甲状腺と歯科治療・抜歯,虫歯(う歯・齲歯),歯周病,インプラント,人工歯,歯科金属アレルギー[橋本病 バセドウ病 長崎甲状腺クリニック 大阪]
甲状腺:専門の検査/治療/知見② 橋本病 バセドウ病 甲状腺エコー 長崎甲状腺クリニック大阪
甲状腺専門の長崎甲状腺クリニック(大阪府大阪市東住吉区)院長が海外(Pub Med)・国内論文に眼を通して得た知見、院長自身が大阪市立大学 代謝内分泌内科で得た知識・経験・行った研究、日本甲状腺学会で入手した知見です。
長崎甲状腺クリニック(大阪)以外の写真・図表はPubMed等において学術目的で使用可能なもの(Creative Commons License)、public health目的で官公庁・非営利団体等が公表したものを一部改変しています。引用元に感謝いたします。尚、本ページは長崎甲状腺クリニック(大阪)の経費で非営利的に運営されており、広告収入は一切得ておりません。
甲状腺・動脈硬化・内分泌代謝・糖尿病に御用の方は 甲状腺編 動脈硬化編 内分泌代謝(副甲状腺/副腎/下垂体/妊娠・不妊等 糖尿病編 をクリックください。
甲状腺編 では収録しきれない専門の検査/治療です。
毎年6月4日~6月10日までの1週間は、「歯と口の健康週間」です。予防歯科やフッ素の普及によって、小学生の齲歯(むし歯)の割合は32.89%(令和6年度)と、10年前の半分強にまで減少しました。
Summary
甲状腺機能正常なら歯科治療・抜歯可。甲状腺ホルモンが正常でない甲状腺機能亢進症/バセドウ病に抜歯・インプラント手術行うと甲状腺クリーゼの危険。①プロカイン局所麻酔(ロカイン注®)②キシロカイン注射液®などエピネフリン(アドレナリン)含有局所麻酔は甲状腺機能亢進症に原則禁忌。甲状腺ホルモンが正常でない甲状腺機能低下症/橋本病では①全身麻酔効き過ぎ②免疫不全で歯周病菌・口腔内細菌による急性化膿性甲状腺炎③歯科材料アレルギーリスク3倍。橋本病患者では唾液腺機能障害による口腔内乾燥で虫歯(う歯・齲歯)。虫歯があると全身麻酔ができず甲状腺手術も延期。
Keywords
甲状腺,歯科,抜歯,甲状腺機能亢進症,バセドウ病,インプラント,甲状腺機能低下症,橋本病,歯周病,虫歯
- 甲状腺機能亢進症/バセドウ病と歯科治療・抜歯
- 甲状腺機能低下症と歯科治療・抜歯
- 橋本病(慢性甲状腺炎)では虫歯(う歯・齲歯)が多い
- 虫歯(う歯・齲歯)で甲状腺手術が不可能に
- 甲状腺と歯周病
- 歯肉アメーバと口腔トリコモナスは歯周病患者で多い
- 人工歯の気管支異物
- 人工歯のトラブル
- 銀歯で歯科金属アレルギー
- 歯科X線と甲状腺癌・髄膜腫
以下、甲状腺と顎関節症,甲状腺濾胞癌の下顎骨転移,下顎骨折,褐色腫瘍(ブラウン腫瘍,Brown腫瘍)
甲状腺機能低下症/橋本病であれ、甲状腺機能亢進症/バセドウ病であれ、甲状腺機能が正常にコンントロールされていれば(FT3 and/or FT4、TSHが正常範囲に収まっている)、歯科治療・抜歯を受けて大丈夫です。
※甲状腺以外の病気については分かりません。
※キシロカインアレルギーなどアレルギー反応については分かりません。
未治療(見つかっていない)、治療途中、服薬自己中断など甲状腺ホルモンが正常でない甲状腺機能亢進症/バセドウ病患者に抜歯・インプラント手術など高侵襲の手術ストレスが加わると、全身の臓器が過剰な甲状腺ホルモンと炎症に耐えられなくなり、生命に危険が及ぶ可能性があります。このような状態は甲状腺クリーゼと呼ばれ致死率が十数%です。[J Dent Anesth Pain Med. 2016 Jun 30;16(2):147–150.]
同じく、甲状腺ホルモンが正常でない甲状腺機能亢進症/バセドウ病患者に対して、甲状腺ホルモンと同じ交感神経刺激作用を持つエピネフリン(アドレナリン)局所麻酔を行えば、甲状腺機能亢進症/バセドウ病が悪化する可能性があります。[J Can Dent Assoc. 2002 Oct;68(9):546-51.]
治療により甲状腺ホルモンが正常化し、安定している甲状腺機能亢進症/バセドウ病では、抜歯・インプラント手術、エピネフリン局所麻酔も問題ない場合がほとんどです。甲状腺機能亢進症/バセドウ病さえ安定していれば、心房細動(Af)を合併していても、エピネフリン(アドレナリン)局所麻酔程度なら循環動態にほとんど影響しません(しかし、添付文書では禁忌になっているため、使用できない)。
以上から、局所麻酔剤リドカイン塩酸塩・アドレナリン注射剤(キシロカイン注射液®)などエピネフリン(アドレナリン)含有局所麻酔薬は原則禁忌です。、
プロカイン局所麻酔(ロカイン注®)は、エピネフリン(アドレナリン)を含んでいなくても、甲状腺機能亢進症に原則禁忌です。血管収縮による高血圧・頻脈・不整脈を増悪させるのが理由。代用品としてエピネフリン(アドレナリン)を含まないプロピトカイン(プリロカイン)、メピバカインがあるなら、そちらを使った方が良い。
※プロピトカイン(プリロカイン);アミド型局麻薬の中で最も毒性低いが、長期・大量投与で肝・尿路上皮の発癌やメトヘモグロビン血症の危険
顎の手術など全身麻酔が必要な手術では、甲状腺ホルモンが麻酔薬の代謝分解に関与します(甲状腺機能低下症で麻酔効き過ぎ)。
甲状腺機能低下症が見逃されたり、甲状腺機能低下症と診断されても患者自身が治療を放棄、あるいは甲状腺ホルモン剤(チラーヂンS)補充を開始して間がなく、血中甲状腺ホルモン濃度が正常範囲に到達していない状態では、麻酔薬が効き過ぎます。[J Ir Dent Assoc. 2015 Dec;61(6):302-8.]
甲状腺機能低下症では免疫不全の状態にあるため(甲状腺機能低下症と免疫力低下)、甲状腺ホルモンが正常でない時に抜歯・歯科治療行うと、歯周病菌・口腔内細菌が傷口から血液中に入り⇒急性化膿性甲状腺炎・全身膿瘍・感染性心内膜炎に至る危険があります。(糖尿病と歯周病⇒急性化膿性甲状腺炎・全身膿瘍・感染性心内膜炎 )
なた、本来、アレルギー反応は、橋本病よりもバセドウ病と関連が強いはずですが、甲状腺機能低下症では歯科材料に対するアレルギー(ニッケルアレルギー・パラジウムアレルギー・コバルトアレルギー)のリスクが3倍に増加するとの報告があります。[Dent J (Basel). 2020 Aug 3;8(3):83.]
橋本病(慢性甲状腺炎)患者では、唾液腺の機能障害による口腔内乾燥[潜在性シェーグレン症候群(隠れシェーグレン症候群)]が原因となり、虫歯(う歯・齲歯)の発生率が高いされます。甲状腺刺激ホルモン(TSH)値との相関は認められません。[F1000Res. 2023 Jul 14;12:833.]
橋本病(慢性甲状腺炎)患者の虫歯(う歯・齲歯)を治療すると、唾液中のサイトカイン(TNF-α、IL-6、IL-8)値とCRP値が低下し、炎症反応が改善します。[Niger J Clin Pract. 2024 Jan 1;27(1):8-15.]
虫歯(う歯・齲歯)があると、全身麻酔手術ができなくなります。バセドウ病の甲状腺全摘出手術も甲状腺頭癌切除手術も延期になります。無理に行えば、虫歯(う歯・齲歯)の原因菌による術中・術後の菌血症・敗血症、人工呼吸器関連肺炎(原因菌ごと唾液を誤嚥)、術創感染が起きる危険があります。
また、虫歯(う歯・齲歯)の炎症や痛みによって麻酔が効きにくくなります。
歯科治療を済ませた後で仕切り直しとなります。
歯周病の歯周ポケットから歯周病菌が血行性に播種し急性化膿性甲状腺炎に。
歯茎が腫れたり、歯磨きで出血したり、口臭がきつくなったら歯周病かもしれません。
歯周病は歯周病菌による感染症です。深い歯周ポケットは慢性炎症巣となって、炎症性サイトカインを放出し続けたり、歯周病菌が血行性に播種したりします。そして、急性化膿性甲状腺炎・全身膿瘍・感染性心内膜炎(糖尿病と歯周病⇒急性化膿性甲状腺炎・全身膿瘍・感染性心内膜炎 )に至ります。また、歯周病菌の混じった唾液は、誤嚥性肺炎の原因になります。
歯周病の治療は、歯に付着しているプラーク(歯垢)と歯石(プラークにカルシウムが付着して石灰化したもの)の除去です。プラーク(歯垢)は歯ブラシで除去できますが、歯石は歯科医院でしか取れません。
甲状腺疾患と歯周病は関連があり、
- 甲状腺がんを含む甲状腺疾患の患者では、歯周病の有病率が高い[Int J Environ Res Public Health. 2024 Jun 30;21(7):860.]
- 歯周病は甲状腺機能低下症のリスクファクター[J Periodontal Res. 2024 Jun;59(3):491-499.]
- 甲状腺機能低下症は歯周病の進行に関与[J Int Acad Periodontol. 2011 Oct;13(3):80-5.]
その原因として、遺伝的要因、口腔細菌叢、炎症性サイトカインが考えられます[Int J Environ Res Public Health. 2024 Jun 30;21(7):860.]。
歯肉アメーバのEntamoeba gingivalis と口腔トリコモナス Trichomonas tenax は口腔衛生状態の悪い患者、歯周病患者に見られる口腔原虫(寄生虫)です。健康な歯肉ではめったに見られません。高血圧、喫煙、心臓病、糖尿病患者は、これら寄生虫の陽性率が高いけれども、甲状腺疾患患者では低いとされます。[Arch Razi Inst. 2022 Feb 28;77(1):87-93.]
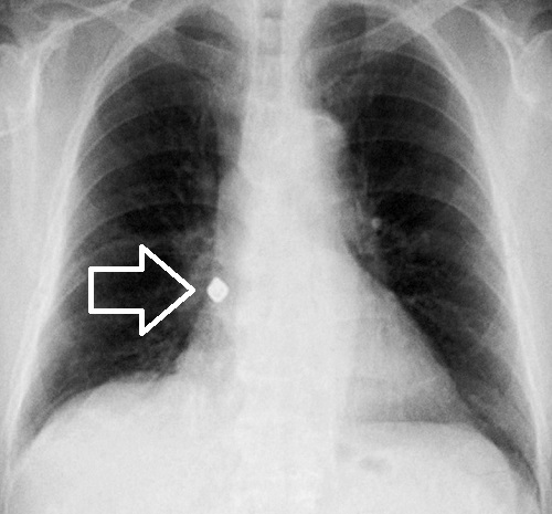
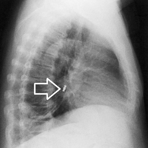
特に高齢者などで、食べている最中に差し歯、義歯、歯のかぶせ(歯冠)を知らずに飲み込んでしまい(誤嚥)、むせたり、咳き込むことがあります。人工歯が外れたのに気付かず、喉(のど)に引っ掛かる感じがするので、甲状腺の病気と勘違いする人もいます。しかし、人工歯は気管支まで落ちて、気管支異物になっています。
子供などでは、未発達な歯が体育の授業中に折れたり、抜けたりして気管支異物にる可能性があります。小学生の歯の外傷は水泳、体操、鉄棒の最中に起こりやすい。
気道異物は、
- 乳幼児と高齢者に多い
- 分岐角の小さい右側に多い
- Holzknecht sign ;縦隔が吸気時に患側へ、呼気時に健側へ偏位
「令和3年版厚生労働白書」によると、自分の歯を20本以上もつ者の年齢階級別割合は、85歳以上の高齢者では25.7%(2016年)で、3.0%(1999年)の8倍以上に増えています。日本人のカルシウム摂取量の増加、骨粗しょう症治療薬の進歩、天然甘味料の普及と虫歯の減少などが要因として挙げられます。
保険の範囲内でできる人工歯は、寒天(寒天印象材)を使用しています。ヨウ素(ヨード)過剰摂取と関係ありませんが、時間と共に縮んで、横の歯との間に隙間が生じたりします。
一方、保険適応外のセラミック素材の歯では、齲歯(虫歯)の再発リスクが低くなります。
保険適応内外を問わず、歯のかみ合わせが悪いと、体調不良・頭痛・肩こりの原因となるため、かみ合わせに問題が生じないよう人工歯を調節してもらいましょう。
保険の範囲内で作れる銀歯で金属アレルギーがおきる場合があります(歯科金属アレルギー)。銀歯は銀を主成分とした合金、すなわち銀パラジウム合金です。唾液に触れるとイオン化し、その後、体内のタンパク質と結びついてアレルゲンとなり、金属アレルギーを惹起します。
歯科金属アレルギーは感作に時間を要するため、銀歯を入れて数年後に発症するケースもあります。
(写真、Clin Case Rep. 2018 Aug 28;6(10):1972-1977.より改変)
歯科金属アレルギーの症状は、
- 銀歯周辺の歯肉に炎症(歯肉炎);赤く腫れる
- 口内炎、口唇炎(唇が赤く腫れる)、舌炎(舌の痛み、味覚障害)
- 顔・手足・体に湿疹が出て痒い
- 掌蹠膿疱症(しょうせきのうほうしょう)
歯科金属アレルギーの検査・診断は、皮膚科・アレルギー科で行うパッチテスト。内科で簡単にできる血液検査は偽陰性が多いので当てになりません。
保険適応外になりますが、銀歯をセラミック・レジン・ジルコニアなどメタルフリーの素材に変更すれば、症状改善する可能性があります。ただし、すぐに歯科金属アレルギー症状が改善するとは限らず、数ヵ月-数年の時間がかかります。また、歯科金属アレルギーの原因となる金属に触れれば再発する危険性があります。
水銀アレルギー患者の歯科用アマルガム(歯の詰め物、水銀アマルガム)を除去すれば、橋本病(慢性甲状腺炎)の自己免疫抗体、抗甲状腺ペルオキシダーゼ抗体(TPO抗体)、抗サイログロブリン抗体(Tg抗体)が低下します(無機水銀、ニッケルなどの金属アレルギー)。[Neuro Endocrinol Lett. 2006 Dec;27 Suppl 1:25-30.]
甲状腺関連の上記以外の検査・治療 長崎甲状腺クリニック(大阪)
- 甲状腺編
- 甲状腺編 part2
- 内分泌代謝(副甲状腺/副腎/下垂体/妊娠・不妊等
も御覧ください
長崎甲状腺クリニック(大阪)とは
長崎甲状腺クリニック(大阪)は日本甲状腺学会認定 甲状腺専門医[橋本病,バセドウ病,甲状腺超音波(エコー)検査など]による甲状腺専門クリニック。大阪府大阪市東住吉区にあります。平野区,住吉区,阿倍野区,住之江区,松原市,堺市,羽曳野市,八尾市,天王寺区,東大阪市,生野区,浪速区も近く。











