胃・便秘・下痢・消化管潰瘍(胃十二指腸潰瘍)・胃薬・胃下垂と甲状腺[橋本病 バセドウ病 甲状腺機能亢進症 甲状腺機能低下症 長崎甲状腺クリニック 大阪]
甲状腺:専門の検査/治療/知見① 橋本病 バセドウ病 甲状腺エコー 長崎甲状腺クリニック大阪
甲状腺専門の長崎甲状腺クリニック(大阪府大阪市東住吉区)院長が海外・国内論文に眼を通して得た知見、院長自身が大阪市立大学附属病院(現、大阪公立大学附属病院) 代謝内分泌内科で得た知識・経験・行った研究、甲状腺学会で入手した知見です。
長崎甲状腺クリニック(大阪)以外の写真・図表はPubMed等において学術目的で使用可能なもの(Creative Commons License)、public health目的で官公庁・非営利団体等が公表したものを一部改変しています。引用元に感謝いたします。尚、本ページは長崎甲状腺クリニック(大阪)の経費で非営利的に運営されており、広告収入は一切得ておりません。
甲状腺編 では収録しきれない専門の検査/治療です。
甲状腺・動脈硬化・内分泌代謝・糖尿病に御用の方は 甲状腺編 動脈硬化編 甲状腺以外のホルモンの病気(副甲状腺/副腎/下垂体/妊娠・不妊など) 糖尿病編 をクリックください
長崎甲状腺クリニック(大阪)は甲状腺専門クリニックです。胃の病気の診療を行っておりません。
Summary
甲状腺機能亢進症/バセドウ病では交感神経刺激により胃酸分泌亢進し消化管潰瘍(胃十二指腸潰瘍)おこしやすく、甲状腺クリーゼの死因の5%は消化管穿孔。胃酸を抑える薬[プロトンポンプ阻害薬(PPI)]、酸化マグネシウム、亜鉛[ポラプレジンク(プロマック)]、アルミニウム剤(アルサルミン、スクラルファート)、新キャベジンコーワS(Mg・Ca含有)もチラーヂンS吸収障害。甲状腺機能低下症による胃腸運動障害、甲状腺機能亢進症/バセドウ病による痩せは胃下垂の原因。胃前庭部毛細血管拡張症(西瓜様胃)は甲状腺機能亢進症/バセドウ病、甲状腺機能低下症/橋本病に合併。
Keywords
胃,潰瘍,消化管穿孔,甲状腺,甲状腺機能亢進症,バセドウ病,甲状腺クリーゼ,甲状腺機能低下症,チラーヂン,胃下垂
本ページ
- 甲状腺ホルモンと便秘・下痢
- 甲状腺ホルモン異常による胃腸症状を機能性消化管障害(機能性ディスペプシア)と誤認
- 甲状腺機能亢進症/バセドウ病と消化管潰瘍(胃十二指腸潰瘍)
- APS(多腺性自己免疫症候群)3B型=橋本病、バセドウ病に自己免疫性胃炎を合併
- 胃薬で甲状腺ホルモン剤:チラーヂンS錠(一般名:レボチロキシン ナトリウム)の吸収障害
- 甲状腺以外の内分泌に影響する胃薬
- 胃下垂と甲状腺
- 胃前庭部毛細血管拡張症
- 遺伝性出血性末梢血管拡張症(遺伝性出血性毛細血管拡張症、オスラー病)と甲状腺
- ヘリコバクター・ピロリ(ピロリ菌)と甲状腺
胃がん、KIT(CD117)陽性消化管間質腫瘍
腹水・腹腔
機能性ディスペプシアでは、
- 胸やけ
- 胃のもたれ・食後に不快なもたれ感(食後愁訴症候群)
- 少量食事摂取で満腹感(早期飽満感)
- 胃の痛み・心窩部痛
- 腹部膨満感、便秘、下痢
などの胃腸症状を来します。神経系のアンバランスが原因なので、甲状腺ホルモン異常と同様に内視鏡検査をしても異常は見つかりません。
機能性消化管障害(機能性ディスペプシア)の治療は、
- 生活習慣の改善、心理的・肉体的ストレスの除去
- アコチアミド(アコファイド錠®);アセチルコリンエステラーゼ(AChE)を阻害。甲状腺に直接影響を及ぼすという報告は確認できないが、理屈の上では、甲状腺機能亢進症/バセドウ病の下痢を悪化させる可能性が考えられます。
甲状腺機能亢進症/バセドウ病では、胃酸分泌は亢進しないものの、交感神経刺激作用により、胃粘膜血流と胃粘膜防御因子が低下し、消化管潰瘍(胃十二指腸潰瘍)をおこしやすい。(Jpn J Surg. 1982; 12(3):198-202.)(J Clin Gastroenterol. 2010 Jul; 44(6):402-6.)
さらに、甲状腺機能亢進症/バセドウ病で骨回転が亢進し、血液中へ溶け出したカルシウムによる高カルシウム血症をきたすと潰瘍ができやすくなります(甲状腺と高カルシウム血症 )
検査データで正球性貧血(赤血球の大きさが正常な貧血)を認めれば、消化管出血の可能性が疑われます。
元々、痛み止め・抗炎症薬(NSAIDs、消炎鎮痛剤)は、甲状腺に関係なく消化管潰瘍(胃十二指腸潰瘍)をおこす危険があります。これは、貼付剤(テープ剤)でも起こり得えます。当然、甲状腺機能亢進症/バセドウ病の胃粘膜障害作用を悪化(胃潰瘍/十二指腸潰瘍)させるでしょう。
上部消化管穿孔の原因は十二指腸潰瘍が最も多く、次いで胃潰瘍です。
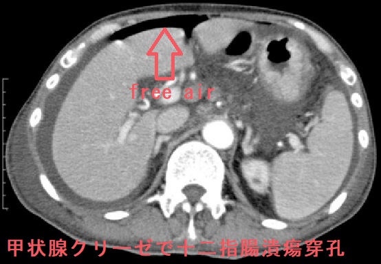
意外と知られていませんが甲状腺クリーゼの死因の5%は消化管穿孔(胃腸が破けること)です(Thyroid. 2012 Jul;22(7):661-79.日本甲状腺学会の統計です)。(甲状腺クリーゼの胃潰瘍穿孔、十二指腸潰瘍穿孔、大腸穿孔)
筆者なら消化管潰瘍(胃十二指腸潰瘍)、慢性胃炎の既往歴がある方には、治療開始時より胃酸を抑える薬・胃粘膜を保護する薬を投与します。
消化管潰瘍(胃十二指腸潰瘍)穿孔を発症すると、腹部単純CTにおいて
- 遊離ガス像(free air)
- 胃壁外に消化液や食物残渣
を認めます。 絶食・輸液・経鼻胃管挿入を行い、抗菌薬やプロトンポンプインヒビターを投与。従来は緊急手術が必須とされていたが、現在では保存的治療で緩解するケースも多い。緊急手術するとしても、甲状腺クリーゼの状態なので、かなり厳しい手術になります[成功例も報告されています(Case Rep Endocrinol. 2015;2015:750390.)]。
APS(多腺性自己免疫症候群)3B型は、自己免疫性甲状腺疾患(橋本病、バセドウ病)に自己免疫性胃炎(悪性貧血)を合併する複合性自己免疫病です。
胃酸を分泌する胃壁細胞に対する抗内因子抗体(60%)/抗壁細胞抗体(90%)により、
- 胃酸分泌障害から萎縮性胃炎(甲状腺ホルモン剤;チラーヂンS錠の吸収障害)、高ガストリン血症
- ビタミンB12の腸管吸収に必要な内因子の分泌障害により巨赤芽球性貧血、血小板減少)
が起こります。 悪性貧血 を御覧ください
甲状腺機能低下症の治療薬、甲状腺ホルモン剤:チラーヂンS(一般名:レボチロキシン ナトリウム)の吸収障害をおこす胃薬
- 胃酸を抑える薬は、胃内の酸性度を変えるため
ネキシウム®(エソメプラゾール)は特に強い胃酸分泌抑制に加え、吸収障害をおこすマグネシウムを含みます。
- 酸化マグネシウム(カマグ®、マグミット®、マグラックス®、ミルマグ®)
亜鉛[ポラプレジンク(プロマック®)]
アルミニウム剤(アルサルミン®)
- 市販薬:新キャベジンコーワS®(マグネシウム・カルシウムを含みます)、スクラルファート®(アルミニウムを含みます)
胃酸分泌抑制薬、プロトンポンプ阻害薬(PPI)それ以外の副作用
胃酸分泌抑制薬の主流であるプロトンポンプ阻害薬(PPI)は、甲状腺機能亢進症/バセドウ病の胃粘膜障害、甲状腺眼症:バセドウ病眼症 橋本病眼症 の副腎皮質ステロイド薬投与中の胃十二指腸予防に使用することが多いです。
チラーヂンSの吸収障害以外の副作用として
- たとえ短期間でもプロトンポンプ阻害薬(PPI)を服薬すると骨粗鬆症と骨折のリスクが高くなるとされます(Curr Opin Rheumatol. 2016 Jul;28(4):420-5.)。
甲状腺機能低下症/橋本病、甲状腺機能亢進症/バセドウ病ともに骨に影響出るため、併用は要注意です(甲状腺と骨 )。
- 視力障害;筆者は信じていません(偶然の合併と考えます)。オメプラゾールを服用中に視力障害おこした患者がいた事から同系列のプロトンポンプ阻害薬(PPI)の添付文書に書かれています。
タケキャブ®(ボノプラザン)のみ特殊なカリウムイオン競合型アシッドブロッカー(P-CAB)のため、その記載はありません。ただ、タケキャブ錠20mgは195.5円/1錠、10mg 130.3円/1錠と抜きん出て高価なため(ネキシウムカプセル20mg/1錠 117.3円/1カプセル)、保険診療審査員も目を光らせています。
抗ドーパミン薬
- スルピリド(ドグマチール®):抗うつ薬ですが胃粘膜血流増加作用あり。
①プロラクチン産生下垂体腫には禁忌;抗ドパミン作用によりプロラクチン分泌が促進し、病状を悪化させる恐れがある
②副腎の褐色細胞腫には禁忌;急激な昇圧発作(褐色細胞腫クリーゼ)を引き起こす恐れがある
- プリンペラン®(メトクロプラミド)とナウゼリン®(ドンペリドン);共にドパミンD2受容体拮抗薬
ナウゼリン®(ドンペリドン)は血液-脳関門を通過しにくいですが、プリンペラン®(メトクロプラミド)は通過し、プロラクチン上昇をさせる。同時に卵胞刺激ホルモン放出ホルモン(FSH-RH)・黄体形成ホルモン放出ホルモン(LH-RH)分泌抑制し、生理不順・無月経・不妊の原因に
- プリンペラン®(メトクロプラミド)は褐色細胞腫クリーゼを引き起こすため、褐色細胞腫への使用禁忌。ナウゼリン®(ドンペリドン)は昇圧発作の報告なく、添付文書に禁忌の記載もない。しかし、メトクロプラミドと作用機序が同じなので注意を要します。
胃下垂は、その名の通り、胃が正常の位置(みぞおちの辺、上腹部)よりも下(ひどいときは、へその下)に垂れ下がっている状態です。
胃下垂の原因は、
- 糖尿病性神経障害による胃腸の運動障害
- 甲状腺機能低下症による胃腸の運動障害
- アミロイドーシス
- 胃を支える筋肉や脂肪の少ない痩せ型の人(甲状腺機能亢進症/バセドウ病で起こります)
- 胃の手術後
- 暴飲暴食、過労、過剰なストレス、出産
などにより、胃での消化が悪くなり食物が溜まり過ぎるためです。
胃前庭部毛細血管拡張症(西瓜様胃)では、直線状に走る大きく拡張した静脈が西瓜のように見えます。
高齢女性におこりやすく、病因は不明ですが、門脈圧亢進、高ガストリン血症、自己免疫などが原因と考えられます。
- 肝硬変
- 慢性腎不全
- 心不全、大動脈弁狭窄症(AS)
- 甲状腺機能亢進症/バセドウ病、甲状腺機能低下症/橋本病
[Gastroenterol Endosc 1993;35 : 417.][Gastroenterol Endosc 1997;39 : 1225-9.]
- 自己免疫甲状腺疾患(バセドウ病・橋本病)に合併する全身性強皮症(全身性硬化症:SSc)
- 悪性貧血
などの基礎疾患を伴います。
遺伝性出血性末梢血管拡張症(遺伝性出血性毛細血管拡張症、オスラー病、Osler-Weber-Rendu病)は、常染色体優性遺伝によって全身の血管奇形(異常な血管)が生じ、出血に至る病気です。出血が長く続くと、貧血になります。
- 鼻出血(80~90%)でほほ必須;耳鼻咽喉科で鼻腔粘膜の斑状発赤、びらんを確認してもらう
- じわじわ消化管出血、腹痛
- 口腔内出血
- 肺出血、血痰、肺動静脈奇形
- 頭痛やけいれん、脳動静脈奇形(AVM)
白斑、自己免疫性甲状腺炎(橋本病)、虹彩毛様体炎、骨髄異形成症候群(MDS)を合併した遺伝性出血性血管拡張症の報告があります。(Clin Exp Dermatol. 2005 Jul;30(4):448-50.)
胃カメラ・大腸カメラは、かわさき消化器内科クリニック(大阪市平野区瓜破)にお願いしています。
甲状腺関連の上記以外の検査・治療 長崎甲状腺クリニック(大阪)
長崎甲状腺クリニック(大阪)とは
長崎甲状腺クリニック(大阪)は日本甲状腺学会認定 甲状腺専門医[橋本病,バセドウ病,甲状腺超音波(エコー)検査など]による甲状腺専門クリニック。大阪府大阪市東住吉区にあります。平野区,住吉区,阿倍野区,住之江区,松原市,堺市,羽曳野市,八尾市,東大阪市,天王寺区,生野区も近く。














