検索

授乳と甲状腺、妊娠授乳関連骨粗しょう症,周産期心筋症,妊娠授乳関連高カルシウム血症,マタニティブルーズ,ドナーミルク,母乳バンク[長崎甲状腺CL 大阪]

このエントリーをはてなブックマークに追加

内分泌代謝(副甲状腺・副腎・下垂体)専門の検査/治療/知見 長崎甲状腺クリニック(大阪)

授乳と甲状腺

甲状腺専門・内分泌代謝の長崎甲状腺クリニック(大阪府大阪市東住吉区)院長が海外(Pub Med)・国内論文に眼を通して得た知見、院長自身が大阪市立大学(現、大阪公立大学) 代謝内分泌内科(内分泌骨リ科)で得た知識・経験・行った研究、日本甲状腺学会で入手した知見です。

長崎甲状腺クリニック(大阪)以外の写真・図表はPubMed等において学術目的で使用可能なもの(Creative Commons License)、public health目的で官公庁・非営利団体等が公表したものを一部改変しています。引用元に感謝いたします。尚、本ページは長崎甲状腺クリニック(大阪)の経費で非営利的に運営されており、広告収入は一切得ておりません。

甲状腺・動脈硬化・内分泌代謝・糖尿病に御用の方は 甲状腺編    動脈硬化編   甲状腺以外のホルモンの病気(副甲状腺/副腎/下垂体/妊娠・不妊など)  糖尿病編 をクリックください

長崎甲状腺クリニック(大阪)は甲状腺専門クリニックです。甲状腺以外の診療を行っておりません。

Summary

妊娠期授乳中妊婦も胎児もカルシウムが必要で不足分は母親の骨から溶出。妊娠/授乳関連骨粗しょう症に。授乳期(産褥期)、母体乳腺組織からPTH関連ペプチド(PTHrP)が過剰分泌され、妊娠関連高カルシウム血症・授乳関連高カルシウム血症に。甲状腺による代謝性心筋症と似た周産期心筋症(産褥心筋症)には異型プロラクチンが関与し抗プロラクチン療法行う。マタニティブルーズ発症に低FT3値と初産が相関、産後うつ病への移行に甲状腺機能低下症TPO抗体が関連。母乳バンクのホルダー低温殺菌ドナーミルク中の甲状腺刺激ホルモン(TSH)は多い。

Key Words

妊娠授乳関連骨粗しょう症,異型プロラクチン,周産期心筋症,授乳,妊娠関連高カルシウム血症,授乳関連高カルシウム血症,マタニティブルーズ,ドナーミルク,甲状腺,母乳バンク

妊娠/授乳関連骨粗しょう症

妊娠中は、妊婦と胎児の両方がカルシウムを必要とします。胎児に必要な1日のカルシウムは25~30gとされ、不足分は母親の骨からカルシウムが溶け出して補填されます。授乳中も同じです。

ほとんどは、妊娠期にはカルシウムの吸収が良くなり、授乳期に一端、骨量は減少しますが、授乳終了後約6ヵ月で元に戻ります。

しかし、多発性脊椎圧迫骨折をおこしたとんでもない妊娠/授乳関連骨粗しょう症が報告されており、一般的に言われている事は楽観的なようです。授乳期のCa摂取不足、乳腺組織からのPTH関連ペプチド(PTHrP)過剰分泌や若年性骨粗鬆症が一因と考えられます。断乳と骨粗鬆症治療が必要。[J Biol Regul Homeost Agents. 2016 Oct-Dec;30(4 Suppl 1):153-158.]

妊娠/授乳関連骨粗しょう症に出産後甲状腺炎を合併すると骨分解は加速され、多発性脊椎圧迫骨折に至る可能性があります。[Medicine (Baltimore). 2021 Oct 29;100(43):e27615.]

妊娠/授乳関連骨粗しょう症の治療は、断乳に加えて

  1. テリパラチドビスフォスフォネート製剤(アレンドロネート、ゾレドロン酸)[Calcif Tissue Int. 2023 May;112(5):621-627.]
  2. テリパラチド[J Bone Miner Metab. 2012 Sep;30(5):596-601.]
  3. テリパラチドと、それに続くデノスマブ投与[Taiwan J Obstet Gynecol. 2017 Dec;56(6):863-866.]

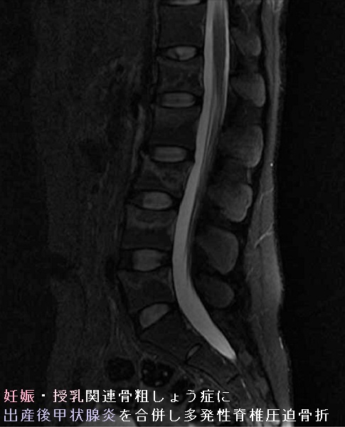
妊娠・授乳関連骨粗しょう症に出産後甲状腺炎を合併し多発性脊椎圧迫骨折 MRI T2強調画像

妊娠授乳関連骨粗しょう症に出産後甲状腺炎を合併した多発性脊椎圧迫骨折 MRI T2強調画像 [Medicine (Baltimore). 2021 Oct 29;100(43):e27615.より改変]

授乳期(産褥期)の高カルシウム血症(妊娠関連高カルシウム血症、授乳関連高カルシウム血症)

授乳期(産褥期)には母体の乳腺組織からPTH関連ペプチド(PTHrP)が過剰に分泌されるため、軽度の高カルシウム血症humoral hypercalcemia of pregnancy、妊娠関連高カルシウム血症、授乳関連高カルシウム血症、偽性副甲状腺機能亢進症)をきたす場合があります。[Endocr J. 2008 Dec;55(6):959-66.]

バセドウ病甲状腺癌などで甲状腺全摘出された術後副甲状腺機能低下症女性は、授乳中、一時的に寛解現象が起こり、血中カルシウムが上昇するため、カルシウム製剤やビタミンD製剤を減量する必要があります[Nihon Jibiinkoka Gakkai Kaiho. 2002 Aug;105(8):897-900.]。ただし、妊娠/授乳関連骨粗しょう症をおこした場合は、速やかに断乳と骨粗鬆症治療が必要。[J Biol Regul Homeost Agents. 2016 Oct-Dec;30(4 Suppl 1):153-158.]

甲状腺による代謝性心筋症と紛らわしい周産期心筋症(産褥心筋症)

甲状腺による代謝性心筋症と紛らわしい周産期心筋症(産褥心筋症)は、出産後に心不全がおきる病態で、出産後甲状腺炎甲状腺機能亢進症/バセドウ病甲状腺機能低下症)による心不全[甲状腺と心臓・心不全]との鑑別診断が必要です。

日本における周産期心筋症(産褥心筋症)は稀で、2万分娩に1人です。周産期(産褥心筋症)では、心臓病のない女性が、妊娠中から出産後に突然、心不全をおこし、心エコーすると拡張型心筋症に似た心拡大と心収縮力低下を認めます。周産期心筋症(産褥心筋症)の多くは徐々に進行しますが、母体死亡にもつながる危険な病気です。甲状腺機能亢進症/バセドウ病甲状腺機能低下症による代謝性心筋症との鑑別要。

38歳の双胎妊娠で高拍出量性心不全を伴う甲状腺クリーゼ がおこり、周産期心筋症と鑑別を要した報告があります[Medicina (Kaunas). 2022 Mar 20;58(3):450.]。

また、‎周産期心筋症(産褥心筋症)の危険因子は、

  1. 貧血(オッズ比[OR] 2.0、95%信頼区間[CI]1.6-2.5;P <0.0001)
  2. 喘息(OR 2.2、95%CI 1.5-3.2;P = 0.0002)
  3. 喫煙(OR 33.6、95%CI 9.3-159.4;P <.0001)
  4. 甲状腺疾患(OR 5.9、95%CI 1.5-21.3;P = 0.01)

[J Card Fail. 2016 Jul;22(7):512-9.]

  1. 出産後甲状腺炎[Can J Cardiol. 2019 Jun;35(6):796.e1-796.e3.]。
  2. APS(多腺性自己免疫症候群)2型(カーペンター症候群)[Int J Cardiol. 2011 May 19;149(1):e14-5.]
  3. 多発性内分泌腺腫症2型(MEN2)おそらく褐色細胞腫が原因[Eur J Endocrinol. 2004 Dec;151(6):771-7.]

から周産期(産褥)心筋症が誘発された報告があります。

エストロゲンプロラクチン(PRL)は、免疫応答を調節する上で重要な役割を果たします。プロラクチン(PRL)下垂体だけでなく、リンパ球からも分泌され、免疫グロブリンやサイトカイン産生を増加させ自己免疫を促進します。高プロラクチン血症全身性エリテマトーデス(SLE)関節リウマチ(RA)シェーグレン症候群橋本病(慢性甲状腺炎)多発性硬化症(MS)乾癬C型肝炎ベーチェット病周産期心筋症(産褥心筋症)セリアック病などの自己免疫疾患の関連が報告されています。[Autoimmun Rev. 2012 May;11(6-7):A465-70.](プロラクチン甲状腺機能亢進症/バセドウ病甲状腺機能低下症/橋本病を発症・悪化させる

周産期心筋症(産褥心筋症)の治療は、一般的な心不全と同じです。2007年、異型プロラクチンが発症に関与しているとの報告が出され、ブロモクリプチンなど抗プロラクチン療法の有効性も報告されています。(Am J Cardiol 2007;100:302-304.)

周産期心筋症
異型プロラクチン周産期心筋症(産褥心筋症)[BMJ. 2019 Jan 30;364:k5287.]

マタニティ・ブルーズ

マタニティブルーズとは

マタニティ・ブルーズ

(State of Mind より改変)

2025年に日本産婦人科医会が行った分娩取り扱い施設調査では、74%の施設が産後2週間に、84%が産後1カ月に、全出産婦のリスク評価すると回答しています。

マタニティブルーズ出産後女性の30~50%におこります。分娩後胎盤剥離による急激な女性ホルモン(エストロゲン)低下など、内分泌系が劇的に変化するのが原因。

急激なホルモン変動はメンタルに影響し、産後3~5 日(産後10日ころまで)に

  1. 涙もろくなる
  2. 気分が落ち込む
  3. いらいら感、抑うつ
  4. 不眠
  5. 焦燥感

などの症状を呈します。

マタニティブルーズは一過性で終わり、産後2 週間以降に自然軽快しますが、長引いて産後うつ病に移行することもあります。

マタニティ・ブルーズ

マタニティブルーズと甲状腺

マタニティブルーズを発症した女性における

  1. 産後5日の血清トリヨードチロニン(FT3)値は、健常対照女性よりも低い
  2. 産後5日の血清トリヨードチロニン(FT3)値は、妊娠37週および産後1か月のFT3値よりも低い
  3. 産後5日のリバースT3(rT3)値とTSH値は、健常対照女性よりも高い
  4. 初産婦の割合は、健常対照女性よりも高い

低FT3値と初産であることは、マタニティブルーズの発症と有意に相関しています。[J Obstet Gynaecol Res. 1998 Feb;24(1):49-55.]

マタニティブルーズから産後うつ病への移行に、甲状腺機能低下症および甲状腺自己抗体[抗甲状腺ペルオキシダーゼ抗体(TPO抗体)]が関連しています[Cureus. 2023 Sep 19;15(9):e45554.]。

ドナーミルクと母乳バンク

人工乳と異なり、母乳は乳児が必要とする栄養素・分泌型IgAをすべて含んでいます。

未熟児・低出生体重児は消化器官の発達が不十分(未熟な腸管)で、①粉ミルクを消化できない、②新生児壊死性腸炎を起こしやすいため、母乳が必要です。しかし、母乳栄養が不可能な場合に、低温殺菌されたドナーミルク(第3者から寄付された母乳)を用いる方法があります。低温殺菌ドナーミルクの精製技術は完全に確立されていませんが、ホルダー低温殺菌(62.5℃、30分)が最も多く用いられます。

ホルダー低温殺菌は、

  1. 嫌気性菌の芽胞およびほとんどのウイルス[ヒト免疫不全ウイルス(HIV)、ヘルペスウイルスサイトメガロウイルス(CMV)]を死滅させる効果がある
     
  2. 熱処理により酵素や免疫細胞が障害され、無処理母乳よりも殺菌能が低くなる
     
  3. ドナーミルク中の黄体形成ホルモン(LH)を24%減少させ、 甲状腺刺激ホルモン(TSH)を17%増加させる。続いて行う冷蔵により、卵胞刺激ホルモン(FSH)が更に21%増加し、LHが41%減少、FSH/LH比が3倍以上増加。女児の卵巣過剰刺激と男児の性腺機能低下症に繋がる可能性がある。[Nutrients. 2020 Mar 4;12(3):687.]
    ※下垂体ペプチドホルモンは蛋白質なので、本来、消化を受け分解されてしまいます。消化官が未発達な未熟児・低出生体重児では、消化を受けることなく、吸収されるのでしょうか?

[Nutrients. 2019 May 24;11(5):1169.]

日本においては、年間5,000⼈の早産児・極低出生体重児(生下時体重が1,500グラム未満)がドナーミルクを必要としています。母乳バンクとは、寄付された母乳(ドナーミルク)を低温殺菌して冷凍保存し、新生児集中治療室(NICU)を有する医療機関の要請を受けて発送する機関。⼀般財団法⼈⽇本財団⺟乳バンクが行っています。

ドナーミルクと母乳バンク

[ABC newsより改変]

甲状腺関連の上記以外の検査・治療    長崎甲状腺クリニック(大阪)

長崎甲状腺クリニック(大阪)とは

長崎甲状腺クリニック(大阪)は日本甲状腺学会認定 甲状腺専門医[橋本病,バセドウ病,甲状腺超音波(エコー)検査など]による甲状腺専門クリニック。大阪府大阪市東住吉区にあります。平野区,住吉区,阿倍野区,住之江区,松原市,堺市,羽曳野市,八尾市,天王寺区,東大阪市,生野区も近く。

長崎甲状腺クリニック(大阪)


長崎甲状腺クリニック(大阪)は日本甲状腺学会認定 甲状腺専門医[橋本病,バセドウ病,甲状腺超音波(エコー)検査等]施設で、大阪府大阪市東住吉区にある甲状腺専門クリニック。平野区,住吉区,阿倍野区,住之江区,松原市,堺市,羽曳野市,八尾市,東大阪市近く

住所

〒546-0014
大阪府大阪市東住吉区鷹合2-1-16

アクセス

  • 近鉄「針中野駅」 徒歩2分
  • 大阪メトロ(地下鉄)谷町線「駒川中野駅」
    徒歩10分
  • 阪神高速14号松原線 「駒川IC」から720m

診療時間電話番号や地図はこちら