特殊な甲状腺眼症/バセドウ病眼症/橋本病眼症[日本甲状腺学会認定 甲状腺専門医 橋本病 バセドウ病 甲状腺エコー検査 長崎甲状腺クリニック 大阪]
甲状腺:専門の検査/治療/知見① 橋本病 バセドウ病 甲状腺エコー 長崎甲状腺クリニック大阪
長崎甲状腺クリニック(大阪)では、甲状腺眼症:バセドウ病眼症・橋本病眼症の検査・治療を行っておりません。これらは眼科で行うものです。
甲状腺専門の長崎甲状腺クリニック(大阪府大阪市東住吉区)院長が海外・国内論文に眼を通して得た知見、院長自身が大阪市立大学 代謝内分泌内科で得た知識・経験・行った研究、甲状腺学会で入手した知見です。
長崎甲状腺クリニック(大阪)以外の写真・図表はPubMed等において学術目的で使用可能なもの(Creative Commons License)、public health目的で官公庁・非営利団体等が公表したものを一部改変しています。引用元に感謝いたします。尚、本ページは長崎甲状腺クリニック(大阪)の経費で非営利的に運営されており、広告収入は一切得ておりません。
甲状腺・動脈硬化・内分泌代謝に御用の方は 甲状腺編 動脈硬化編 甲状腺以外のホルモンの病気(副甲状腺/副腎/下垂体/妊娠・不妊など) 糖尿病編 をクリックください。
特殊な甲状腺眼症/バセドウ病眼症/橋本病眼症(本ページ)
特殊な甲状腺眼症/バセドウ病眼症
Summary
片眼甲状腺眼症はステロイド減量によるリバウンドで反対側も誘発。眼症先行型バセドウ病眼症は甲状腺機能正常バセドウ病眼症より活動性高い。甲状腺機能亢進症後に起きる遅延型バセドウ病眼症もある。甲状腺機能低下バセドウ病眼症はTSAb(TSHレセプター抗体[刺激型],甲状腺刺激抗体)とTSBAb(TSHレセプター抗体[阻害型]、甲状腺刺激阻害抗体)の比率変化。甲状腺機能低下症・甲状腺機能正常/橋本病でTg-Ab、TPO-Ab高いと橋本病眼症に(68.2%はTSAb陽性)。妊娠中に甲状腺眼症悪化する原因は不明、メチルプレドニゾロンパルス療法の安全性も不明。
Keywords
片眼甲状腺眼症,眼症先行型バセドウ病眼症,甲状腺機能正常バセドウ病眼症,甲状腺機能亢進症,遅延型バセドウ病眼症,甲状腺機能低下バセドウ病眼症,妊娠,橋本病眼症,TSAb,MRI
片方の眼だけに起きる片側性甲状腺眼症は比較的稀です。
片眼甲状腺眼症を治療する時は要注意です。病眼はステロイドパルス療法によって改善しますが、数カ月後、対側眼に甲状腺眼症が新規発症します。原因は定かでありませんが、ステロイド減量時のリバウンドにより、反対側の甲状腺眼症が誘発される機序と推測されます。(第56回日本甲状腺学会 P2-027 右眼主体の甲状腺眼症に対するステロイドパルス療法後1年以内に左眼甲状腺眼症が増悪した1 例)
また、下記の甲状腺機能正常バセドウ病眼症の片眼甲状腺眼症でも、同様な事が起きた報告もあります。片眼のわずか一眼筋病変だけでも、プレドニン40mgの大量投与(充分過ぎる量)から開始し、1年かけて慎重に5mgまで減量したのに、両眼甲状腺機能正常バセドウ病眼症に進行したそうです。(第53 回日本甲状腺学会 P-119 外眼筋炎と診断されプレドニゾロンが投与されるも増悪したeuthyroid Graves' diseaseの1 例)
筆者の持論ですが、「そもそも片眼甲状腺眼症は両眼バセドウ病眼症に至る途中の段階で、いつか必ず両眼性になる」と考えています。
片側性甲状腺眼症患者では、数年経ってから反対側の甲状腺眼症を発症する場合もあります。報告によると、左片側性甲状腺眼症の44歳女性は、左側眼窩減圧術を受けて7年後、右側にも甲状腺眼症を発症し、再度眼窩減圧術を受けたそうです。[Am J Ophthalmol. 2002 May;133(5):727-9.]
筆者の持論を裏付けるような症例です。
甲状腺ホルモンが正常なのに進行するバセドウ病眼症があります(甲状腺機能正常バセドウ病眼症)。
甲状腺機能正常バセドウ病眼症は、
- 片眼性が多いとされるが、両眼性のことも
- 活動性は低いとされるが、高活動性のことも
- TSAb 弱陽性。TSAbが正常上限値(110%未満が正常なので、100-109%)の事は多いが、強陽性のことも(下記)
- TRAb(通常のバセドウ病抗体)は陰性が多い(下記)
- 甲状腺腫は認めない事が多い
しかし、甲状腺機能正常バセドウ病眼症の40%は、甲状腺に99mTc(テクネシウム)シンチグラフィーの取り込み(集積)があり、甲状腺ホルモンが正常なのにバセドウ病は活動しています
99mTc(テクネシウム)シンチグラフィーの取り込み(集積)がある場合の甲状腺機能正常バセドウ病眼症は軽度でない
[Br J Ophthalmol. 1997 Dec;81(12):1080-3.]
甲状腺機能正常バセドウ病眼症ではTRAbよりTSAbの陽性率が高く、抗体別の陽性率は、
- イクオリンTSAb or エクオリンTSAb(ODK-1403)19人/22人(86%)
- TSAb(Yamasa)9人/22人(41%)
- TRAb(第一世代)1/21 (5%)
- TRAb(第2世代)6/17 (35%)
[Aequorin TSAb(イクオリンTSAb or エクオリンTSAb)]
(第59回 日本甲状腺学会 シンポジウムⅠ)[Endocr J. 2020 Mar 28;67(3):347-352.]
甲状腺機能正常バセドウ病眼症は、眼症先行型バセドウ病眼症と異なります。伊藤病院の報告では
- 甲状腺機能正常だったバセドウ病眼症の24.1%は甲状腺機能亢進症に移行する(眼症先行型バセドウ病眼症)が72.4%はそのまま(甲状腺機能正常バセドウ病眼症)。
6.7年以上、甲状腺機能が正常だったバセドウ病眼症は、その後も甲状腺機能正常のまま(甲状腺機能正常バセドウ病眼症)の可能性が高い。[Clin Ophthalmol. 2018 Apr 19;12:739-746.]
- 眼症発症後3年以上甲状腺機能正常なものを甲状腺機能正常バセドウ病眼症、3 年以内に甲状腺機能亢進症に移行したものを眼症先行型バセドウ病眼症と定義すると、手術治療(眼筋、眼瞼)まで行う症例が、
- 甲状腺機能正常バセドウ病眼症 5.7%(2/35例)
- 眼症先行型バセドウ病眼症 60%(3/5例)
と、眼症の活動性に明確な差があったそうです。(第57回 日本甲状腺学会 P1-016 眼症先行型バセドウ病(PGD)とEuthyroid Graves’ Disease(EGD)の眼所見についての検討)
バセドウ病の約20%は、甲状腺ホルモンが高くなる前に眼症が先行します(眼症先行型バセドウ病眼症)。眼症先行型バセドウ病眼症は、甲状腺機能正常バセドウ病眼症より活動性が高いとされます。
遅延型バセドウ病眼症は、バセドウ病発症後に遅れて現れるものです。伊藤病院の統計によると、初発バセドウ病のうち非活動性バセドウ病眼症またはバセドウ病眼症がない患者の9%で、1年以内に遅延型バセドウ病眼症が現れた(眼科治療になったのは全体の4%)。(第58回 日本甲状腺学会 P1-2-1 初発バセドウ病(GD)におけるバセドウ病眼症(GO)悪化の予測)
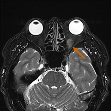
長崎甲状腺クリニック(大阪)では、メルカゾール(5mg)0.5T/日投与により数年間、甲状腺機能正常を維持している安定したバセドウ病患者にいきなり遅延型バセドウ病眼症が起こりました。そのMRI画像がこれです。
同じく、甲状腺亜全摘出20年後発症した遅延型バセドウ病眼症もありました。
甲状腺機能低下症性バセドウ病眼症と橋本病眼症は異なります。同一患者でTSAb(TSHレセプター抗体[刺激型]; 甲状腺刺激抗体)とTSBAb(TSHレセプター抗体[阻害型]、甲状腺刺激阻害抗体)両方持っていると、その比率によって甲状腺機能亢進症と甲状腺機能低下症どちらに傾くか、あるいは入れ替わるか決まります。
TSBAb優位で甲状腺機能低下症状態でもTSAbは存在し、かつ甲状腺機能低下で上昇したTSH(甲状腺刺激ホルモン)が相乗効果的に外眼筋・後眼窩部結合織線維芽細胞や球後脂肪組織に発現したTSH受容体を刺激するため、バセドウ病眼症(と言うより甲状腺眼症)は起こり得ます。
そして、甲状腺ホルモン剤(レボチロキシン、チラーヂンS)補充によりTSHが正常化すれば眼症も軽快します。
(第60回 日本甲状腺学会 P1-7-3 TSBAb陽性により甲状腺機能低下症を生じ甲状腺眼症を発症し た1例)
甲状腺機能低下症性バセドウ病眼症は軽度で片眼性が多いとされます。[Thyroid. 2015 Aug;25(8):942-8.]
バセドウ病眼症では外眼筋障害に加えて、まれに内眼筋障害(毛様体筋・瞳孔括約筋)おこし、レンズ調節障害(ピントが合わない)・瞳孔散大することがあります。自他覚症状は、
- 近くが見えにくい、眼痛時、視力低下
- 対光反射やや遅く、眼痛時、瞳孔不同
(第57回 日本甲状腺学会 P2-027 内眼筋障害を伴ったバセドウ病)
甲状腺機能低下症/橋本病、甲状腺機能正常橋本病でも自己抗体[自分の甲状腺を破壊する抗体;抗サイログロブリン抗体(Tg-Ab)、抗甲状腺ペルオキシダーゼ抗体(TPO-Ab)]が高い人はバセドウ病眼症(と言うより甲状腺眼症)になる事があります(橋本病眼症)。
ゆえに、バセドウ病眼症、橋本病眼症をまとめて甲状腺眼症と呼びます。
甲状腺眼症をおこす自己抗体は、甲状腺を刺激するバセドウ抗体(TRAb, TSAb)だけではないと考えられています。抗眼筋抗体などと呼ばれますが、未だ見つかっていません。実は橋本病眼症の68.2%はTSAbを有していますが、残りの32.8%は陰性です[J Clin Endocrinol Metab. 2016 May;101(5):1998-2004.]。
また、甲状腺機能低下症/橋本病眼症では、TSH(甲状腺刺激ホルモン)上昇が外眼筋・後眼窩部結合織線維芽細胞や球後脂肪組織に発現したTSH受容体を刺激して眼症を悪化させます。甲状腺ホルモン剤(レボチロキシン、チラーヂンS)補充によりTSHが正常化すれば眼症も軽快します。
いずれにせよ、甲状腺機能低下症甲状腺眼症、甲状腺機能正常甲状腺眼症ともに軽度で片眼性が多いとされます。[Thyroid. 2015 Aug;25(8):942-8.]
小児バセドウ病眼症(小児甲状腺眼症)
小児バセドウ病眼症(小児甲状腺眼症) はこちらをご覧ください
妊娠中期以降、甲状腺機能亢進症/バセドウ病の活動性は低下していきます。しかし、妊娠中、甲状腺眼症の活動性が低下がするか不明で、悪化した報告が散見されます。また、妊娠中の甲状腺眼症悪化に対する治療として、ステロイドパルス療法や放射線療法をすべきか明確に述べたガイドラインは存在しません。
- 3回目の妊娠で、妊娠20週に甲状腺機能亢進症/バセドウ病と診断され、妊娠33週に眼瞼下垂・眼球運動障害・眼痛で発症した甲状腺眼症の報告 [BMC Endocr Disord. 2020 Dec 15;20(1):183.]
- 妊娠中に重度の甲状腺眼症を発症し、視力回復のために高用量ステロイドと外科的眼窩壁減圧術を必要とした報告[Obstet Gynecol. 2005 May;105(5 Pt 2):1221-3.]
- 妊娠後期(妊娠29週)に複視で発症したバセドウ眼症。妊娠34週に球後視神経炎(色覚異常)をおこし視神経障害が悪化。妊娠36週で早期破水し、帝王切開後にメチルプレドニゾロンパルス療法と吉草酸ベタメタゾンの球後注射治療を受け眼症状は改善した報告[Tohoku J Exp Med. 2020 Dec;252(4):321-327.](第60回 日本甲状腺学会 O1-4 妊娠後期に診断され、急速増悪をきたしたバセドウ眼症の1例)。
があります。
[写真;BMC Endocr Disord. 2020 Dec 15;20(1):183.])
メチルプレドニゾロンパルス療法は、胎児と母体に対する副作用のため行いにくいものの、失明の危険があるなら止む得ないかもしれません。妊娠中におけるメチルプレドニゾロンパルス療法の安全性を証明した報告はありません。メチルプレドニゾロンを含むグルココルチコイド治療は
- 子宮内発育遅延、出生時体重と頭囲減少[Obstet Gynecol. 2002 Jan;99(1):101-8.]
- 早期破水[J Clin Endocrinol Metab. 1995 Jul;80(7):2244-50.]
- 胎児の視床下部-下垂体-副腎軸の機能不全[Clin Obstet Gynecol. 2013 Sep;56(3):602-9.]
- 妊娠高血圧、妊娠糖尿病、骨粗鬆症、血栓症、精神障害、および母親の感染症[Teratology. 2000 Dec;62(6):385-92.]
を引き起こす可能性があります。
普通ではあり得ない超稀な病態ですが、甲状腺癌・亜急性甲状腺炎で甲状腺眼症を来した症例が報告されています。最も、亜急性甲状腺炎からバセドウ病が誘発される症例は数多く報告されており(亜急性甲状腺炎とバセドウ病、橋本病(慢性甲状腺炎)の合併/移行)、バセドウ病眼症をおこしても不思議ではありません。
しかし、甲状腺癌で甲状腺眼症をおこす機序は不明です(Journal of the eye 15 (3), 451-453, 1998-03-31.)。そもそも、甲状腺機能亢進症/バセドウ病の1.3%に甲状腺癌(ほとんど甲状腺乳頭癌)が発生するため、どちらが先か(卵か鶏か)難しい話です(バセドウ病に発生する甲状腺乳頭癌・甲状腺濾胞癌)[Medicine (Baltimore). 2017 Nov;96(47):e8768.]。甲状腺癌が先であるケースなら、元々、バセドウ病、橋本病をおこすべき遺伝的素因を持っている方だったと筆者は考えます。
特に、甲状腺分化癌(乳頭癌・濾胞癌)は、癌と言えども正常な甲状腺濾胞細胞の性質を完全に失っていない(TSH受容体を有する、ヨード(ヨウ素)を取り込む、微量な甲状腺ホルモンを産生する)ため、体の免疫系が甲状腺濾胞細胞とみなしてバセドウ病抗体(TRAb, TSAb)、抗眼筋抗体を産生すると考えられます。
岡山済生会総合病院の報告では、バセドウ病の既往がなく、甲状腺乳頭癌全摘出後のTSH抑制療法中にバセドウ病眼症を発症したそうです(術後I-131 内用治療を行っているため、正常な甲状腺濾胞細胞がゼロの状態で)。筆者は、I-131 内用治療で崩壊した癌細胞の破片が抗原となり、バセドウ病抗体を誘導した可能性を考えます。(第53回 日本甲状腺学会 P-241 バセドウ病の既往がなく、甲状腺乳頭癌で甲状腺全摘後のTSH 抑制療法中に眼症を生じた一例)
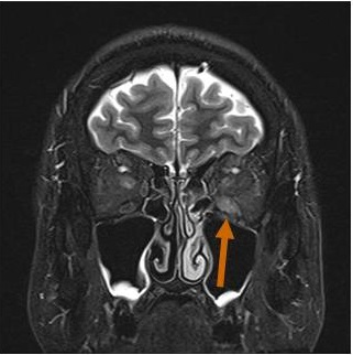
バセドウ病眼症(甲状腺眼症)診断目的のため行った眼窩MRI検査で、偶然、下垂体腺腫が見つかる場合があります。下は、左眼バセドウ病眼症(眼筋炎)、下垂体腺腫、上顎洞炎・鼻茸が合わせて見つかったケースです。下垂体腺腫が視神経交叉を押し上げているため、病態は複雑になります。
甲状腺関連の上記以外の検査・治療 長崎甲状腺クリニック(大阪)
長崎甲状腺クリニック(大阪)とは
長崎甲状腺クリニック(大阪)は日本甲状腺学会認定 甲状腺専門医[橋本病,バセドウ病,甲状腺超音波(エコー)検査など]による甲状腺専門クリニック。大阪府大阪市東住吉区にあります。平野区,住吉区,阿倍野区,住之江区,松原市,堺市,羽曳野市,八尾市,天王寺区,東大阪市,生野区も近く。
















