甲状腺微小乳頭癌に対する長崎甲状腺クリニック 大阪の考え方 [日本甲状腺学会認定 甲状腺専門医 橋本病 バセドウ病 長崎甲状腺クリニック 大阪]
「甲状腺微小乳頭癌」に対するセカンドオピニオンをお断りしております。また、他医からの甲状腺微小乳頭癌の経過観察依頼もお断りしています。
「甲状腺微小乳頭癌」に対する長崎甲状腺クリニック(大阪)の考え方は、本ページに記載した通りです。
「非手術経過観察」か「積極的手術」か、あるいは「積極的非手術経過観察(アクティブ サーベイランス,active surveillance)」か、どのように考えるかは、患者個人、医師により異なります。2020年の時点では、特定の条件が無い限り、「積極的非手術経過観察(アクティブ サーベイランス)」が主流になっています。
「非手術経過観察」「積極的非手術経過観察(アクティブ サーベイランス)」に納得できないなら、主治医とよく相談されることをお勧めします。
甲状腺:専門の検査/治療/知見① 橋本病 バセドウ病 甲状腺エコー 長崎甲状腺クリニック大阪
甲状腺専門の長崎甲状腺クリニック(大阪府大阪市東住吉区)院長が海外・国内論文に眼を通して得た知見、院長自身が大阪市立大学(現、大阪公立大学) 大学院医学研究科 代謝内分泌内科で得た知識・経験・行った研究、甲状腺学会で入手した知見です。
長崎甲状腺クリニック(大阪)以外の写真・図表はPubMed等において学術目的で使用可能なもの(Creative Commons License)、public health目的で官公庁・非営利団体等が公表したものを一部改変しています。引用元に感謝いたします。尚、本ページは長崎甲状腺クリニック(大阪)の経費で非営利的に運営されており、広告収入は一切得ておりません。
甲状腺・動脈硬化・内分泌代謝・糖尿病に御用の方は 甲状腺編 動脈硬化編 甲状腺以外のホルモンの病気(副甲状腺/副腎/下垂体/妊娠・不妊など) 糖尿病編 をクリックください
Summary
1cm未満の甲状腺微小乳頭癌は30歳以上の女性の約2.9%に存在。手術せず経過観察する積極的非手術経過観察(アクティブ サーベイランス)が主流だが、絶対手術すべき浸潤型微小乳頭癌もある。40歳未満の甲状腺微小乳頭癌は、15年間で約50%が3mm以上サイズ増大、約30%がリンパ節転移するが、その時点で手術すれば間に合うと言う隈病院の見解。高齢者の甲状腺微小乳頭癌は大部分が変化しない。甲状腺微小乳頭癌でも遠隔転移(肺転移・骨転移・脳転移)、気管浸潤、反回神経に鈍角で接する、石灰化が周囲にも広がる、甲状腺内転移がある場合、手術。
Keywords
甲状腺微小乳頭癌,長崎甲状腺クリニック,肺転移,経過観察,リンパ節転移,骨転移,脳転移,甲状腺,手術,転移
長崎甲状腺クリニック(大阪)の方針として「甲状腺微小乳頭癌は全例手術すべきでない」という極論は、どうかと思います。特に、癌センターなどでは、「甲状腺乳頭癌は癌じゃない」と言い切る癌専門医もいるようです。確かに手術しなくて良い甲状腺微小乳頭癌が多くある一方で、絶対手術すべき甲状腺微小乳頭癌が存在するのも事実です。
[長崎甲状腺クリニック(大阪)は内科系甲状腺専門医ですので手術は致しません]
甲状腺微小乳頭癌は1cm 未満の微小な甲状腺乳頭癌です。日本では30歳以上の女性の3.5%(約30人に1人)に甲状腺乳頭癌が存在し、そのうち84%が甲状腺微小乳頭癌との報告があります(Takabe et al. KARKINOS 7:309-317, 1994)。
(※筆者も、そこまで多くないと思っていましたが、超音波(エコー)検査で良性にしか見えない甲状腺微小乳頭癌が、実はかなりの頻度で存在しているのを確信しました。(実際は多いが、それ程見つからない甲状腺微小乳頭癌 )
超音波診断装置(エコー機械)の進歩に加え、肺CT、頸椎MRIや頚動脈超音波(エコー)検査で偶然見つかる甲状腺乳頭癌が増えているためで、アメリカでも甲状腺微小乳頭癌が増加しています(甲状腺乳頭癌の49%)(JAMA. 2006, 10;295:2164-7)。
近年、明らかな浸潤・転移のない甲状腺微小乳頭癌(cT1aN0M0)は、手術しないで経過観察するのが主流になりつつあります。ほとんどの甲状腺微小乳頭癌は、緊急で手術する必要はないでしょう。「甲状腺腫瘍診療ガイドライン2019」でも、明らかな浸潤・転移のない甲状腺微小乳頭癌は、超低リスク乳頭癌[cT1aN0M0]として積極的非手術経過観察(アクティブ サーベイランス:active surveillance)の適応になっています。しかし、絶対手術すべき甲状腺微小乳頭癌も紛れており、見逃してはいけません。
隈病院で30年間おこなわれている積極的非手術経過観察(アクティブ サーベイランス)においても、転移が見つかって手術切除に切り替わる(転換手術の)ケースもあるようです。ただし、その際の予後や重大な手術合併症発症率は即時手術と有意差ないそうです。[Endocr J. 2024 Jan 29;71(1):7-21.][Thyroid. 2023 Jul;33(7):817-825.]
隈病院の最も新しいデータでは、積極的非手術経過観察(アクティブ サーベイランス)を行った3222人のうち124人(3.8%)に3 mm以上の腫瘍サイズ増大を認め、10年後・20年後の腫瘍拡大率は4.7%・6.6%。新規リンパ節転移は27名(0.8%)で発生し、10年後・20年後の転移率は1.0%・1.6%とのことです。一方、積極的非手術経過観察(アクティブ サーベイランス)せずに即時手術した2424名では13名(0.5%)が術後リンパ節再発し、10年後・20年後のリンパ節再発率は0.4%・0.7%でした。[Thyroid. 2023 Jul;33(7):817-825.]
また、金の事は言いたくありませんが、日本の医療保険制度下では、甲状腺微小乳頭癌を手術して10年間の医療費は、積極的非手術経過観察(アクティブ サーベイランス)を行った場合の4.1倍とされます(Endocr J. 2017 Jan 30;64(1):59-64.)。
積極的非手術経過観察(アクティブ サーベイランス)が可能かどうかは、患者の不安度によることも忘れてはいけません[Thyroid. 2025 Aug;35(8):841-985.]。
甲状腺微小乳頭癌だから大丈夫と高をくくり、なめてかかると痛い目に合う事があります。
甲状腺微小乳頭癌の中には、浸潤・転移しやすい浸潤型微小乳頭癌が確かに存在します。浸潤・転移しやすい甲状腺微小乳頭癌か否かを調べるのは現時点では不可能で、浸潤・転移するかどうか経過観察するしかありません。(浸潤型微小乳頭癌)
「周囲リンパ節腫大がなく、遠隔転移が無い症例では、80%の症例で5年以上経過をみても何の変化もなく、生命にかかわることもなし。」との根拠で、甲状腺微小乳頭癌は手術しない方針が主流になりつつあります。
甲状腺微小乳頭癌でも10年で3.8%は経過観察中にリンパ節転移します(隈病院公表データ:[Thyroid. 2014 Jan;24(1):27-34.])。「超音波検査による甲状腺外浸潤、リンパ節転移の正確な評価がきわめて重要」なのは、正にその通りですが、机上の空論でもあります。
それは正に、甲状腺超音波(エコー)検査を100%臨床検査技師に丸投げして、自分では行わない医師の発想と思います。筆者は、大阪市大病院(現、大阪公立大学病院)の超音波(エコー)検査室において20年以上、自らの手で(検査技師の手を借りず)、何千もの患者にエコー診断をしてきました。
実際、
- 橋本病・バセドウ病を合併していると、甲状腺周囲のリンパ節は複数腫れていることが多い
- アレルギー性鼻炎などを持っている人は、甲状腺と無関係に頚部リンパ節が腫れている
- 1個のリンパ節全体に癌細胞が広がらなければ(細胞レベルでリンパ節転移していても)エコー上、変化に乏しい
など、甲状腺微小乳頭癌がリンパ節転移していても、よほど典型的な形状の転移リンパ節でなければ、鑑別は難しいです。実際、「転移リンパ節なし」の診断で手術した甲状腺微小乳頭癌の32.6%においてリンパ節転移を認めた報告があります(Am J Surg. 2014 Sep;208(3):412-8.)。
では、リンパ節を穿刺細胞診(FNA-Tgも含む)すれば?
- 甲状腺周囲に複数ある腫大リンパ節を何回も刺すのは大変
- 1個のリンパ節全体に癌細胞が広がらなければ、正常組織しか採れない可能性がある
※リンパ節生検による組織診でしか分かりませんが、小手術なので余程疑わしくない限り、普通はしない。
のため、現実的でありません。
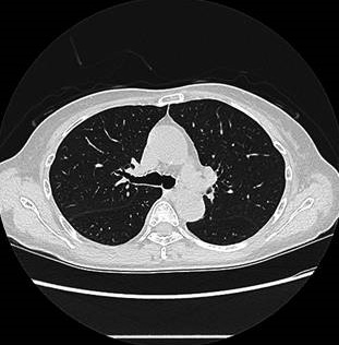
甲状腺微小乳頭癌でも、経過観察中に肺に遠隔転移すれば甲状腺全摘出して放射線療法が始まります[こうなると「最初から手術していれば甲状腺半分だけの摘出で(全摘したとしても)、放射線治療しなくて済んだ。放射線治療による2次発癌(予測外の2次発癌・second primary cancer)におびえる必要もなかった。」と言う事になります]。
筆者がこれまで遭遇した症例には、肺転移が先に見つかり、全身の原発巣を調べた結果、甲状腺微小乳頭癌にたどり着いたものが数例あります(浸潤型微小乳頭癌)。
また、頚部リンパ節転移が見当たらないのに肺転移する事があります(信州医誌,59(2):89~95,2011)(日呼吸会誌 46(7):578-582,2008.)(Thyroid. 2009 Mar;19(3):309-11.)。
肺CTで肺転移の有無を定期的に確認する必要があると筆者は考えております。
同じ甲状腺微小乳頭癌でも年齢によって予後が違います。通常の甲状腺乳頭癌とは逆で、40歳以下の若年者がサイズ増大・リンパ節転移をおこしやすい。それに対して、高齢者の甲状腺微小乳頭癌は進行しにくい(大人しい)。
その理由として、40歳以下の甲状腺微小乳頭癌には大きくなる途上のものが含まれており、一方、高齢者の甲状腺微小乳頭癌は長年小さいままで変化しないのが大半と考えられます。
[Thyroid. 2014 Jan;24(1):27-34.]
甲状腺微小乳頭癌でも10年に8%は経過観察中に3mm以上のサイズ増大します(隈病院公表データ: Thyroid,24;7-34,2014)。若年者では10%です。サイズ増大してから手術すれば間に合うとの見解ですが、1例のみ手術後の残存甲状腺に再度甲状腺微小乳頭癌が現れたそうです(現在は、甲状腺微小乳頭癌でも甲状腺全摘するので心配ないとの事ですが)。
隈病院の伊藤先生が提示された2014年のデータでは、15年後に3mm以上のサイズ増大した甲状腺微小乳頭癌の累積率は約20%(15年後には甲状腺微小乳頭癌の5人に1人は3mm以上のサイズ増大する様です)。(Thyroid. 2014 Jan;24(1):27-34.)
40歳未満の若年者に限定すれば、甲状腺微小乳頭癌発見後15年で3mm以上のサイズ増大する確率は約50%との事です。
血清TSH高値は、甲状腺微小乳頭癌におけるサイズ増大の危険因子であり、TSHを正常範囲内低値(<2.50 μIU/mL)にすべきとの意見があります[J Clin Endocrinol Metab. 2018 Feb 1;103(2):446-451.][World J Surg. 2023 Feb;47(2):392-401.]。この点においては全く賛成です。
「進行してから手術しても十分間に合う、手術すれば0.2%に永続性反回神経麻痺の合併症がおこるから、それでも手術せずに経過観察の方が良い」と言う事です。また、3mm以上に増大した、新たにリンパ節転移が出現した場合時点で手術しても重大な再発、癌死は皆無との事です(重大でない再発はあった様です)。
リンパ節転移のない甲状腺微小乳頭癌で、経過観察中にリンパ節転移をおこしやすいのは
- 男性
- 45歳以下
- 背側被膜に隣接
- 境界不整
の場合です。[Asian J Surg. 2022 Aug;45(8):1525-1529.]
微小でない甲状腺乳頭癌は、手術後40年してからも再発する事があります。甲状腺微小乳頭癌の「積極的非手術経過観察」で、増大、リンパ節転移して結局手術になった患者の数十年後の長期予後のデータは、これからの様です。
微細石灰化を持たない甲状腺微小乳頭癌
甲状腺乳頭癌に特徴的な微細石灰化を持たない甲状腺微小乳頭癌は進行しやすいとのことです。石灰化は同じ場所に長く留まらねば起こりません、微細石灰化を持たない甲状腺微小乳頭癌は短期間で成長していると推察されます。
ケース①
ケース②
血流多い甲状腺微小乳頭癌
多発性の甲状腺微小乳頭癌
多発性の甲状腺微小乳頭癌は、リンパ節転移しやすいとされます(Am J Surg. 2014 Sep;208(3):412-8.)。
甲状腺乳頭癌高細胞型と甲状腺びまん性硬化型乳頭癌(DSPTC)の微小乳頭癌
甲状腺乳頭癌の甲状腺乳頭癌高細胞型と甲状腺びまん性硬化型乳頭癌(DSPTC)は浸潤性が強い乳頭癌亜型です。これら微小乳頭癌も甲状腺外浸潤およびリンパ節転移をおこしやすいです。。しかしながら予後は通常型の甲状腺微小乳頭癌と同じとされます。[Thyroid. 2013 Oct;23(10):1305-11.]
以上から、甲状腺微小乳頭癌も、個々の患者心理や社会的背景なども考慮し、患者さん本人が強く希望する場合は手術するのも選択肢の1つと考えます。
絶対に手術が必要で、「積極的非手術経過観察(アクティブ サーベイランス)」で済ませてはならない甲状腺微小乳頭癌①すでに遠隔転移(肺転移・骨転移・脳転移)している②発見時、既にリンパ節転移している③気管浸潤の可能性[気管との間に被膜なく、鈍角で(アワビ状に)接する]・鈍角で反回神経に接する④石灰化が周囲にも広がっている(リンパ行性甲状腺内転移)⑤海外ではa)両葉多発性、b)甲状腺癌の家族歴(遺伝性)⑥反回神経浸潤(背側・気管寄りで、甲状腺の縁が消失)。気管/反回神経以外の場所で被膜浸潤→腺外浸潤は手術適応外。
手術,甲状腺微小乳頭癌,肺転移,骨転移,リンパ節転移,気管浸潤,アワビ状,転移,反回神経浸潤,手術適応
甲状腺微小乳頭癌でも絶対に手術が必要で、「積極的非手術経過観察(アクティブ サーベイランス)」で済ませてはならないケースが一定の割合で存在します。
- すでに遠隔転移(肺転移・骨転移・脳転移)しているもの(浸潤型微小乳頭癌)。アイソトープ(放射性ヨウ素, I-131)治療するため甲状腺を全部摘出せねばなりません。血清サイログロブリン値が高い場合、遠隔転移が疑われる。
- 発見時、既にリンパ節転移しているもの。血清サイログロブリン値が高い場合、リンパ節転移が疑われ、リンパ節転移が甲状腺微小乳頭癌再発の予測因子。[Minerva Endocrinol. 2015 Mar;40(1):15-22.]
- 気管に浸潤している可能性がある[気管との間に被膜なく、鈍角で(アワビ状に)気管に接している]・甲状腺背面に鈍角で(アワビ状に)反回神経に接する7mm以上の甲状腺微小乳頭癌は、気道内への出血・反回神経麻痺の危険から、甲状腺を半分切除~全部摘出せねばなりません。(Thyroid. 2016 Jan 1; 26(1): 144–149.)(World J Surg 2016;40:523–528.)(下記)
- 石灰化が甲状腺微小乳頭癌内部だけでなく、甲状腺微小乳頭癌の周囲にも広がっている場合は、リンパ管に沿って周囲へリンパ行性に広がっています。
また、甲状腺内転移がある場合も同様です。
- 海外では、①両葉多発性の場合、②甲状腺癌の家族歴(遺伝性)がある場合、甲状腺微小乳頭癌であっても甲状腺全摘が推奨されます[アメリカ甲状腺学会(American Thyroid Association:ATA)やヨーロッパ分子癌学会(European Society of Molecular Oncology:SMO)のガイドライン](Thyroid. 2016 Jan;26(1):1-133.)(Ann Oncol. 2019 Dec 1;30(12):1856-1883.)(下記)
一方、隈病院の見解では、両葉多発性、甲状腺癌の家族歴(遺伝性)があっても、通常の甲状腺微小乳頭癌と同じ扱いとのです(Eur J Surg Oncol. 2018 Mar;44(3):307-315.)
- 反回神経浸潤
- 気管/反回神経以外の場所で被膜浸潤→腺外浸潤(腺外伸展)?
隈病院でも、鈍角で(アワビ状に)気管に接する甲状腺微小乳頭癌(図のA)は、手術適応にしています(Thyroid. 2021 Feb;31(2):183-192.)
上のエコー画像は長崎甲状腺クリニック(大阪)の自験例です。気管に鈍角で(アワビ状に)接していませんが、拡大画像を見れば分かるように、明らかに甲状腺を包む被膜が消失し、気管に浸潤している様に見えます。
ケース①
ケース②
遠隔転移・リンパ節転移がなく、かつ反回神経麻痺による嗄声症状もない無症候性微小乳頭癌なのに、手術時に反回神経浸潤を認めるケースがあります。
伊藤病院の報告によると、2005-2014年に手術した甲状腺微小乳頭癌2945例において、遠隔転移・リンパ節転移がなく、かつ反回神経浸潤(Ex1,Ex2)を
- 術前に認めたのは4例(0.136%)
- 術中に見つけたのは31例(1.1%)
だったそうです。術前超音波(エコー)検査での病変占居部位は、
- 32例(91.4%)は甲状腺背側
- 30 例(85.7%)は気管寄り
で、背側かつ気管寄りの甲状腺微小乳頭癌は反回神経浸潤を疑い手術切除した方がよいと考えられます。(第59回 日本甲状腺学会P3-3-1 甲状腺微小乳頭癌に対する術前診断-反回神経浸潤評価における術前超音波検査・CT の見方-)
- 約50%は被膜直下型で、被膜陥凹をおこすもの、被包型(被膜に包まれ周囲へ浸潤してなさそう)のものが多いという隈病院のデータです。
- 石灰化のパターンも違いがあり、微細石灰化と卵殻状石灰化の頻度は通常の甲状腺乳頭癌と同じですが、甲状腺微小乳頭癌は破片状・塊状石灰化の頻度が多いのが特徴です。
- 若年者の甲状腺微小乳頭癌は、通常型甲状腺乳頭癌より、増殖能力が高く、進行が速いです。MIB-1ラベリング(Ki-37標識率)は、増殖している細胞のみに結合し、発色させる方法で、甲状腺微小乳頭癌は通常型甲状腺乳頭癌より高値です。(図:第16回隈病院甲状腺研究会より提供)。
詳細は、甲状腺微小乳頭癌は超音波(エコー)検査でどう見えるか? を御覧ください。
甲状腺微小乳頭癌の中には、転移しやすい浸潤型微小乳頭癌が確かに存在します。転移しやすい甲状腺微小乳頭癌か否かを調べるのは現時点では不可能です。よって、長崎甲状腺クリニック(大阪)では甲状腺微小乳頭癌が見つかれば、肺・上半身骨CT、何らかの脳神経症状がある場合のみ脳MRIをお勧めしています。
甲状腺超音波(エコー)検査では甲状腺微小乳頭癌の所見なのに、いくら穿刺細胞診しても(計3回したが)確定できない特殊な甲状腺微小乳頭癌が報告されています。
本体は6mm大の結節ながら、甲状腺周囲には、明らかに甲状腺乳頭癌の転移と考えられる異常な嚢胞化リンパ節が複数存在し、リンパ節生検から甲状腺乳頭癌が確定したそうです。甲状腺全摘手術後の病理組織標本で判明したのは、外側に厚い硝子化層があり、穿刺針が入ったように見えても、硝子化層を貫通できなかったとの結論でした。(第53回 日本甲状腺学会 P124 著明な硝子化および散在する微小病巣のため穿刺細胞診による確定診断が困難であった甲状腺乳頭癌の一例)
同様の報告は、筆者が調べた限り見つけることができませんでした。甲状腺乳頭癌 硝子化間質とも甲状腺硝子化索状腺腫とも異なるものです。
甲状腺関連の上記以外の検査・治療 長崎甲状腺クリニック(大阪)
長崎甲状腺クリニック(大阪)とは
長崎甲状腺クリニック(大阪)は日本甲状腺学会認定 甲状腺専門医[橋本病,バセドウ病,甲状腺超音波(エコー)検査など]による甲状腺専門クリニック。大阪府大阪市東住吉区にあります。平野区,住吉区,阿倍野区,住之江区,松原市,堺市,羽曳野市,八尾市,東大阪市,浪速区,天王寺区,生野区も近く。







































