 脳出血、くも膜下出血、脳室内出血と急性水頭症
などです。
甲状腺機能亢進症/バセドウ病など基礎疾患がある場合、「類もやもや病」と言われ、甲状腺治療開始後に脳虚血症状も改善する報告が多くあります。状況によっては(改善が見込めない場合)、甲状腺機能改善後に脳神経外科で脳血行再建術を行う事になります。
甲状腺機能亢進症/バセドウ病に合併する類もやもや病の原因は不明です。可能性として、
- 甲状腺ホルモンによる交感神経亢進状態で血管収縮(Gen Pharmacol. 2000 Jun;34(6):429-34.)
- 循環血液量増大・心拍出量増大・頻脈による血管内皮障害(Biomed Pharmacother. 2002 Jul;56(5):241-6.)(Sci Rep. 2020 Apr 24;10(1):6992.)
- 共通の自己免疫 (Stroke. 2011 Apr;42(4):1138-9.)(Stroke. 2010 Jan;41(1):173-6.)
- 遺伝性;
①母娘で甲状腺機能亢進症/バセドウ病と類もやもや病を認めた家系あり(Neurol Med Chir (Tokyo).2010;50(8):668-74.)
②娘は甲状腺機能亢進症/バセドウ病と類もやもや病、母親はもやもや病に橋本病が合併(脳卒中 34: 82–88, 2012)
などが考えられます。
甲状腺機能亢進症/バセドウ病に心房細動(Af)と類もやもや病を合併する場合
心房細動(Af)も脳塞栓の危険因子で、抗凝固療法の適応になります[甲状腺機能亢進症/バセドウ病の心房細動(Af)]。甲状腺機能亢進症/バセドウ病に心房細動(Af)と類もやもや病を合併する場合、抗凝固療法を行うべきか否か難しい所です。脳梗塞の予防には、抗凝固療法をすべきですが、類もやもや病の脆い異常血管網は出血性梗塞・くも膜下出血の危険があります。答えは存在しません。(ただ、もし使用するならワーファリン(ワルファリン)でなく、直接作用型経口抗凝固薬(DOAC)]の方が良いと思います)
筆者なら、まず、心房細動(Af)を軽減・解除するため、βブロッカー使用しながら、できるだけ早急に甲状腺機能正常化させるよう努めます。それでも除細動できなければ、カテーテルアブレーションも含め循環器内科に相談します。もちろん、その間、脳神経外科にも相談します。
もやもや病(ウィリス動脈輪閉塞症)では甲状腺自己免疫抗体の陽性率が高いとされ、共通の自己免疫が考えられます。
もやもや病(ウィリス動脈輪閉塞症)の約50%で甲状腺自己抗体[抗甲状腺ペルオキシダーゼ抗体(TPO抗体)、抗サイログロブリン抗体(Tg抗体)、TBII(第一世代のバセドウ病抗体)]が認められる(対照群20.0%)(Stroke. 2010 Jan;41(1):173-6.)
もやもや病(ウィリス動脈輪閉塞症)の甲状腺機能亢進症、潜在性甲状腺機能亢進症、潜在性甲状腺機能低下症患者の比率、および抗甲状腺ペルオキシダーゼ抗体(TPO抗体)・抗サイログロブリン抗体(Tg抗体)の陽性率は、健常対照群より有意に高い(Stroke. 2011 Apr;42(4):1138-9.)。
甲状腺機能亢進症/バセドウ病に合併する可逆的頸部内頸動脈狭窄は、類もやもや病と同じく
- 大部分は女性
- 若年発症
- 原因として
①交感神経亢進状態で血管収縮(Gen Pharmacol. 2000 Jun;34(6):429-34.)②循環血液量増大・心拍出量増大・頻脈による血管内皮障害(Biomed Pharmacother. 2002 Jul;56(5):241-6.)(Sci Rep. 2020 Apr 24;10(1):6992.)③共通の自己免疫(Stroke. 2011 Apr;42(4):1138-9.)④遺伝性(Neurol Med Chir (Tokyo).2010;50(8):668-74.)(Jpn J Stroke 34: 82–88, 2012)
(A case of reversible stenosis in the cervical internal carotid artery causing cerebral infarction associated with Basedow disease. Jpn J Stroke 36: 51–53, 2014)
脳動脈解離は、もやもや病同様、若い世代におきる脳卒中の10~25%を占め、甲状腺疾患の年齢層に重なります。外傷性・非外傷性(Marfan症候群、Ehlers-Danlos症候群、高ホモシステイン血症など)に分かれます。
甲状腺機能亢進症/バセドウ病に伴った両側の頸動脈解離はアセチルサリチル酸で保存的に管理され、脳神経症状は完全に回復したそうです(Thyrotoxicosis and bilateral internal carotid artery dissections. Am J Emerg Med. 2021 Jan;39:251.e1-251.e3.)。
急性虚血性脳卒中(AIS)に対して、組織プラスミノーゲンアクチベーター(recombinant tissue plasminogen activator:rt-PA :アルテプラーゼ)による血栓溶解療法を行った後、
- 急激な甲状腺びまん性腫脹(急性反応、急性一過性甲状腺腫大));rt-PAはプラスミンを生成し、高分子キニノーゲンからブラジキニンを遊離させ、血管透過性が亢進するため。数時間後に回復。[Medicine (Baltimore). 2018 Sep;97(36):e12149.]
- 甲状腺内出血
急性呼吸不全を発症し気管内挿管。甲状腺腫瘤と甲状腺出血による気管圧排が原因で、後日甲状腺全摘術[Neurocrit Care. 2013 Dec;19(3):381-4.]
急性心筋梗塞での使用で発症[J Cardiovasc Med (Hagerstown). 2008 Sep;9(9):935-6.]
がおきる場合があります。
甲状腺関連の上記以外の検査・治療 長崎甲状腺クリニック(大阪)
長崎甲状腺クリニック(大阪)
長崎甲状腺クリニック(大阪)は日本甲状腺学会認定 甲状腺専門医[橋本病,バセドウ病,甲状腺超音波(エコー)検査など]による甲状腺専門クリニック。大阪府大阪市東住吉区にあります。平野区,住吉区,阿倍野区,住之江区,松原市,堺市,羽曳野市,八尾市,東大阪市,生野区,天王寺区,浪速区も近く。












