甲状腺癌の肺転移、胸膜転移(胸膜播種、癌性胸膜炎、癌性胸水)、乳び胸水(乳び漏)[橋本病 バセドウ病 長崎甲状腺クリニック 大阪]
甲状腺:専門の検査/治療/知見② 橋本病 バセドウ病 甲状腺エコー 長崎甲状腺クリニック大阪
甲状腺専門の長崎甲状腺クリニック(大阪府大阪市東住吉区)院長が海外・国内論文に眼を通して得た知見、院長自身が大阪市立大学(現、大阪公立大学) 代謝内分泌内科(内骨リ科)で得た知識・経験・行った研究、甲状腺学会で入手した知見です。
長崎甲状腺クリニック(大阪)以外の写真・図表はPubMed等において学術目的で使用可能なもの(Creative Commons License)、public health目的で官公庁・非営利団体等が公表したものを一部改変しています。引用元に感謝いたします。尚、本ページは長崎甲状腺クリニック(大阪)の経費で非営利的に運営されており、広告収入は一切得ておりません。
甲状腺・動脈硬化・内分泌代謝に御用の方は 甲状腺編 動脈硬化編 甲状腺以外のホルモンの病気(副甲状腺/副腎/下垂体/妊娠・不妊など) をクリックください
長崎甲状腺クリニック(大阪)では、甲状腺癌の肺転移、肺癌・悪性中皮腫の甲状腺転移の治療を行っておりません。これらの治療は、入院設備のある総合病院でしかできません。
Summary
甲状腺癌の遠隔転移で最多の肺転移。甲状腺乳頭癌のI-131 内服療法(アイソトープ治療)後の10年生存率は肺転移のみで70%、骨転移もあると40%で予後悪化。甲状腺癌(乳頭癌、濾胞癌)の肺転移は、両側肺に、びまん性多発小結節を形成するが、甲状腺微小乳頭癌は片肺の孤立性結節でTBLB 組織診もサイログロブリン免疫染色陰性のため原発性肺癌と鑑別不可能。甲状腺癌が肺転移し扁平上皮癌に変化。甲状腺癌(乳頭癌、濾胞癌)の合併症は喀血、器質化肺炎、肺動静脈瘻、敗血症性肺塞栓症など。甲状腺癌の胸膜転移(胸膜播種、癌性胸膜炎、癌性胸水)は胸水細胞診、胸水サイログロブリン測定。
Keywords
甲状腺癌,肺転移,胸膜播種,乳び胸水,転移,甲状腺がん,予後,乳頭癌,濾胞癌,甲状腺
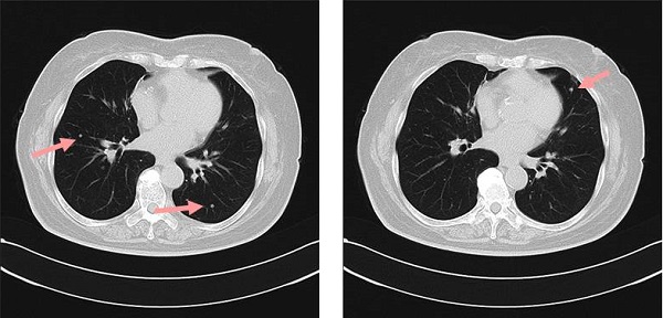
甲状腺乳頭癌 肺転移 CT画像。中-下肺野に、小粒状陰影が多数あります。
甲状腺癌の肺転移様式として、両側肺に、びまん性多発小結節を形成するのが普通です(上記肺X-p、CT画像)。孤立結節型は11.4%とされます。
1cm程度の甲状腺乳頭癌・1cm 以下の甲状腺微小乳頭癌の肺転移は、片肺の孤立性結節のみです。しかもTBLB 組織診でサイログロブリン免疫染色も陰性のため、原発性肺癌との鑑別不可能です。当然、原発性肺癌として肺切除され、術中迅速病理診断で甲状腺乳頭癌肺転移が確定した時点で手術終了。
甲状腺乳頭癌自体も
- 10.5mm大の大きさで、明らかなリンパ節転移も認めなかった(第57回 日本甲状腺学会 P1-068 肺病変のサイログロブリン免疫染色が陰性であったため原発性肺癌との鑑別に苦慮した甲状腺乳頭癌孤立性肺転移の一例)
- 潜伏性(occult papillary thyroid carcinoma)だった[Thorac Cancer. 2016 Mar;7(2):261-3.][Nihon Naibunpi Gakkai Zasshi. 1991 Jun 20;67(6):655-65.]
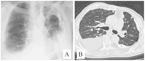
甲状腺乳頭癌の孤立性肺転移CT・PET-CT画像[Thorac Cancer. 2016 Mar;7(2):261-3.]
甲状腺がんは肺の中心(中枢側)でなく、外側(末梢側)に転移しやすいため、呼吸困難症状が表れにくいです。
甲状腺癌肺転移で起こる喀血(血を吐く事)の治療として、①外科的に転移巣を切除、②気管支鏡下焼灼術、③気管支動脈塞栓術(BAE)などがあります。これらは、出血源の除去を目的とするものです。近年、シリコン製のEWS(Endobronchial Watanabe Spigot)と言う”栓”を気管支に詰めてしまう、要するに出血源に蓋(ふた)をする治療(気管支充填術)も行われます。
EWS気管支充填術は、転移巣そのももの治療ではないため、根本的な治療は、放射線治療(I-131 アイソトープ治療) 「放射線治療無効場合のネクサバール・レンビマ になります。これらの治療が効いて、転移巣が崩壊すると出血するため、その時の止血に有用です。
EWS気管支充填術は、術後の確認にヨード造影剤を使用するため、直後に放射線治療(I-131 アイソトープ治療)を施行できない難点があります。
(写真 ResearchGate January 2019 DOI: 10.1002/rcr2.382)
肺の表面近くにできた甲状腺癌の肺転移巣が壊れ(壊死)、肺を包む臓側胸膜が破れると、肺内の空気が漏れだします(気胸)。
甲状腺癌の肺転移巣が壊れて(壊死)、気胸を形成する原因は、
- 甲状腺癌細胞が増殖し過ぎて血流の悪くなった部分が壊死する;甲状腺癌の自然崩壊(自壊)
- 根治切除不能な甲状腺癌に対する治療薬 レンビマ®(レンバチニブ)の効果で甲状腺癌が壊死する
休薬のみで気胸は治癒し、再投与で再発する(第62回 日本甲状腺学会 P14-5 気胸のためレンバチニブからソラフェニブに変更した乳頭癌肺転 移の1例)
脱気や胸膜癒着術を行う場合もある(Case Rep Endocrinol. 2018 Mar 28;2018:7875929.)
などです。(Respir Med Case Rep. 2019 Jan 8;26:197-199.)
橋本病(慢性甲状腺炎)・バセドウ病と特発性器質化肺炎(Cryptogenic organizing pneumonia; COP)
橋本病(慢性甲状腺炎)・バセドウ病に合併した特発性器質化肺炎(Cryptogenic organizing pneumonia; COP)の報告として、
- 潜在性甲状腺機能低下症/橋本病(慢性甲状腺炎)に合併(Exp Ther Med. 2019 Dec;18(6):4609-4616.)
- 甲状腺機能亢進症/バセドウ病とほぼ同時期に発症・再発を繰り返した(Respiration. 2000;67(5):572-6.)
などのケースがあり、自己免疫反応が原因なのか、甲状腺ホルモン自体が原因なのか不明です。
甲状腺癌肺転移により肺動静脈瘻(pulmonary arteriovenous fistula)ができると、
- 肺胞での酸素・二酸化炭素交換をすることなく、肺動脈から肺静脈へのシャントができるため、呼吸困難・チアノーゼ・多血症・バチ指、右心不全、脳虚血
- 肺というフィルターを介さずに、静脈から動脈に血栓・菌が通り抜けて脳に行き、脳梗塞・脳膿瘍
あるいは、菌が心臓に行き、感染性心内膜炎
- 肺動静脈瘻の血管壁は脆く、破裂して喀血・血胸
(MedTimes1979;107:87―92.)
[Am J Surg. 1964 Sep;108:416-8.][N Engl J Med. 1959 Apr 30;260(18):901-7.]
欧米において肺動静脈瘻の10-70%は遺伝性で、遺伝性出血性毛細血管拡張(オスラー・ウェーバー・ランデュ病)に合併しますが、日本では10-20%程度です。(日本臨床 別冊呼吸器症候群Ⅱ:374-378,2009)
大きな無症候性肺動静脈奇形と結節性甲状腺腫・甲状腺乳頭癌が合併して、甲状腺乳頭癌肺転移との鑑別を要した報告があります。[Indian J Nucl Med. 2020 Oct 21;35(4):326–329.]
肺動静脈瘻自体は、無症状時、胸部エックス線写真や胸部単純CT画像から偶然、発見されることが多い。しかし、喀血、脳梗塞・脳膿瘍の危険性が高いため、3 mm 以上は治療適応。経カテーテル塞栓術。
甲状腺乳頭癌が肺転移し、何割かが扁平上皮癌に変化すれば、原発性肺がん(扁平上皮癌)に甲状腺乳頭癌肺転移が合併している病態と鑑別難。
報告例では、手術標本を確認した後に初めて、甲状腺乳頭癌から扁平上皮癌への直接移行が認められたそうです。(日呼外会誌 2013: 27(5) 621-624.)
甲状腺乳頭癌から扁平上皮癌へ変化すると言った、これまでの常識で説明できない事象は他にもあり、甲状腺乳頭癌(高細胞型;tall cell variant )から発生した甲状腺原発扁平上皮癌も報告されています(Eur Ann Otorhinolaryngol Head Neck Dis. 2018 Aug;135(4):291-293.)。なぜ甲状腺癌が発生するのか?根本的な原因を考えさせられる報告があります。
甲状腺癌の発癌理論(芽細胞発癌) なら説明可能と筆者は考えています。
甲状腺乳頭癌の多発性肺転移に伴い、胸膜転移(胸膜播種、癌性胸膜炎、癌性胸水)が起こります。ただし、肺転移を認めないのに対側(甲状腺癌が無い側)に起こる場合もあります。
甲状腺癌剖検(病理解剖)報告では、約20%に胸膜・心膜転移が報告されています(Cancer. 1976 May;37(5):2329-37.)。また、甲状腺癌は体の正中線上に位置するため、傍脊椎静脈叢の塞栓となり、圧の変化により脊椎静脈を遡上してして胸膜・心膜転移する可能性が指摘されています(最新医学,41: 2248~2251, 1986.)。
甲状腺乳頭がん患者の0.56%に胸水が現れます。胸水を認めた患者全員が、
- 頸部リンパ節転移・肺転移を有す
- 甲状腺がんで死亡(癌死);1〜20カ月後に死亡(中央値、11カ月)
[South Med J. 1994 Nov;87(11):1111-6.]
胸部CTでは、胸膜腫瘍[胸膜転移(胸膜播種、癌性胸膜炎、癌性胸水)]と同側の胸水貯留(癌性胸水)を認めます。重度の甲状腺機能低下症があれば、粘液水腫による胸水も考えねばなりませんが、その場合、胸膜腫瘍(胸膜播種)は無く、甲状腺ホルモンが正常化すれば胸水も消失します。
胸膜転移(胸膜播種、癌性胸膜炎、癌性胸水)では、胸部打診で濁音を示し、呼吸音が弱くなり、聴診で胸膜摩擦音が聞かれます。
胸膜転移(胸膜播種、癌性胸膜炎、癌性胸水)の診断は、
- 胸水細胞診で甲状腺乳頭癌細胞塊を確認。免疫染色では、サイログロブリン、TTF-1(甲状腺転写因子)が陽性に染まります。TTF-1(甲状腺転写因子)は、大部分の小細胞肺癌、原発性・転移性肺腺癌でも発現するため、肺癌との鑑別には不向きと言えます。
- 胸水中のサイログロブリン値が上昇するのも有用(日本臨床, 47:1147-1150, 1989.)
- CTガイド下胸膜腫瘍生検は、大掛りになりますが、行う施設もあるようです。
胸膜転移(胸膜播種、癌性胸膜炎、癌性胸水)治療は、
- 東京医科大学の報告では、レンバチニブ投与により胸膜腫瘍が縮小するとともに胸水も消失したそうです。(第59回 日本甲状腺学会 P4-6-6 胸水貯留を伴う甲状腺乳頭癌の胸膜転移に対してレンバチニブを投与した一例)
- 別の報告では、甲状腺低分化癌にレンバチニブが効果あるも、副作用をおこし休薬後、急速に胸水貯留を来たす。減量してレンバチニブ再開すると胸水は速やかに改善したそうです。(第61回 日本甲状腺学会 O18-6 レンバチニブ休薬で大量の胸水を来した甲状腺低分化癌の剖検例)
乳び胸水(乳び漏)とは
頚部手術における乳糜漏(乳び漏)または乳び胸水の頻度は1.0-2.5%程とされます。
※肺癌の術後も同程度
左リンパ本管(胸管)は左鎖骨下動脈と左総頸動脈の間を腹側に回り、左静脈角で静脈に開口します。甲状腺癌の縦隔・頸部のリンパ節郭清[特にD2郭清(外側区域郭清)・D3郭清(両側外側区域郭清]では胸管を損傷しやすく、乳び胸水(乳び漏)を来たします。術中、胸管損傷に気づけば胸管結紮します。
甲状腺癌手術後、1日目のドレーンから白色の(白濁した)液体を認めれば、乳び胸水(乳び漏)です。
排液量が1日1,000 mL 以上持続する場合、まず保存的治療として、
- 脂肪制限食または絶食(中心静脈栄養)
- 頚部圧迫処置
が必要。
それでも排液量が減少しない場合(2 週間以上続く、あるいは1,500 mL/日以上が5 日間続く)、早めに再開創して胸管を結紮する再手術(胸管結紮術)。
食事を再開する場合、低脂肪食かつ高カロリー食で。
乳び漏診断と治療(看護rooより)
乳び胸
胸腔内に乳び胸水が貯留して「乳び胸」になると、呼吸困難をおこします。胸腔ドレナージが必要。
乳び胸の原因は、
- 甲状腺癌の縦隔、頸部のリンパ節郭清による胸管損傷(前項)
- 食道癌・肺癌・心臓手術など胸郭内の外科手術による胸管損傷
- 悪性腫瘍(甲状腺癌も含む)[次項]
- リンパ脈管筋腫症(LAM)
- 特発性
甲状腺癌の胸管浸潤により乳び胸水(乳び漏)
甲状腺癌の浸潤による胸管破壊により乳び胸水(乳び漏)を来たした症例も報告されています(日本老年医学会雑誌34 巻 (1997) 5 号 p. 421-427)。乳び胸水貯留による呼吸困難をおこし、その後、気管分岐部まで浸潤し胸管破壊を来した甲状腺癌が見つかったそうです。
肺原発悪性リンパ腫は、肺悪性腫瘍の1%に過ぎません。MALTリンパ腫は、肺原発悪性リンパ腫の約90%を占めます。肺MALTリンパ腫はほとんど原発性で、他臓器MALTリンパ腫の肺転移は非常にまれです。
肺原発悪性リンパ腫は、気道のリンパ組織から発生し、肺CTではコンソリデーション(血管や気管支壁の不明瞭化)・腫瘤状陰影と、その辺縁部の粒状影・すりガラス陰影、胸膜に沿った粒状影を認めます。
甲状腺MALTリンパ腫で甲状腺摘出術と、化学療法を受けて5年後、肺へ転移した報告があります。(Ann Thorac Surg. 2015 Aug;100(2):700-2.)
TBLBは、レントゲン透視下で気管支鏡を病巣気管支に挿入し、先端の鉗子で生検を行います。気道にファイバースコープを挿入されるので、苦しいのは言うまでもありません。しかし、甲状腺癌の肺転移、甲状腺癌肺転移で起こる器質化肺炎を証明するには必要です。長崎甲状腺クリニック(大阪)では、甲状腺癌の肺転移の診療は行っていないため、大阪公立大学附属病院(旧、大阪市立大学附属病院)、大阪急性期総合医療センターの呼吸器科を転院受診していただきます。
特発性間質性肺炎(IIPs)は種類により治療法・予後が異なるため、経気管支肺生検(胸腔鏡下/開胸肺生検の方が好ましい)が必要です。
甲状腺関連の上記以外の検査・治療 長崎甲状腺クリニック(大阪)
長崎甲状腺クリニック(大阪)とは
長崎甲状腺クリニック(大阪)は日本甲状腺学会認定 甲状腺専門医[橋本病,バセドウ病,甲状腺超音波(エコー)検査など]による甲状腺専門クリニック。大阪府大阪市東住吉区にあります。平野区,住吉区,阿倍野区,住之江区,松原市,堺市,羽曳野市,八尾市,生野区,天王寺区,東大阪市,浪速区も近く。





























