肝血管腫、肝細胞癌、肝膿瘍と甲状腺、消費型甲状腺機能低下症、甲状腺癌の肝転移[橋本病 バセドウ病 長崎甲状腺クリニック 大阪]
甲状腺:専門の検査/治療/知見① 橋本病 バセドウ病 甲状腺エコー 長崎甲状腺クリニック大阪
甲状腺専門の長崎甲状腺クリニック(大阪府大阪市東住吉区)院長が海外・国内論文に眼を通して得た知見、院長自身が大阪市立大学 代謝内分泌内科(内分泌骨リ科)で得た知識・経験・行った研究、日本甲状腺学会 年次学術集会で入手した知見です。
長崎甲状腺クリニック(大阪)以外の写真・図表はPubMed等において学術目的で使用可能なもの(Creative Commons License)、public health目的で官公庁・非営利団体等が公表したものを一部改変しています。引用元に感謝いたします。尚、本ページは長崎甲状腺クリニック(大阪)の経費で非営利的に運営されており、広告収入は一切得ておりません。
甲状腺・動脈硬化・内分泌代謝・糖尿病に御用の方は 甲状腺編 動脈硬化編 内分泌代謝(副甲状腺/副腎/下垂体/妊娠・不妊等 糖尿病編 をクリックください
長崎甲状腺クリニック(大阪)は甲状腺専門クリニックです。肝臓病自体の治療を行っておりません。
Summary
肝血管腫は甲状腺ホルモンを不活化する3型脱ヨード酵素(DIO3)を発現し消費型甲状腺機能低下症に。LT3製剤・LT4製剤で治療。肝細胞癌でも甲状腺機能低下症に。レンビマ®(レンバチニブ)は根治切除不能な分化型甲状腺がん(乳頭癌・濾胞癌)に適応ある分子標的薬で切除不能肝細胞がんに投与すると、甲状腺癌では報告の無かった潜在性甲状腺機能低下症、顕在性甲状腺機能低下症、破壊性甲状腺炎の副作用。甲状腺濾胞癌・濾胞型甲状腺乳頭癌は孤立性肝転移。甲状腺髄様癌・甲状腺カルシトニン陰性神経内分泌腫瘍の肝転移もある。肝膿瘍から甲状腺膿瘍が生じる。
Keywords
肝血管腫,甲状腺ホルモン,甲状腺濾胞癌,甲状腺機能低下症,肝細胞癌,レンビマ,甲状腺がん,肝膿瘍,肝転移,甲状腺乳頭癌
肝血管腫で甲状腺機能低下症
甲状腺乳頭癌の全身転移を検索するためのDWIBS(ドゥイブス) で、偶然見つかった肝血管腫
肝血管腫以外では
- 乳児の耳下腺血管腫(J Pediatr Endocrinol Metab. 2015 Mar;28(3-4):467-9.)
- 幼児の皮膚血管腫(BMJ Case Rep. 2017 Jul 19;2017:bcr2017221366.)
- 成人の消化管間質腫瘍(GIST)(Exp Oncol. 2017 Dec;39(4):319-321.)
で消費型甲状腺機能低下症(comsanptive hypothyroidism)をおこした報告があります。
消費型甲状腺機能低下症(comsanptive hypothyroidism)の治療は
- LT3製剤(合成T3製剤:リオチロニンNa)
- LT4製剤(合成T4製剤:レボチロキシン:チラーヂン)を使用した報告もある(J Clin Res Pediatr Endocrinol. 2018 Jul 31;10(3):294-298.)。LT3製剤よりも安全だが、効果が劣る可能性がある。
- LT3・LT4製剤併用(Clin Pediatr Endocrinol. 2019;28(1):9-14.)
- プロプラノロール塩酸塩;レニン産生抑制し血管収縮、血管新生阻害。90%以上の肝血管腫に有効(N Engl J Med. 2015 Feb 19;372(8):735-46.)。喘息患者には使用できない。
rT3(リバースT3)[保険適応外]
カサバッハ・メリット(Kasabach-Merritt)症候群
カサバッハ・メリット(Kasabach-Merritt)症候群は、巨大血管腫内で血液のうっ滞により血栓が形成され、凝固因子と血小板が消費された結果、血小板減少と出血傾向に至る危険な状態です。
肝細胞癌で甲状腺機能低下症
肝血管腫と同じメカニズムか分かりませんが、肝細胞癌で著明な甲状腺機能低下症をおこす症例も報告されています。
福井県済生会病院の報告は、チラーヂンS 300μg,チロナミン50μg,チラーヂンS 坐薬200μg 投与してもTSH 175.3 μIU/mL の超重症甲状腺機能低下症でした。慢性C型肝炎の経過観察中に見つかった肝細胞癌に経皮的肝動脈塞栓術(TAE)を施行後、チラーヂンS 75μg のみでTSH 0.36 μIU/mLに改善したそうです。(第57回日本甲状腺学会 P1-050 肝細胞癌TAE 治療後に治療抵抗性甲状腺機能低下状態が著明に改善を認めた1 症例)
肝血管腫と同じく肝細胞癌においても、甲状腺ホルモンを不活化する3型脱ヨード酵素(DIO3)[T4→rT3, T3→T2]により甲状腺ホルモンが過剰に分解され、甲状腺機能低下症になる可能性が考えられます。
また、女性において甲状腺機能低下症は肝細胞がんの危険因子です[Hepatology. 2009 May;49(5):1563-70.]。
レンビマ®(レンバチニブ)は、根治切除不能な甲状腺がん[甲状腺分化癌(甲状腺乳頭癌・甲状腺濾胞癌)、甲状腺髄様癌・甲状腺未分化癌]に適応のある分子標的薬です。
レンビマ®(レンバチニブ)の保険適応が拡大し、切除不能な肝細胞がんにも使用できるようになりました。しかし、甲状腺癌では一例も報告の無かった
- 潜在性甲状腺機能低下症(14.0%)
- 顕性甲状腺機能低下症(52.0%);80%以上がレンビマ®(レンバチニブ)治療開始から2週間以内に発症
- 破壊性甲状腺炎(無痛性甲状腺炎)による甲状腺中毒症(10.0%)
などのレンバチニブ誘発性甲状腺機能異常が高率に起こります(Endocr J. 2019 Sep 28;66(9):787-792.)。その機序として、
- 甲状腺濾胞細胞のアポトーシスを引き起こす(甲状腺濾胞細胞毒性)
- VEGF阻害により甲状腺内血流が低下(虚血性障害)
- 甲状腺に対する自己免疫の誘発
が考えられます。(Eur J Endocrinol. 2014 Sep;171(3):R91-9.)(Biomed Res Int. 2013;2013:725410.)(Intern Med. 2019 Mar 15;58(6):791-795.)
レンバチニブ誘発性甲状腺機能障害では
- 橋本病抗体[抗サイログロブリン抗体(Tg抗体)・抗甲状腺ペルオキシダーゼ抗体(TPO抗体)]の有無は発症率・重症度に無関係
- 橋本病抗体[抗サイログロブリン抗体(Tg抗体)・抗甲状腺ペルオキシダーゼ抗体(TPO抗体)]があれば早期に発症する
- 甲状腺機能低下症をおこした方が、肝細胞がんの無増悪生存期間が有意に長くなる
(Endocr J. 2019 Sep 28;66(9):787-792.)
甲状腺癌の孤立性肝転移が起きる確率は0.5%とされます(Hell. J. Nucl. Med. 2012;15(3):233–240.)。
甲状腺濾胞癌の孤立性肝転移
甲状腺濾胞癌は、リンパ節に沿って転移するリンパ節転移(各駅停車の様なもの)は非常に少なく、血流に乗って遠くまで一気に血行性転移(急行の様なもの)がほとんどです。特に肺転移 骨転移 が大半で、脳転移は稀、肝転移、腎転移などの報告もあります(大抵はこれら単独でなく肺転移 骨転移 も伴っています)。
例外的に、孤立性肝転移した甲状腺濾胞癌の報告があります。
- 閉塞性黄疸をおこし、肝臓の病理組織から甲状腺濾胞癌が見つかった(J Med Case Rep. 2016 Dec 3;10(1):347.)
- 甲状腺濾胞癌の手術後41年して孤立性に肝転移が見つかった(Surg Today. 2005; 35(6):480-2.)
- 甲状腺濾胞癌(好酸性細胞型)[Hürthle cell thyroid cancer]でも孤立性肝転移(J Endocrinol Invest. 2004 Jan; 27(1):52-6.)
濾胞型甲状腺乳頭癌の孤立性肝転移
濾胞型甲状腺乳頭癌の孤立性肝転移の報告もあります。
- 濾胞型甲状腺乳頭癌の摘出手術後9年で孤立性肝転移が見つかった(Int J Surg Case Rep. 2015;6C:146-9.)
- 孤立性肝転移巣は濾胞型甲状腺乳頭癌なのに、甲状腺の原発巣は乳頭癌、あるいは濾胞癌(J. Nucl. Med. 2012;15(3):233–240.)
甲状腺髄様癌の肝臓転移も多く報告されています。単純CTで石灰化を認める場合があります。(Diagn Cytopathol. 2015 Jan;43(1):45-8.)(Tokai J Exp Clin Med. 2020 Apr 20;45(1):18-23.)(Int J Surg Case Rep. 2021 Oct;87:106419.)
大腸がん、胃がん、乳がん、卵巣がんなど、粘液産生性癌の肝臓転移は、色々なパターンの石灰化を認めます。微細な砂粒状石灰化を認めることが多いです。
甲状腺髄様癌の肝転移巣が、視床下部で産生されるはずのコルチコトロピン放出ホルモン(副腎皮質刺激ホルモン放出ホルモン:CRH)を分泌し、クッシング症候群を起こした報告があります。(Hormones (Athens). 2008 Jul-Sep;7(3):259-62.)
経カテーテル的動脈化学塞栓術(TACE)は、本来、「肝予備能がChild-Pugh 分類でAかB で、かつ肝外転移を伴わない4 個以上の肝細胞癌」に対し適応となる治療です。甲状腺髄様癌の原発巣に経皮的エタノール注入療法(Percutaneous Ethanol Injection Therapy;PEIT)、肝転移巣に経カテーテル的動脈塞栓術を行った報告があります。[Intern Med. 1999 Jan;38(1):17-21.]
また、甲状腺カルシトニン陰性神経内分泌腫瘍の肝転移巣に経カテーテル動脈化学塞栓術(TACE)を施行したが、治癒効果不十分だった報告もあります。[World J Clin Cases. 2020 Jan 6;8(1):179-187.]
甲状腺髄様癌の肝転移は、「病変が3 cm 以下で3 個以内」の条件を満たせば、経皮的ラジオ波焼灼術(RFA)の適応になる場合もあります[Thyroid. 2008 Oct;18(10):1105-10.]。
甲状腺カルシトニン陰性神経内分泌腫瘍 超音波(エコー)画;Dは転移リンパ節
甲状腺カルシトニン陰性神経内分泌腫瘍の肝転移巣
限局性結節性過形成(focal nodular hyperplasia:FNH)は、良性肝腫瘍の一つです。30~40歳代の女性に多く、37.8%で経口避妊薬の内服歴あり。ほとんどの場合、無症状で偶然発見されます。
肝細胞癌や転移性肝癌とは血管構造が異なるため、腹部超音波検査のドプラーモードやダイナミックMRI・CTで鑑別されます。限局性結節性過形成(FNH)では、特徴的な中心性瘢痕があり、車軸状に造影剤が拡散します(車軸状血管)。
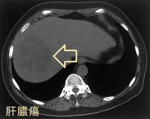
肝膿瘍と同側の甲状腺膿瘍を伴うレミエール症候群をおこし、甲状腺半葉切除術を行った報告があります(Eur J Clin Microbiol Infect Dis. 2004 Jul;23(7):570-2.)。
肝膿瘍の症状は発熱、右季肋部痛などで、肝腫大、肝叩打痛を認めます。
クレブシエラ菌のクレブシエラ・ニューモニエ(Klebsiella pneumoniae、肺炎桿菌)はグラム陰性桿菌で、急性化膿性甲状腺炎と甲状腺膿瘍の起因菌。[Endocrinol Diabetes Metab Case Rep. 2020 Nov 26;2020:EDM200137.][J Diabetes Investig. 2016 Jan;7(1):127-9.]
糖尿病やその他の免疫不全の無い健康な55歳の女性が、クレブシエラ・ニューモニエ(Klebsiella pneumoniae)による肝膿瘍、甲状腺膿瘍と化膿性内眼球炎(内因性眼内炎)を起こした報告があります。[Clin Mol Hepatol. 2018 Mar;24(1):88-91]。
クレブシエラ甲状腺膿瘍 造影CT画像;リング状増強がくっきり。甲状腺膿瘍は甲状腺超音波(エコー)検査より造影CT検査の方が有用かもしれません。[Clin Mol Hepatol. 2018 Mar;24(1):88-91]
CIKPLA症候群(cryptogenic invasive K. pneumoniae-associated liver abscess)
CIKPLA症候群(cryptogenic invasive K. pneumoniae-associated liver abscess)は、主に東南アジアの糖尿病患者に発生するクレブシエラ菌(Klebsiella pneumoniae)肝膿瘍で、クレブシエラ肺炎から始まります。[Int J Infect Dis. 2007 Jan;11(1):16-22.]
甲状腺関連の上記以外の検査・治療 長崎甲状腺クリニック(大阪)
- 甲状腺編
- 甲状腺編 part2
- 内分泌代謝(副甲状腺/副腎/下垂体/妊娠・不妊等
も御覧ください
長崎甲状腺クリニック(大阪)とは
長崎甲状腺クリニック(大阪)は日本甲状腺学会認定 甲状腺専門医[橋本病,バセドウ病,甲状腺超音波(エコー)検査など]による甲状腺専門クリニック。大阪府大阪市東住吉区にあります。平野区、住吉区、阿倍野区、住之江区、松原市、生野区、天王寺区も近く、堺市、羽曳野市、八尾市、東大阪市、生野区、浪速区も圏内。























